Eine monoklonale Hypergammaglobulinämie ist eine häufige Laborkonstellation in der Praxis. Ein Myelom haben oder bekommen die Wenigsten mit einem solchen Befund – trotzdem können sie krank werden.
Um Patientinnen und Patienten in das AOK-Innofonds-Projekt der „kurzstationären allgemeinmedizinischen Versorgung“ einzuweisen, müssen sich Niedergelassene nicht mehr registrieren.
Über die Mikrobiom-Darm-Hirn-Achse beeinflussen sich zentrales Nervensystem und Bakterienflora im Darm gegenseitig. Ernährungsmedizin wird dadurch auch aus psychiatrischer Sicht immer interessanter.
Kann Milch negative Auswirkungen auf unsere Gesundheit haben? Eine schwedische Studie legt nahe, dass dies der Fall sein könnte – jedoch nur bei Frauen und bestimmten Milchprodukten.
In Greifswald wird die Behandlung von Nierenpatienten optimiert. In einem neuen Zentrum stehen 32 Dialyse-Behandlungsplätze rund um die Uhr zur Verfügung.
Die konventionelle Behandlung von Müttern mit Depressionen und Ängsten nach der Entbindung erfolgt meist medikamentös oder durch psychologische Beratung. Eine Metaanalyse bestätigt nun: Postpartaler Sport kann den Schweregrad depressiver Symptome verringern.
Mal sind es Mutationen, mal Bakterien oder Autoimmunantikörper: Wer Bewegungsstörungen richtig diagnostiziert, hat nicht selten auch eine wirksame Therapie zur Hand. Vier Fallberichte geben Einblicke.
Neurologische und psychiatrische Kontrollen bedeuten zwar Mehraufwand für Ärzte und Patienten mit Hirntumor. Sie sind aber wichtig, wie bei einem Vortrag beim Neurologen-Kongress deutlich wurde.
Post-COVID ist ein tückisches Syndrom, an dessen Verständnis und Therapiemöglichkeiten weltweit intensiv geforscht wird. Beim DGN-Kongress wurden einige vielversprechende Ansätze vorgestellt.
Konzepte für die Primärversorgung gibt es viele. Der Hausärzteverband in Niedersachsen will im kommenden Jahr ein eigenes Modell in den Rollout bringen.
Die STIKO hat im Januar die Meningokokken-B-Impfung für Säuglinge empfohlen, doch bis heute gibt es nur eine Impfvereinbarung dazu. Ärzte und Krankenkassen liegen bei ihren Honorarvorstellungen weit auseinander.
Positionspapier von Fachgesellschaften und Gesundheitsinstitutionen
Fast 550 offene Hausarztstellen gibt es in Niedersachsen. Wie die Sicherstellung künftig gelingen kann, stellte die KV heute in einer Pressekonferenz und in einem Symposium vor.
Prostatektomie und Strahlenbehandlung bergen auch viele Jahre später ein hohes Risiko für urologische und sexuelle Komplikationen. Dies sollte bei der Beratung stärker berücksichtigt werden.
Forscher berichten von einer besseren Aufmerksamkeitsregulation bei sechs Monate alten Kindern, die pränatal SARS-CoV-2 ausgesetzt waren. Andere entwicklungs- oder sozial-emotionale Meilensteine wurden jedoch nicht beeinflusst
Das Medizinforschungsgesetz war schon vor dem Ampel-Beben in Kraft. Im Dezember nimmt sich der G-BA seine Verfahrensordnung vor. Ziel ist eine Incentivierung klinischer Studien am Forschungsstandort Deutschland.
Psilocybin, eine psychedelische Substanz aus Pilzen der Gattung Psilocybe, könnte möglicherweise einer Magersucht entgegenwirken. Vielversprechende Ergebnisse hat eine US-Studie geliefert.
Kinder schlagen, Klassenkameraden mobben, Jugendliche sexuell ausbeuten: Eine Milliarde Minderjährige erleben jedes Jahr Gewalt, so die WHO. Jetzt wollen Länder etwas dagegen tun.
Die Anhebung von Mindestmengen sorgt dafür, dass ab 2025 mehr komplexe und planbare Op an Klinikstandorten mit hohen Fallzahlen erfolgen. G-BA-Chef Josef Hecken erläutert die Kriterien für die Festlegung der Untergrenzen.
