Ärztinnen und Ärzten sollten Salbutamol-haltige Dosieraerosole derzeit nicht zur Bevorratung verordnen. Darauf weist der Beirat für Liefer- und Versorgungsengpässe beim BfArM hin.
Die Diabetesversorgung erlebt derzeit einen Technologieschub: Kontinuierliche Glukosemessung (CGM) und automatische Insulindosierungssysteme (AID) werden zum Massenphänomen und die Versorgungslandschaft kräftig verändern, betonen Diabetologen bei der diatec-Tagung.
Retinopathie-Erkennung, Therapiepersonalisierung, Risikoprädiktion: Künstliche Intelligenz (KI) könnte bei Diabetespatienten künftig viele nützliche Aufgaben übernehmen – und sogar das Versorgungsniveau insgesamt anheben, heißt es bei der diatec-Tagung.
In der jetzigen Herbst-Winter-Saison haben in der EU, Island, Liechtenstein und Norwegen zusammen bereits über 19 Millionen Menschen über 60 Jahren eine COVID-19-Impfung erhalten. Allerdings kann keines der Länder von einer Abdeckung von 80 Prozent berichten.
Der Fachausschuss für Humanarzneimittel (CHMP) bei der Europäischen Arzneimittelagentur hat Zulassungsempfehlungen für zwei neue Wirkstoffe abgegeben: Für eine aus deutsch-französischer Entwicklungspipeline stammende Antibiotikakombi sowie für ein Fusionsprotein gegen Neutropenie nach Chemo.
Lassen sich Schäden und Entzündungen am Herzmuskel als Folge eines Broken-Heart-Syndroms mildern? Forscher aus Heidelberg wollen dies in einer Studie mit einem entzündungshemmenden Medikament versuchen.
Als Zeichen gegen Rechtsextremismus und für eine plurale Demokratie gründet sich das Bündnis „Weltoffenes Thüringen“. Mit dabei sind auch niedergelassene Ärzte, Kliniken und die Ärztekammer.
Der neue Vertrag hebt sich ab: Primär behandelnde Ärztinnen und Ärzte erhalten besondere Zuschläge. Die Vertragspartner hoffen, dass die Zahl der Klinikeinweisungen sinkt.
Der EBM wird an die telefonische Kinderkrankschreibung angepasst. Die Kostenpauschale für die Versendung des Attests ist jetzt wie bei Erwachsenen neben der Ziffer 01435 abrechenbar.
Die geplante Mindestmengenregelung stellt Standorte in dünn besiedelten Flächenländern vor massive Probleme. Der Vorstand der Ärztekammer Mecklenburg-Vorpommern macht auf die Folgen aufmerksam.
Das Belegarztwesen liegt auf der Intensivstation. Die Krankenhausreform böte die Gelegenheit für die Politik, die Mutter der sektorübergreifenden Versorgung zu reanimieren. Kurios: Die KBV zeigt wenig Interesse.
Seit einem Jahr können sich Ärztinnen und Ärzte beim Thema Abruptiones im 1. Trimenon an einer deutschen Leitlinie orientieren. Von den Fortschritten im Kleinen berichtet Allgemeinmedizinerin Kristina Hänel.
Durch eine Therapie mit Virusvektoren wurde einem tauben 11-Jährigen mit Gendefekt ein intaktes Gen ins Innenohr appliziert. Er kann wieder hören, hat aber das Zeitfenster zum Sprechenlernen verpasst.
Der Cannabishändler Cantourage sieht Anzeichen für hohe Haschisch-Affinität in der bundesdeutschen Bevölkerung. Bei zugleich dürftigem Wissen über medizinische Bezugswege.
Eine Real-World-Studie bestätigt, dass sich ein Typ-2-Diabetes durch Lebensstiländerungen in Remission bringen lässt. Entscheidend ist dabei offenbar eine ausgeprägte frühe Gewichtsreduktion.
Notfall- und Intensivmediziner sehen Änderungsbedarf bei den Plänen zur Notfallreform. Eine Bestnote könne man dafür jedenfalls nicht vergeben, sagt DIVI-Präsident Walcher. Er verweist auf mehrere Kritikpunkte.
Mit dem G–BA-Beschluss zur Änderung der Richtlinie zur datengestützten einrichtungsübergreifenden Qualitätssicherung steht in der ambulanten Psychotherapie ein Paradigmenwechsel an. Es hagelt Kritik.
Nicht Vitamin-K-abhängige orale Antikoagulanzien werden oft bevorzugt angewandt. Bei einigen Erkrankungen sind sie aber nicht so wirksam oder sicher wie die derzeit empfohlene Standardbehandlung.
Viele reale Patientenfälle zeigten, dass die Diagnosestellung von Hausärzten und die Durchführung der CT-Koronarangiografie (CCTA) von Radiologen alleine zu unnötiger Folgediagnostik führten, monieren Kardiologen.
