Der BVKJ übt scharfe Kritik an den neuen Empfehlungen des Corona-Expertenrats. Vor allem ein Passus in der aktuellen Stellungnahme des Gremiums bringt die Pädiater auf die Palme.
Mehrere Organisationen, Institutionen und Unternehmen der Gesundheitswirtschaft haben sich im Mai 2022 zum Deutschen Netzwerk gegen Antimikrobielle Resistenzen zusammengeschlossen.
In einer Studie mit über 30.000 Adipositas-Patienten war ein dauerhafter starker Gewichtsverlust mit deutlich weniger Krebserkrankungen und Krebsmortalität verbunden. Über die Zusammenhänge gibt es Vermutungen.
In der Psychotherapie ist das Limit für Leistungen per Videosprechstunde ab Juli nicht mehr an die einzelne EBM-Ziffer gekoppelt. Nur Bildschirmkontakte zur Akutbehandlung bleiben kontingentiert.
Eine internationale Umfrage legt nahe, dass sich nach zwei Pandemiejahren mehr in der Notfallversorgung Beschäftigte ausgebrannt fühlen als vorher. Auch Risikofaktoren werden deutlich.
Bewegung ist in der Regel nie verkehrt. Auch nicht bei Patienten mit Kniearthrose. Dazu gibt eine Studie erste Hinweise: Die Probanden hatten seltener Knieschmerzen.
Halluzinationen, Panikattacken, leichte motorische Defizite oder ein überraschend kleiner Hippocampus? Eine Demenz zeigt sich oft in Details, wie vier Fallbeispiele zeigen.
Dopamin ist mehr als ein Glückshormon. Der Neurotransmitter ist auch beim Knochenstoffwechsel relevant, hat ein Dortmunder Forschungsteam herausgefunden.
Impfungen von Schwangeren und onkologischen Patienten oder Abwehr von Regressforderungen – auch das waren Fragen im Rahmen unserer Telefonaktion. Hier einige Beispiele der Fragen – und Antworten.
Kooperation
|
In Kooperation mit: Forum Impfen, unterstützt von GSK
Sacituzumab Govitecan (Trodelvy®) von Gilead Sciences ist das erste zur Behandlung des rezidivierten/refraktären triple-negativen Mammakarzinoms zugelassene Antikörper-Wirkstoff-Konjugat.
Das BfArM kündigt eine „belastbare bedarfsgerechte Verteilstruktur“ für Alteplase und Tenecteplase an. Dass die Marktversorgung angespannt ist, liegt wohl auch an COVID-19.
Die erste medizinische Anlaufstelle für geflüchtete Patienten ist häufig die hausärztliche Praxis. Tropenmediziner Professor August Stich verweist auf vier wichtige Punkte zum Thema Migrantenmedizin.
Um der steigenden Prävalenz von Typ-2-Diabetes zu begegnen, sollen Hersteller den Fett-, Salz- und Zuckergehalt in Fertigprodukten stark reduzieren. Machen sie das auch? Das Max-Rubner-Institut hat das analysiert.
Diabetespraxen und -ambulanzen sollten dauerhaft in die Telemedizin investieren: Denn Patienten wünschen sich solche Angebote auch nach der Corona-Pandemie, wie aus einer Befragung hervorgeht.
Wie lässt sich die mäßige Teilnehmerrate an der Darmkrebs-Vorsorge bessern? Welche Bremser gibt es? Professor Jürgen F. Riemann wirft in der Ärzte Zeitung einen Blick zurück auf den Darmkrebsmonat.
Ein 27 Jahre alter Mann kommt mit akuten Hodenschmerzen in die Ambulanz. Die Ärzte vermuten eine Hodentorsion – entdecken aber einen segmentalen Hodeninfarkt.
Carvykti® (ciltacabtagene autoleucel; cilta-cel) hat sich in der Studie CARTITUDE-1 bei Patienten mit Multiplem Myelom bewährt. Jetzt wurde die CAR-T-Zelltherapie zugelassen.
Neue Dimension medikamentöser Gewichtsreduktion: Mit dem dualen GIP/GLP-1-Rezeptoragonisten Tirzepatid kann das Körpergewicht adipöser Patienten offenbar so stark reduziert werden, wie es bisher nur mittels Operation möglich schien.
Krebs überlebt – und wie geht‘s weiter? Für die Forschung in dieser Frage erhalten Wissenschaftler vom Deutschen Krebsforschungszentrum den Quality-of-Life-Preis 2021. Der zweite Preis geht an Forscher für ihre Studie zur Lebensqualität bei COPD.
Eine Initiative zur kardiovaskulären Sekundärprävention findet mittlerweile bundesweit Anklang. Die „Auf Ziel“-Kampagne soll Patienten durch Aufklärung und häufige Kontrollen rasch zum LDL-C-Ziel führen und die Adhärenz erhöhen.