Kooperation
|
In Kooperation mit: AOK-Bundesverband
Dass eine digitale Impferinnerung die Impfquote erhöht, darf erwartet werden. Nun kann der Berufsverband der Kinder- und Jugendärzte das auch bestätigen.
Methylphenidat und Atomoxetin erhöhten in einer Metaanalyse nicht die Wahrscheinlichkeit von Fehlgeburten, jedoch waren Geburtsfehler bei Neugeborenen häufiger.
Forscher haben einen tragbaren, hochempfindlichen Isopren-Sensor zur Lungenkrebsdiagnose entwickelt. In einer kleinen Studie hatten Krebspatienten niedrigere Isopren-Werte als gesunde Kontrollpersonen.
Nach einer Infektion mit dem Coronavirus kommt es einer Studie zufolge häufiger zu autoimmunen und autoinflammatorischen Bindegewebserkrankungen und chronisch entzündlichen Darmerkrankungen.
Sollte gegen das Coronavirus und Influenza zeitlich versetzt geimpft werden? Auf die unerwünschten Ereignisse hat dies einer prospektiven placebokontrollierten Studie zufolge keinen Einfluss.
Die Zahl der Reha-Leistungen bei Kindern und Jugendlichen ist im Vorjahr um 6,7 Prozent gestiegen. Bei der Verteilung der Diagnosen ist nach Angaben der Deutschen Rentenversicherung eine „Trendwende“ erkennbar.
Zu den vielen bekannten Wirkungen von Semaglutid gesellt sich wohl bald eine weitere: Real-World-Daten legen nahe, dass der GLP-1-Rezeptoragonist das Alzheimer-Risiko bei Personen mit Typ-2-Diabetes senken könnte.
Der Petitionsausschuss unterstützt die Forderung nach nach Einführung eines gestaffelten Mutterschutzes für Frauen, die vor der 24. Schwangerschaftswoche einen Abort erleiden.
Versicherte können ab sofort orthopädische Hilfsmittel digital verordnet bekommen. Sieben Krankenkassen haben nun ein Pilotprojekt gestartet - und kooperieren dazu mit PVS-Herstellern.
Die Zahl schwerer Körperverletzungen mit Messern hat laut Polizeistatistik deutschlandweit zugenommen. Ärzte beklagen eine immer größere Brutalität der Täter. Kann ein Messerverbot helfen?
Der Vorstandsvorsitzende und wissenschaftliche Vorstand des Deutschen Krebsforschungszentrums Heidelberg, Michael Baumann, wurde für seine Verdienste mit der Ehrendoktorwürde ausgezeichnet.
Der Artikel „Diagnostik und Therapie des Mammakarzinoms" hat die Jury des Julius-Springer-Preises überzeugt. Die Auszeichnung wurde auf dem Kongress der Deutschen Gesellschaft für Gynäkologie und Geburtshilfe verliehen.
Mit dem Pflegekompetenzgesetz will Gesundheitsminister Lauterbach Pflegekräften eine stärkere Rolle in der Versorgung zugestehen. Im Vorfeld der Beratungen im Bundeskabinett hat der Hausärztinnen- und Hausärzteverband rote Linien markiert.
Das neue Spitzenforschungszentrum One Health Ruhr will herausfinden, wie Umweltveränderungen sich auf die Gesundheit auswirken. Drei Universitäten aus dem Ruhrgebiet bündeln hier ihre Kräfte.
Ein Biofeedback-Gerät verbessert die Ergebnisse des Beckenbodentrainings, indem es Stressharninkontinenz lindert oder heilt und die Beckenbodenmuskulatur innerhalb von drei Monaten stärkt.
Gewichtsabnahme-Strategien können die Insulinresistenz und den freien Androgen-Index senken und die Menstruationsfrequenz verbessern, berichten Wissenschaftler aus Oxford.
Mithilfe der DIVI-Kindernotfall-App soll die gewichtsadaptierte Medikationsapplikation im pädiatrischen Notfall noch einfacher werden, hoffen die Entwickler.
Kinder, die eine Kindertagesstätte besuchen, haben offenbar ein geringeres Risiko für Typ-1-Diabetes als Kinder, die keine besuchen. Neben der höheren Keimbelastung werden weitere Faktoren vermutet.
Ein Ziel der Therapie bei IgA-Nephropathie ist es, die Proteinurie unter den Grenzwert von 1 g/d zu drücken. Helfen kann dabei jetzt der duale Angiotensin-Endothelin-Rezeptor-Antagonist Sparsentan.
