Themenseite Dermatologie
            
    
Themenseite - Dermatologie    
            
        
    Internationales Konsensus-Statement
VEXAS-Syndrom: Fünf Jahre Forschung trägt erste Früchte
Neue S3-Leitlinie veröffentlicht
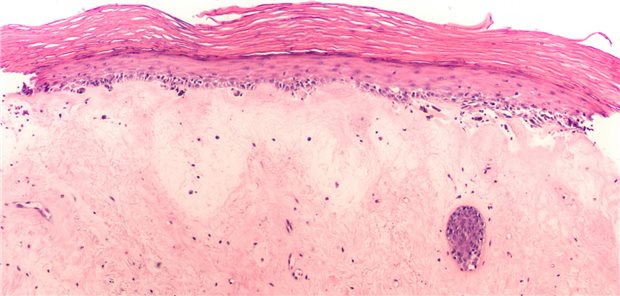
Lichen sclerosus erkennen und leitliniengerecht therapieren
							1
							
  
    
       
   
						
						Neue S3-Leitlinie veröffentlicht
Lichen sclerosus erkennen und leitliniengerecht therapieren
							2
							
  
    
       
   
						
						Chirurgische Infektionsprophylaxe
Nicht-Betalaktam-Antibiotika erhöhen wohl das Risiko für postoperative Wundinfektionen
							3
							
  
    
       
   
						
						Internationales Konsensus-Statement
VEXAS-Syndrom: Fünf Jahre Forschung trägt erste Früchte
							4
							
  
    
       
   
						
						Hidradenitis suppurativa
Wie Acne inversa erkannt und behandelt wird
							5
							
  
    
       
   
						
				Weltweites systematisches Review
Viele Geflüchtete werden von Infektionen der Haut geplagt
                
                    31.10.2025
                    |
                
                    
            
    
        Chirurgische Infektionsprophylaxe
Nicht-Betalaktam-Antibiotika erhöhen wohl das Risiko für postoperative Wundinfektionen
                
                    31.10.2025
                    |
                
                    
            
    
        Internationales Konsensus-Statement
VEXAS-Syndrom: Fünf Jahre Forschung trägt erste Früchte
                
                    28.10.2025
                    |
                
                    
            
    
        Neue S3-Leitlinie veröffentlicht
Lichen sclerosus erkennen und leitliniengerecht therapieren
        
    
            Podcasts
    
       
                
  
„ÄrzteTag“-Podcast
Wie vermeiden Sie Regresse in der Wundversorgung, Herr Sommerbrodt?
„ÄrzteTag“-Podcast
Tanorexie – wann wird Sonnenbaden zum Zwang, Professor Baune?
EvidenzUpdate-Podcast
KI in der Medizin – über böse Uhren und eine euphorisierte Zukünftigkeit
        
    
            Meinung
    
       
                
  



 
                 
                










