Hodenschmerzen: Ursache war eine Zoonose
Bei einem Patienten mit Hodenschmerzen entstand der Verdacht eines Malignoms. Die Untersuchungen ergaben eine Brucellose. Es ist eine generalisierte Infektion, auch wenn der lokale Befall im Vordergrund steht: etwa einseitige Epididymorchitis bei 2 bis 40 Prozent der Männer.
Veröffentlicht:
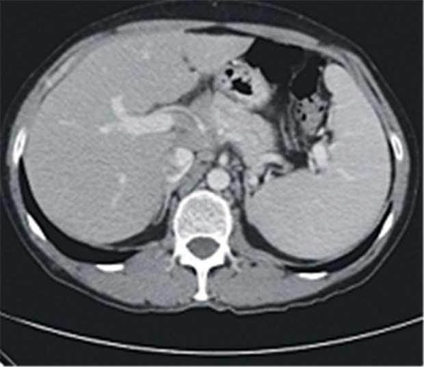
Auf computertomografischen Bildern war bei dem Patienten eine Splenomegalie zu sehen.
© P. Probst, Winterthur
WINTERTHUR. Berichtet ein Patient über Hodenschmerzen, Fieber und Nachtschweiß, kommen Ärzte bei der Diagnostik voran, wenn sie nach Herkunft, Reisen und besonders nach der Ernährung fragen. Denn Schweizer Urologen weisen darauf hin, dass die Ursache nichtpasteurisierte Milch sein könnte.
Besonders Frischkäse aus nichtpasteurisierter Milch komme als Auslöser in Betracht, schreiben Dr. P. Probst vom Kantonsspital Winterthur und Kollegen. Sie schildern die Krankheitsgeschichte eines 57-jährigen Mannes, der wegen plötzlicher linksseitiger Hodenschmerzen den Hausarzt aufsuchte.
Außerdem hatte er subfebrile Temperaturen, Nachtschweiß und leichten Gewichtsverlust. Sonografisch war eine Malignom-verdächtige Induration am unteren Hodenpol nachweisbar. Die Computertomografie ergab unspezifisch vergrößerte thorakale Lymphknoten und eine Splenomegalie (Der Urologe 2011, 50: 71).
Patient war zwei Monate zuvor durch Peru gereist
Die offene Hodenbiopsie bestätigte jedoch nicht den Verdacht auf einen bösartigen Tumor. Vielmehr ergab die histologische Untersuchung eine granulomatöse Orchitis. Differentialdiagnostisch kommen dann in erster Linie eine Tuberkulose oder eine Brucellose in Frage.
Tatsächlich war der Mann zwei Monate zuvor durch Peru gereist und hatte oft nichtpasteurisierten Frischkäse gegessen. Die Blutkultur war positiv für Brucella melitensis. Die Diagnose wurde darüber hinaus serologisch gesichert.

Mit Ultraschall ergab sich eine unruhige, unspezifische Morphologie mit angedeutetem "Sternenhimmelbild" des linken Hodens bei blandem Befund.
© P. Probst, Winterthur
In den Industrieländern ist die Brucellose wegen der veterinärmedizinischen Überwachung sehr selten geworden. Endemisch ist die Infektion jedoch weiterhin im Mittelmeerraum, im Nahen Osten, Indien, Afrika sowie in Mittel- und Südamerika.
Das Labor muss einen Hinweis bekommen
Daher finden sich Brucellosen besonders bei Migranten oder bei Reisenden. Wie bei der Tuberkulose können die Symptome erst Jahre nach der Infektion auftreten. Sehr oft fehlen objektivierbare Befunde. Bei persistierendem oder undulierendem Fieber mit unspezifischen Allgemeinsymptomen sollte daher die Diagnose erwogen werden.
Das mikrobiologische Labor sollte auf einen Verdacht hingewiesen werden, damit man dort die Kultivierungsbedingungen und die Sicherheitsmaßnahmen anpassen könne. Denn die Brucellose ist eine der häufigsten Laborinfektionen. Die Blutkultur wird meist erst nach einer Woche positiv, die Sensitivität liegt bei lediglich 80 Prozent.
Therapeutischer Standard ist orales Doxycyclin kombiniert mit Streptomycin oder Gentamycin. Ähnlich wirksam ist Doxycyclin plus Rifampicin für sechs Wochen. Diese Kombination erhielt der Schweizer Patient. Allerdings passierte das, womit man bei jedem zehnten Brucellose-Patienten rechnen muss: Es kam zum Rezidiv.
Nachdem die ursprüngliche Antibiose erneut verordnet und mit täglichen Gentamicin-Infusionen für zwei Wochen verstärkt worden war, blieb der Mann rezidivfrei.
Brucellose
Vorkommen: Brucellen können sich in Makrophagen vermehren, daher ihre Vorliebe für das retikuloendotheliale System.
Erreger: unbewegliche, gramnegative, aerobe Stäbchen.
Natürlicher Wirt: Ziegen, Schafe, Rinder, Schweine; Menschen sind Fehlwirte.
Übertragung: Hautverletzungen, Verzehr kontaminierter Milchprodukte.