Die deutsch-australische Wissenschaftlerin Anna Lene Seidler übernimmt einen neu geschaffenen Lehrstuhl an der Unimedizin Rostock und forscht über Ungleichheiten in der medizinischen Versorgung von Kindern und Jugendlichen.
Ein hoher Anteil der Patienten mit chronischer Nierenerkrankung erhielt im Jahr 2022 keine fachärztliche Versorgung. Die Mitbehandlungsrate ist besonders bei drei Patientengruppen niedriger.
Ärzte müssen selbst in sich ruhen, um gestressten Patienten helfen zu können. Im Interview mit der Ärzte Zeitung verrät Allgemeinmediziner Dr. Matthias Weniger, was Kolleginnen und Kollegen tun sollten, wenn sie unter Strom stehen.
Einer Arznei soll die Zulassung entzogen werden, weil sie in einer Studie gescheitert ist. Doch was, wenn die Studienbedingungen das Problem sind? Darüber sprechen wir am Beispiel der Primären biliären Cholangitis mit Professor Christoph Sarrazin. Und wir sprechen über Lösungsansätze.
In einer neuen Studie identifizierten Forschende 22 Pestizide, die mit dem Auftreten von Prostatakrebs in Verbindung stehen. Vier von ihnen waren sogar mit der Mortalität assoziiert.
Psychologen sollten eine wichtige Rolle gegen den Klimawandel spielen, fordert der BDP. Nur so könne die Gesellschaft für notwendige Veränderungen sensibilisiert werden, postuliert der Berufsverband.
Dr. Helena Orfanos-Boeckel ist überzeugte Anhängerin einer Präventivmedizin, die nicht erst eingreift, wenn etwas kaputt ist. Ihre Vision verwirklicht die Internistin aus Berlin seit 2018 in einer Privatpraxis.
Kooperation
|
In Kooperation mit: Tag der Privatmedizin
Auf der Delegiertenversammlung des Berufsverbandes der Augenärzte Deutschlands monierten die Teilnehmer die begrenzten augenärztlichen Weiterbildungsstellen.
Techniker, Barmer und 40 weitere Krankenkassen haben mit dem Klinikkonzern Asklepios einen Qualitätsvertrag für den Bereich Geburtshilfe entwickelt. Der umfasst digitale und analoge Versorgungselemente.
Schon einige Zeit vor der Menopause können sich Anzeichen der Wechseljahre bemerkbar machen und Schlaf, Konzentration, Stimmung, Energie, soziale Interaktion und die sexuelle Aktivität beeinflussen.
Sonderbericht
|
Mit freundlicher Unterstützung von:
Procter & Gamble Health Germany GmbH, Schwalbach am Taunus
Ein britisches Team hat eine Studie zu Zusammenhängen von unerwartetem Gewichtsverlust und Krebs aufgrund von Fehlern zurückgezogen – und nach Korrektur neu publiziert. Die aus der Studie abgeleiteten Empfehlungen lauten nun etwas anders.
Schlafstörungen im Alter sind häufig und beeinträchtigen den ganzen Menschen, sowohl in der Nacht als auch am Tag. Neben psychischen Störungen, Tagesmüdigkeit, verminderter Lebensqualität und erhöhter Sturzgefahr können Störungen des Schlafes ...
Die Gesetzesinitiative zur Einführung einer Widerspruchslösung ist eine große Chance. Dies setzt jedoch einen fokussierten Blick aufs eigentliche Problem voraus, meinen drei Gastautoren in der Ärzte Zeitung.
Eine selektive Surveillance von Personen mit genetisch hohem Risiko für Bauchspeicheldrüsenkrebs kann die Behandlungsergebnisse und die Prognose im Erkrankungsfall verbessern.
In den kürzlich veröffentlichten europäischen Leitlinien zur Therapie bei systemischer Sklerose wird auf einen Ansatz gesetzt, der sich an den Domänen orientiert.
Die Befürchtung, dass Menschen mit Osteoporose unter antiresorptiver Therapie eine Kiefernekrose entwickeln, hält sich hartnäckig. Ein Facharzt für Mund-Kiefer-Gesichtschirurgie klärt auf, wie hoch das Risiko wirklich ist und was es zu beachten gilt.
