Auch Senioren können mit HIV infiziert sein. Im Falle einer Umstellung der antiretroviralen Therapie sollten mögliche Nebenwirkungen und Interaktionen mit anderen Arzneimitteln berücksichtigt werden.
Welche Faktoren erhöhen bei Kindern das Risiko, dass sie Long-COVID entwickeln, und wie viele Kinder entwickeln tatsächlich Long-COVID? Diesen Fragen ist eine internationale Studie nachgegangen.
Mecklenburg-Vorpommerns Gesundheitsministerin Stefanie Drese (SPD) will wegen der steigenden Belastung des Rettungsdienstes das Angebot von Telenotärzten ausbauen.
Der Bundesgerichtshof sieht in der Klage eines biotechnologiekritischen Vereins gegen ein abgelaufenes Patent kein Rechtsschutzinteresse. Inhaltlich äußert er sich nicht zum Stammzellen-Patent.
Heiße Sommer führen zu messbarer Übersterblichkeit. Zu diesem Ergebnis kommt eine Datenanalyse des Robert Koch-Instituts In diesem Jahrtausend erlebte Deutschland bereits sechs heftige Hitzewellen.
Auf der ostfriesischen Insel Wangerooge sichert Allgemeinärztin Dr. Annick Golz mit einem Kollegen seit zwei Jahren die hausärztliche Versorgung – doch in der Praxis ist sie nur Mieterin.
Weltweit nutzen mehr Menschen – relativ betrachtete – Verhütungsmittel. Doch eine GBDS-Auswertung zeigt, dass noch längst nicht alle Zugang dazu haben.
Eine Zahnärztin hatte mit einem Kollegen einen Kaufvertrag über ihre Kundendatei geschlossen. Das widerspricht dem Prinzip der freien (Zahn-)Arztwahl und ist daher nicht zulässig, urteilt der Bundesgerichtshof.
Die Delegation ärztlicher Verantwortung ist einen Schritt weiter: Der Gemeinsame Bundesausschuss hat einstimmig entschieden, dass Pflegekräfte in der häuslichen Krankenpflege mehr Befugnisse erhalten.
Eine Real-World-Studie offenbart: Bei komplett mit Comirnaty® geimpften Kindern ist das relative Risiko, wegen eines schweren Omikron-Verlaufs im Krankenhaus zu landen, um über 80 Prozent reduziert.
Wenn die Künstliche Intelligenz TREWS Alarm schlägt, sollte eine Sepsis-Diagnose binnen drei Stunden bestätigt und entsprechend gehandelt werden: Dadurch wird das Risiko zu sterben deutlich gesenkt – so eine Studie.
Im Zuge des Modellprojekts FARKOR kommen Forscher zu dem Schluss: Vorsorge bei einem erhöhten familiären Darmkrebsrisiko ist sinnvoll und rentabel für das Gesundheitswesen – auch bei unter 50-Jährigen.
Am 22. Juli ist der Welttag des Gehirns – im Einsatz ist es natürlich auch an jedem anderen Tag. Schon Alltägliches wie das „Zurechtfinden in der Welt“ kann Patienten mit räumlichen Orientierungsstörungen große Probleme bereiten, schreibt Professor Klaus Jahn in der Ärzte Zeitung.
Die Affenpocken breiten sich aus, bisher sind 11.000 Fälle in 69 Ländern bekannt – und über 1900 in Deutschland. Das Robert Koch-Institut hat neue Erkenntnisse zusammengetragen: zu Übertragungswegen, Symptomen und Patientengruppen.
In einem offenen Brief erhebt der Deutsche Zentralverein homöopathischer Ärzte Vorwürfe gegen die BÄK. Es geht um das Ärztetagsvotum zur Streichung der Zusatzbezeichnung Homöopathie aus der MWBO.
Eine Krebserkrankung belastet nicht nur die Patienten, sondern auch ihre Angehörigen sind psychisch involviert und entwickeln Angstzustände, Depressionen und PTBS - so eine Studie zum Multiplen Myelom.
Infektionen mit Nicht-Cholera-Vibrionen aus Nord- und Ostsee sind sehr selten aber potenziell tödlich. Bei typischen Symptomen sollten Ärzte daran denken.
Nach COVID-19 treten gehäuft kardiovaskuläre Krankheiten und Diabetes auf, bestätigt eine Studie in UK. Offenbar sinkt das Risiko dafür aber nach einiger Zeit wieder auf Normalniveau.
Der Rekordsommer 2003 forderte in Frankreich 15.000 hitzebedingte Todesfälle – vor allem Ältere. Landesweit gelten seit 2004 Hitzepläne, die nun wohl Wirkung zeigen. Was die Behörden vor Ort im Bedarfsfall tun.
An der Medizinischen Hochschule Hannover organisiert ein Büro die Transplantationen von Niere, Pankreas, Leber, Herz und Lunge. Wie das konkret abläuft, erläutert Dr. Annette Tuffs im „ÄrzteTag“-Podcast.
Eine dauerhafte niedrig-gradige systemische Entzündung beschleunigt das Altern und fördert Gebrechlichkeit. Eisenmangel könnte die Entzündung verstärken, so eine Studie.
