Ein aktueller Cochrane-Review bestätigt: Ginkgo-biloba-Extrakte haben keine messbaren Effekte auf leichte kognitive Einschränkungen. Bei Demenzen deuten sich geringe bis moderate Vorteile für Kognition und Alltagsfunktion an.
Melatonin, Wachstumshormone, Psychostimulanzien, aber auch Psychoedukation und kognitives Training – Vieles wird gegen die Fatigue nach einem Schädel-Hirn-Trauma versucht. Was hilft, und wie steht es um die Evidenz?
Kopfschmerzen, Ängste und Schwindel – solche Symptome sind nach dem Absetzen von Antidepressiva nicht selten. Und je länger die Therapie dauert, umso häufiger treten die Beschwerden auf. Doch noch ein weiteres Problem eröffnet sich.
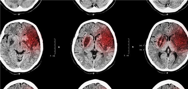
Ein moderates oder schweres Schädelhirntrauma, nicht aber ein leichtes, geht mit einem deutlich erhöhten Risiko für einen malignen Hirntumor einher. Darauf deutet die Analyse von drei unterschiedlichen US-Datensätzen. Woran das liegt, bleibt aber unklar.
Wearables zur Anfallsdetektion, KI zur Prognose bei Schlaganfall und eine adaptive tiefe Hirnstimulation: Auf dem Kongress für Klinische Neurowissenschaften in Augsburg wurden neue Verfahren vorgestellt.
Eine Therapie mit Fremanezumab kann bei rund der Hälfte der Kinder und Jugendlichen die Zahl der monatlichen Migränetage um mindestens 50 Prozent senken. Das geht aus einer placebokontrollierten Studie hervor.
Die Frequenz macht‘s: Verwenden Diabetiker an mindestens drei von vier Tagen ein System zum kontinuierlichen Glukosemonitoring, profitieren sie besonders stark und nachhaltig von sinkenden HbA1c-Werten. Bei geringerer Nutzung nehmen die Werte dagegen nach sechs Monaten wieder zu.
Eine Therapie mit Valaciclovir bringt bei leichter Alzheimerdemenz einer neuen Studie zufolge keine Vorteile – damit beschleunigt sich vielmehr der kognitive Abbau. Zumindest in der symptomatischen Alzheimer-Phase scheinen reaktivierte Herpes-Viren keine große Bedeutung zu haben.
Die geringe Qualität sämtlicher kontrollierter Tremorstudien lässt kaum evidenzbasierte Empfehlungen zu, ist die Aussage eine Auswertung von 31 Studien. Dennoch weisen einige Wirkstoffe anderen gegenüber eine Überlegenheit auf.
Erstmals wird eine therapieresistente Angststörung klar definiert. Zur Behandlung bieten sich Kombinationen aus klassischen Psychopharmaka und Psychotherapien an. In der Entwicklung befindet sich auch ein alter Bekannter: LSD.
Wer viel Konservierungsstoffe über die Nahrung aufnimmt, muss mit einem erhöhten Krebsrisiko rechnen. Ein solcher Zusammenhang lässt sich primär für nicht antioxidativ wirkende Zusatzstoffe wie Nitrit und Nitrat, aber auch Sorbat und Acetat berechnen.
Auch Daten aus Kanada legen nahe, dass eine Herpes-zoster-Impfung einer Demenz bei älteren Menschen vorbeugt: Unter Impfberechtigten ist das Demenzrisiko deutlich reduziert, jedoch mit Unterschieden zwischen den Geschlechtern.
Die meisten Kinder mit fortgeschrittener Krebserkrankung erhalten in Bayern erst kurz vor dem Tod eine palliative Versorgung. Am häufigsten werden Kinder mit ZNS-Tumoren palliativ behandelt, am seltensten solche mit hämatologischen Krebsformen.
Ein Mann will Suizid begehen, bittet ChatGPT um eine Anleitung und wird von der KI in die Klinik geschickt. Dort müssen sich die Ärzte gut auf die Gespräche vorbereiten, da er die Therapie bestens informiert hinterfragt.
Valiltramiprosat bremst den kognitiven Abbau bei Personen mit zwei ApoE4-Allelen und einer Alzheimer-bedingten leichten kognitiven Einschränkung. Die Therapie könnte eine Alternative bei Kontraindikation für eine Antikörpertherapie darstellen.
Eine First-Line-Therapie mit Inavolisib verdoppelte in einer Phase-III-Studie das progressionsfreie Überleben von Frauen mit fortgeschrittenen Brusttumoren und PIK3CA-Tumor-Mutation. Nun liegen auch Daten zum Gesamtüberleben vor.
Der mit einem aktiven Transportmechanismus ausgestattete Antikörper Trontinemab zeigt in einer Phase-II-Studie nun auch Signale für eine klinische Wirksamkeit sowie eine reduzierte Tau-Pathologie.
Das Sprachmodell ChatGPT kann es bei der Differenzialdiagnose von Polyneuropathien mit den meisten Neurologen aufnehmen: Nur Spezialisten erkennen die richtige Erkrankung noch häufiger. Bei bestimmten Tests zieht die KI sogar mit den Experten gleich.
Wie lassen sich diejenigen Menschen mit früher Alzheimerdemenz identifizieren, die für die neuen Antikörpertherapien infrage kommen? Ein spezieller Befund- und Überleitungsbogen soll Hausärzten helfen.
Eine tiefe Hirnstimulation regt bestimmte neuronale Netzwerke im Gehirn an. Diese lassen sich auch von außen per Gleichstromstimulation aktivieren. Parkinsonbetroffene, die darauf gut ansprechen, scheint die Hirnstimulation besonders gut zu helfen.
Der Arzneimittelverordnungsreport sieht in den Jahren 2013 bis 2022 einen leichten Rückgang der Memantin-Verordnungen. Auch bei anderen Arzneien hat es Entwicklungen gegeben mit signifikanten Unterschieden zwischen Haus- und Facharztpraxen.
In der Umgebung von Industrieanlagen, die viel Trichlorethylen emittieren, ist das Parkinsonrisiko bis um das Vierfache erhöht. Darauf verweist eine US-Analyse. Die Chemikalie wird nach wie vor auch in Deutschland für Industrieprozesse verwendet.
Ein bis zwei Sitzungen mit einer Psilocybin-augmentierten Psychotherapie lindern therapieresistente Depressionen deutlich und langfristig: Der Therapieeffekt hält auch nach einem Jahr noch an, jedoch mit einem Unterschied bei den Geschlechtern.
In Deutschland scheint die Zahl der Demenzkranken seit etwa zehn Jahren deutlich zu sinken: Vor allem bei Hausärzten, werden immer weniger Diagnosen gestellt. Was die Gründe dafür sein könnten erklärt ein Versorgungsforscher.
Der GLP-1-Agonist Semaglutid dämpft zwar die periphere Entzündung und hat einen gewissen Einfluss auf Alzheimer-Biomarker, konnte in zwei großen Phase-III-Studien die Alzheimerprogression aber nicht verzögern.