Neue Daten der offenen Verlängerungsstudie ALITHIOS zum einmal monatlich durch die Patientinnen und Patienten selbst subkutan (s.c.) zu applizierenden Anti-CD20-Antikörper Ofatumumab zur Behandlung der aktiven schubförmigen Multiplen Sklerose (RMS) unterstreichen das günstige Nutzen-Risiko-Profil für einen Beobachtungszeitraum...
Sonderbericht
|
Mit freundlicher Unterstützung von:
Novartis Pharma GmbH, Nürnberg
Der Tyrosinkinase-Inhibitor (TKI) der STAMP-Klasse Asciminib ist seit August 2022 bei Erwachsenen mit Philadelphia-Chromosom-positiver chronischer myeloischer Leukämie in der chronischen Phase nach mindestens zwei vorherigen ATP-kompetitiven TKI zugelassen.
Sonderbericht
|
Mit freundlicher Unterstützung von:
Novartis Pharma GmbH, Nürnberg
In der Behandlung von Patienten mit mittelschweren Dupuytren-Kontrakturen zeigen sich Kollagenase-Injektionen weniger wirksam als eine limitierte Aponeurektomie. Das hat der direkte Vergleich der beiden Methoden in der DISC-Studie ergeben.
Die Idee, mit mesenchymalen Stammzellen arthrotische Kniegelenke zu regenerieren, klingt vielversprechend. Die Therapie ist allerdings nicht ganz billig – und vermutlich ohne großen Effekt, wie eine Metaanalyse zeigt.
Ob eine Androgendeprivation bei Prostatakrebs kontinuierlich oder intermittierend erfolgt, hat auch Einfluss auf das Risiko für schwere kardiovaskuläre Ereignisse. Das legen zumindest Daten einer retrospektiven US-Analyse nahe.
Daten einer Phase-III-Studie sprechen dafür, dass der MammaPrint-Gentest derzeit kaum bei der Frage weiterhilft, wer mit frühem Hormonrezeptor-positivem Mammakarzinom eine längere oder kürzere antihormonelle Therapie erhalten sollte.
Nicht verschreibungspflichtige Substanzen mit leberschädigendem Potenzial sind einer US-Studie zufolge weit verbreitet. Die Autoren empfehlen, bei unklar erhöhten Leberwerten nach solchen Gesundheitspräparaten zu fragen.
Etwa 8 Prozent aller Ösophaguskarzinome werden bei einer Endoskopie übersehen, ergab eine norwegische Studie. Eine sorgfältigere Abklärung von Auffälligkeiten könnte diese Rate möglicherweise absenken.
Lohnt es sich, Menschen mit Katarakt und Offenwinkelglaukom gleichzeitig minimal-invasiv zu operieren? Laut einer kanadischen Metaanalyse offenbar schon.
Gibt es einen Zusammenhang zwischen einer Therapie mit dem GLP-1-Rezeptoragonisten Semaglutid bei Diabetes oder Adipositas und einer nicht arteriellen anterioren ischämischen Optikusneuropathie (NAION)? Eine Kohortenstudie ergab eine deutliche Assoziation.
Hinter unspezifischen abdominellen Symptomen kann sich bisweilen auch eine Krebserkrankung verbergen. Welche Aussagekraft hier Blut- und Serumwerte haben, ist in einer Studie untersucht worden.
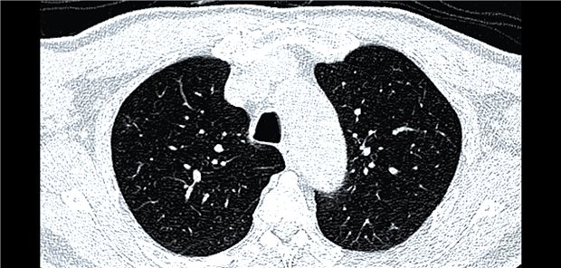
Im Niedrigdosis-Thorax CT bei Nichtrauchern weist in einer niederländischen Studie knapp die Hälfte der Männer und mehr als ein Drittel der Frauen solide Lungenknötchen mit einem Volumen über 30 mm3 auf.
Zur Prävention von Darmkrebs regelmäßig Azetylsalizylsäure schlucken? Die Empfehlung wurde 2022 wegen des Blutungsrisikos zurückgezogen. Eine US-Studie legt jetzt nahe: Bestimmte Personengruppen könnten dennoch profitieren.