Personalmangel führt besonders auf Kinderintensivstationen dazu, dass Komplexbehandlungen nicht mehr abgerechnet werden dürfen. Der Medizinische Dienst Nordrhein zeigt sich alarmiert.
In einer Studie hat sich der GLP-1-Agonist Dulaglutid bei Heranwachsenden mit Typ-2-Diabetes bewährt. Die einmal wöchentlich zu verabreichende Injektion ist einfach zu handhaben.
Ist bei allen Patienten mit multiplem Myelom eine autologe Stammzelltransplantation erforderlich? Eine aktuelle, bei der ASCO-Jahrestagung vorgestellte Studie offenbart: Eine individuelle Therapieentscheidung ist möglich.
Um der Chronifizierung von Schmerzen entgegenzuwirken, setzt die Deutsche Schmerzgesellschaft auf ein präventives, berufsübergreifendes Untersuchungsangebot. Bislang ist aber erst eine Kasse mit an Bord.
Zwei Studien beim EULAR haben zum Gegenstand, welche Therapie für Patienten mit rheumatischen Erkrankungen am besten ist, die einen Kinderwunsch haben.
Die geehrten Mediziner Professor Michael Albrecht, Professor Andreas Dietz und Dr. Thomas Grünewald haben sich in „herausragendem Maße“ für das Gesundheitswesen in Sachsen engagiert.
Die Anwendungsmöglichkeiten von Pembrolizumab sind erweitert worden. Davon profitieren Krebskranke mit lokal fortgeschrittenem oder frühem triple-negativem Mammakarzinom mit hohem Rezidivrisiko.
Zytokine gehörten zu den ersten zugelassenen Krebsimmuntherapien. Heute haben sie stark an Bedeutung verloren. Das könnte sich bald aber ändern, legen bei der Tagung der ASCO diskutierte Studien nahe.
Beim US-amerikanischen Diabetes-Kongress gab es einen Ausblick auf mögliche Therapieoptionen der Zukunft bei diabetischen Ulzera und zur nadelfreien Insulinapplikation.
BDI-Präsidentin Christine Neumann-Grutzeck, Mutter zweier Kinder, sagt klar: Hätte sie als junge Mutter das Wissen von heute gehabt, wäre sie viel früher in die eigene Praxis gewechselt. Und was tun angestellte Ärzte?
Cefiderocol (Fetcroja®) von Shionogi ist das einzige Siderophor-Cephalosporin, das gegen alle relevanten multiresistenten aeroben gramnegativen Problemkeime wirkt. Cefiderocol nutzt das bakterieneigene Eisenaufnahmesystem, um wie ein „trojanisches Pferd“ in die Bakterienzelle zu gelangen. Es umgeht so wichtige Resistenzmechanismen.
Kinder und Krankenhaus, das passt nur schwer zusammen. Für Dr. Stephanie Werner war klar, dass sie ihr Berufsleben nicht auf Station verbringen will. Jetzt hat sie ihre eigene Praxis – aber nicht als „One-Man-Show“.
Eine Hühnereiallergie in früher Kindheit verschwindet bei den meisten Betroffenen mit den Jahren – eine Erdnussallergie bei einem Teil der Kinder. Klinische Merkmale können Hinweise geben, wie gut die Chancen stehen.
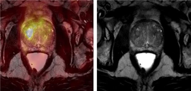
Präzise, personalisiert und individualisiert: So soll der Zukunftskurs für die Radioonkologie sein. Mit rechnergestützten Algorithmen lassen sich mittlerweile Daten in früher nicht gekannter Menge und Geschwindigkeit verarbeiten, heißt es beim DEGRO-Kongress.
Bei den seltenen, erblich bedingten Netzhautdystrophien können molekulargenetische Methoden bei der Diagnostik helfen. Bei wievielen Patienten diese Möglichkeiten genutzt werden.
Jeder zweite Patient mit Multipler Sklerose hat eine Begleiterkrankung, jeder dritte sogar mehr als zwei Komorbiditäten, offenbart eine Analyse von deutschen Registerdaten. Ein Überblick, wie häufig Begleitsymptome vorkommen – und was dagegen hilft.
Nicht nur die Rheumatoide Arthritis an sich, sondern auch Medikation und reduzierte Mobilität können die Knochenmineraldichte mindern. Was es zu Rheuma und Osteoporose Neues gibt, war beim Rheuma Update zu erfahren.
InRange ist die erste randomisierte kontrollierte Studie, die Insulin glargin 300 E/ml und Insulin degludec 100 E/ml bei Menschen mit Typ-1-Diabetes verglich.