Die Sorge, Thiaziddiuretika könnten das Auftreten von Diabetes fördern, scheint einer Analyse zufolge unbegründet zu sein. Der Anstieg des Nüchternblutzuckers wird als klinisch unbedeutsam beurteilt.
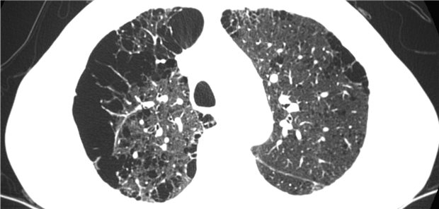
In der Diagnostik der COVID-19-Pneumonie nimmt die Computertomografie des Thorax eine herausragende Position ein. Das wird ein weiteres Mal durch eine Studie aus China belegt.
Macht uns das Coronavirus Angst? Oder sind es die Nebenwirkungen der Pandemie und der Maßnahmen dagegen? Und wie helfen uns Labortests dagegen? Darüber reden wir in dieser Episode des „CoronaUpdate“.
Pro Stunde wird ein Beatmungspatient in das Uniklinikum Straßburg eingeliefert. Ein Bericht zeigt die schlimme Lage des französischen Klinikums eindrücklich auf.
Die erst kürzlich publizierte S1-Leitlinie „Neues Coronavirus – Informationen für die hausärztliche Praxis“ wurde schon nach wenigen Tagen überarbeitet und gerade veröffentlicht.
Psychisch kranken Menschen setzt die Coronakrise besonders zu. Vor allem Menschen mit Depression hätten Schwierigkeiten, mit der Situation klar zu kommen, warnen Ärzte.
In der vergangenen Woche lag die Influenza-Positivenrate nur noch bei 20 Prozent. Der Höhepunkt der Grippekurve ist überschritten, meldet das Robert Koch-Institut.
80.000 Patienten an der Dialyse trifft SARS-CoV-2 ganz besonders. DGfN-Präsident Professor Jan Galle über die Herausforderungen angesichts von Corona – und die klinische Bedeutung bei Nierenpatienten.
Ein guter Infektionsschutz ist für MS-Kranke während der Corona-Pandemie jetzt besonders wichtig, vor allem wenn sie immunsupprimierende Therapien benötigen.
87 Prozent der Mädchen und 91 Prozent der Jungen zwischen 11 bis 17 Jahren schätzen ihren Gesundheitszustand als sehr gut oder gut ein. Das erklärt die Regierung in ihrer Antwort auf eine FDP-Anfrage.
Vor dem Einsatz des laut US-Präsidenten Donald Trump „starken Medikaments“ Chloroquin in Kombination mit dem Antibiotikum Azithromycin bei COVID-19-Patienten warnen deutsche Kardiologen eindringlich.
Bei Kindern mit Adipositas ist der Effekt einer multimodalen Therapie umso erfolgreicher, je eher damit begonnen wird, betont die Deutsche Adipositas-Gesellschaft (DAG).
Regelmäßig heiß baden ist offenbar gut fürs Herz-Kreislauf-System. In einer japanischen Studie nahm damit das langfristige Risiko für Schlaganfälle und Hirnblutungen deutlich ab – aber nicht für alle.
Insbesondere ältere Patienten und solche mit besonderen Risikofaktoren für Venenthrombosen sollten nach Möglichkeit den Wirkstoff Tofacitinib nicht bekommen.
Der Intensivmediziner und DIVI-Präsident Uwe Janssens beklagt Hamsterkäufe und Preisanstiege bei Arzneien und Schutzausrüstung. Er warnt vor einer „Masken-Mafia“ – und fordert notfalls Beschlagnahmungen.
Schutzschirm für Praxen und Kliniken, neue Befugnisse für Spahn – das sieht die Reform des Infektionsschutzgesetzes (IfSG) vor. Von Länderseite gibt es positive Signale.
Kann der Mensch ohne Milch leben? Fachgesellschaften empfehlen aus gesundheitlichen Gründen den täglichen Verzehr von Milchprodukten. Die Autoren eines Reviews sind anderer Meinung.
Patienten, die längerfristig mit oralen Glukokortikoiden behandelt werden, haben ein erhöhtes Hypertonierisiko. Es steigt mit der Gesamtdosis an Prednisolonäquivalenten.
Laut neuer Modellrechnungen sterben im Durchschnitt 1,4 Prozent der symptomatischen Patienten mit COVID-19. Das Sterberisiko wäre demnach geringer als vermutet - aber nicht für alle Altersgruppen.
Wie viele Menschen sich mit dem neuen Coronavirus infiziert haben, ist unklar. Aufschluss könnten Antikörpertests geben – Einen solchen haben New Yorker Forscher nun entwickelt.
Der Anteil von Patienten mit Typ-2-Diabetes, die schwere Hypoglykämien durchmachen, ist seit 2006 gesunken. Zu verdanken ist das den neueren Antidiabetika und individualisierten Therapiezielen.
Zu SARS-CoV-2 und COVID-19 ist gute Evidenz noch immer rar. Anekdotische Publikationen beherrschen die Literatur. Hausärzte versuchen jetzt, mit einer „Living Guideline“ etwas Klarheit zu schaffen.
Zwischen schweren Hypoglykämien und kardiovaskulären Ereignissen besteht offenbar eine wechselseitige Beziehung: Betroffen sind vor allem Typ-2-Diabetiker mit mehreren Begleiterkrankungen.
Die Global Initiative for Asthma (GINA) hat die Therapieempfehlungen für Stufe 1 und 2 geändert. Durch eine bedarfsgesteuerte Kombitherapie werden Exazerbationen und Steroidverbrauch reduziert.