400.000 Euro zahlt der Klinikbetreiber Helios an die gewerkschaftlich engagierte Anästhesistin Franziska Schlosser. Die Ärztin zog gegen ihre Kündigung vor Gericht.
Scheitern ältere Menschen an Strecken von mehreren Hundert Metern Gehstrecke, kann das ein Warnhinweis auf ein erhöhtes Frakturrisiko sein, berichten australische Wissenschaftler.
Wie lassen sich Chemotherapien nebenwirkungsärmer gestalten? Dazu forscht der Bochumer Chemiker Dr. Johannes Karges. Von der Paul Ehrlich-Stiftung erhält er deshalb den Paul Ehrlich- und Ludwig-Darmstaedter-Nachwuchspreis.
Die EU-Kommission hat Parlament und Rat Empfehlungen zu Fristverlängerungen bei der In-vitro-Diagnostika-Marktzertifizierung nach der neuen Verordnung unterbreitet. Ziel ist die Engpassvermeidung.
Im Vorfeld von Schulterarthroskopien und Implantationen von Knieendoprothesen stehen bundesweit mehrere Hundert Ärzte für eine Zweitmeinung zur Verfügung. Das gilt nicht für alle Eingriffe.
Wenn sich Symptome einer COPD akut verschlechtern, kann dies langfristige und schwerwiegende kardiovaskuläre Folgen haben. Dies gilt laut einer retrospektiven Kohortenstudie bereits ab der ersten Exazerbation.
Im Vorfeld der Öffnung des Organspenderegisters bricht die Debatte um Anreize zur individuellen Entscheidung bei der Organspende wieder auf. In der Ampelkoalition stoßen finanzielle Sanktionen auf Ablehnung.
Menschen mit Spritzenphobie vermeiden Arztbesuche und lassen sich schon gar nicht impfen. Wie Professorin Angelika Erhardt vom Max-Planck-Institut für Psychiatrie Betroffenen hilft, erklärt sie im „ÄrzteTag“-Podcast.
Der orale Myosininhibitor Mavacamten kann ab sofort auch in der ambulanten Kassenversorgung eingesetzt werden. Eine ausstehende Laborziffer ist jetzt veröffentlicht worden und rückwirkend zum Jahreswechsel in Kraft getreten.
Die Empfehlung, langes Sitzen zu vermeiden, hat sich in einer Studie auch bei Typ-1-Diabetes bewährt: Immer mal wieder aufzustehen und ein bisschen umherzugehen, führte zu einer nachhaltig besseren Blutzuckerkontrolle.
Bei manchen Krebserkrankungen ist das Risiko für einen weiteren Primärtumor erhöht: Innerhalb von zehn Jahren erkrankt jeder Fünfte mit einem Tumor des Kehlkopfs, der oberen Verdauungswege sowie der Blase und der Harnwege erneut an Krebs.
Profitieren junge Patientinnen und Patienten mit Vorhofflimmern von einer frühzeitigen Radiofrequenzablation? Mögliche Hinweise hierfür finden sich in einer chinesischen Beobachtungsstudie.
Epcoritamab ist ein bispezifischer Antikörper zur Therapie bei rezidivierten oder refraktären diffus großzelligen B-Zell-Lymphomen. Er wurde auf Basis von Ergebnissen der Studie EPCORE NHL-1 zugelassen.
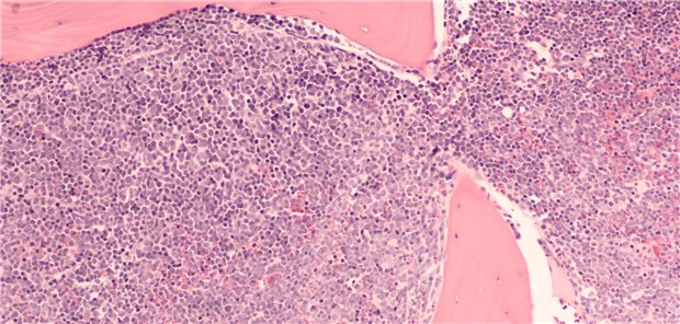
Bioptisch diagnostizierte In-situ-Plattenepithelkarzinome der Mundhöhle können okkult invasiv wachsen. Wie häufig das geschieht und was folglich therapeutisch zu unternehmen ist, hat eine US-Studie untersucht.
Die Arzneimittelkommission der deutschen Ärzteschaft informiert: Die britische Arzneimittelbehörde erinnert an das Risiko psychiatrischer Reaktionen unter Fluorchinolon-haltigen Antibiotika.
Die Union im Bundestag macht sich für eine Evaluation der Inanspruchnahme vorgeburtlicher Pränataltests stark. Das Bundesgesundheitsministerium ist nur gedämpft begeistert.
Milchkonsum war in einer Studie bei Laktoseintoleranz mit einem verringerten Diabetes-Risiko assoziiert. Fördert Milch das Wachstum bestimmter Darmbakterien, die den Stoffwechsel positiv beeinflussen?
Der CSU-Politiker Stephan Pilsinger schlägt vor, dass die Haltung zur Organspende in ein Register verpflichtend einzutragen ist. Andernfalls solle eine Strafgebühr anfallen. Kassenvertreter sehen einen Haken.
Zwischen Übergewicht, Entzündungen und Krebs besteht ein Zusammenhang. Doch welche Mechanismen stecken im Detail dahinter? Das untersuchen jetzt Forschende am Universitätsklinikum Dresden.
Die für Ende März erwarteten Vorschläge der Kommission zur Reproduktionsmedizin dürften bei Grünen und FDP ein unterschiedliches Echo finden. Ein Streitpunkt: Die mögliche Legalisierung der Leihmutterschaft.
Menschen mit rheumatoider Arthritis haben auch unter modernen krankheitsmodifizierenden Therapien (DMARDs) ein erhöhtes Krebsrisiko. Das gilt allerdings nicht für alle Krebsarten – einzelne Entitäten treten sogar seltener auf als im Bevölkerungsdurchschnitt.
Für weitere Rituximab-Gaben nach zwei Jahren remissionserhaltender Therapie bei ANCA-assoziierter Vaskulitis (AAV) bieten B-Zellen eine bessere Orientierung als steigende Antikörperspiegel.
Die Regierung hat beschlossen, die Budgets im hausärztlichen Versorgungsbereich aufzuheben. Eine Entdeckelung auch im Facharztbereich hält der Berufsverband Deutscher Rheumatologen für nötig – trotz oder gerade wegen der ASV.
Viele ältere AML-Kranke erhalten keine Stammzelltransplantation, weil sie die Induktions-Chemotherapie nicht vertragen. Für sie wäre wohl eine Zehntagestherapie mit Decitabin statt der üblichen 3+7-Chemotherapie die verträglichere Option.
Die neuen Kriterien für die Prätest-Wahrscheinlichkeit einer stenosierenden KHK erlauben es in vielen Fällen, auf die koronare computertomografische Angiografie zu verzichten – mit geringem Risiko für die Patienten.
Ob Personen mit therapierefraktärer chronischer spontaner Urtikaria langfristig von Omalizumab profitieren, lässt sich vorab nicht abschätzen. Forschende haben sich auf die Suche nach Prädiktoren gemacht.
Kaum ist es kalt, reißt bei einigen Menschen die Haut an Fingern, Zehen und Ferse ein. Helfen können Sekundenkleber und Rhagaden-Pflaster – aber mehr noch Prävention. Ein Dermatologe gibt Tipps.
Wird Künstliche Intelligenz Ärztinnen und Ärzte ersetzen können? Bekommt jede Praxis künftig einen eigenen Chatbot? Und ist KI wirklich intelligent, oder kann das weg? Teil drei der Jahreswechsel-Episoden vom „EvidenzUpdate“-Podcast.
Die Zulassung von Eylea® 8 mg ermöglicht bei neovaskulärer (feuchter) altersabhängiger Makuladegeneration und bei diabetischem Makulaödem längere therapiefreie Phasen zwischen zwei Injektionen.
Leitlinien und Neuzulassungen – für die tägliche Praxis hat sich in der Kardiologie in 2023 viel getan. Aber es sind häufig die kleinen Studien, die verblüffen und schmunzeln lassen. Drei Beispiele, bei denen die Redaktion hellhörig geworden ist.
Viele Kinder und Jugendliche gehen gerne in Trampolinparks. Manche Sprünge dort enden allerdings mit Verletzungen. Australische Pädiater haben nun konkrete Zahlen vorgelegt.
Filmen Patienten während einer Schwindelattacke ihre Augenbewegungen per Handy, kann dies die Vertigodiagnose beschleunigen. Für brauchbare Videos, ist nicht nur ein spezieller Augenadapter nötig.
Wenn Personen mit Tinnitus über eine schwächelnde Konzentration klagen, ist vielleicht gar nicht das Ohrgeräusch per se schuld. Das legen Ergebnisse einer einer türkischen Studie nahe.
Das Biotechnologie-Unternehmen Amgen hat mit der Nationalen Hyperlipidemia Academy (HLA) eine Plattform für den wissenschaftlichen Austausch auf dem Gebiet des Lipidmanagements und damit eng verzahnter Fachdisziplinen ins Leben gerufen.
Sonderbericht
|
Mit freundlicher Unterstützung von:
Amgen GmbH, München
Eine beim Menschen eher untypische Trichophyton-Spezies hat bei einer Jugendlichen eine Tinea corporis ausgelöst. Der Grund: Das Mädchen hatte eine Vorliebe für ein bestimmtes Pony.
Kann man es wagen, Patientinnen und Patienten mit Morbus Bowen allein mit einer topischen 5-FU-Therapie zu behandeln? Eine randomisierte Studie scheint dafür zu sprechen.