Im Rahmen des NHS-Brustkrebs-Screenings gibt es für die teilnehmenden Frauen nur ein geringes Risiko für Überdiagnose. Das zeigt eine Auswertung von Daten des Programms.
Die Hitze und die hohen Energiekosten setzen den deutschen Krankenhäusern zu. Fast alle hängen am Erdgas-Hahn – und Notfallpläne bei Hitzeperioden, Flut oder Sturzregen sind in Kliniken rar.
2012 brachte Dr. Christina Berndt mit ihrem Bericht „Leber im Angebot“ die Enthüllung des Transplantationsskandals ins Rollen. Im Interview gibt Berndt Einblick in ihre Recherchen – und verrät, was sie bedauert.
In Goslar können Sanitäter in Notfällen den Notarzt mit Handykamera zum Einsatzort schalten. Schon bald könnten alle Niedersachsen von dieser Möglichkeit profitieren.
Dass Hitzeaktionspläne immer noch rar sind, ist kein Zufall. Sollen sie nicht Symbolpolitik bleiben, ist ein intersektorales Verständnis von Gesundheit nötig.
Heute vor genau zehn Jahren erschien der erste Medienbericht über Unregelmäßigkeiten in der Göttinger Transplantationsmedizin. Damals ahnte noch niemand, welches Beben der Artikel auslösen würde. Die Ärzte Zeitung blickt zurück.
Die Krankenkasse muss nicht für eine beinverlängernde Operation aufkommen, hat ein Landessozialgericht entschieden – und betont: Psychotherapie und Hilfsmittel seien Mittel der Wahl, wenn jemand mit seiner Größe hadert.
Nicht-binäre Personen haben keinen Anspruch auf die Angleichung ihres Körpers hin zu einem möglichst geschlechtsneutralen Äußeren. Das hat ein Landessozialgericht entschieden.
Was bringen Apherese und Dreifach-Antikoagulation bei der Long-COVID-Behandlung? Die Deutsche Gesellschaft für Nephrologie sieht den Nutzen solcher Therapien für Selbstzahler kritisch – und warnt vor Abzocke.
Was Long- bzw. Post-COVID für die Patienten bedeutet, lässt sich nur schwer abschätzen. Um zumindest den Schweregrad quantifizieren zu können, wurde nun ein Score entwickelt.
Medikamente wie Paxlovid® können Experten zufolge schwere COVID-Verläufe verhindern, doch das Präparat kommt in Deutschland kaum zum Einsatz. Das soll sich bald ändern – und Hausärzte spielen eine entscheidende Rolle.
Begünstigt durch den Klimawandel breiten sich Affenpocken, Zika oder Dengue-Fieber in Deutschland aus. Vor allem bei zoonosenbedingten Virusexanthemen sollten Hautärzte eine Lotsenfunktion übernehmen, fordert ein Dermatologe.
Suchterkrankungen, Persönlichkeitsstörungen, Psychosen: Immer mehr Gefangene benötigen eine stationäre psychiatrische Behandlung, berichtet das sächsische Justizministerium. In Leipzig ist nun ein neues Haftkrankenhaus am Start.
Werden von einer Praxis bei einer Kinderwunschbehandlung Samen oder Einzellen kryokonserviert, fällt für den Betrieb der Gesellschaft Gewerbesteuer an. Daran ändert auch die Praxisangliederung nichts.
Intensivmediziner Marx hält einen weiteren Impf-Booster für ältere Bundesbürger im Corona-Herbst unter bestimmten Umständen für sinnvoll. Gleichzeitig ruft er zur Influenza-Impfung auf.
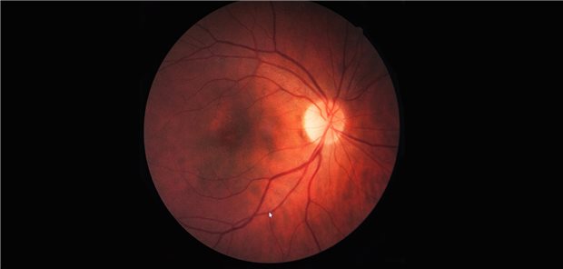
Wie sich eine Stufentherapie aus Bevacizumab und Aflibercept verglichen mit einer Aflibercept-Monotherapie beim diabetischen Makulaödem auswirkt, hat eine Studie untersucht.
Einzelne Risikofaktoren beachten statt auf Scores zu setzen: Das empfiehlt ein Angiologe, wenn das Blutungsrisiko unter Antikoagulation abgeschätzt werden soll – insbesondere bei der Behandlung von älteren Patienten.
Über den aktuell bestmöglichen Umgang mit Harnwegsinfektionen diskutierten bei einem interdisziplinären Workshop eine Allgemeinmedizinerin, zwei Urologen und ein Gynäkologe. Sie beleuchteten ...
Sonderbericht
|
Mit freundlicher Unterstützung von:
Dermapharm AG, Grünwald
Fertilität ist entscheidend für die Lebensqualität jüngerer Brustkrebsüberlebender. Es gibt aber Bedenken, dass ihnen eine Schwangerschaft schaden könnte. Eine aktuelle US-Studie spricht dagegen.
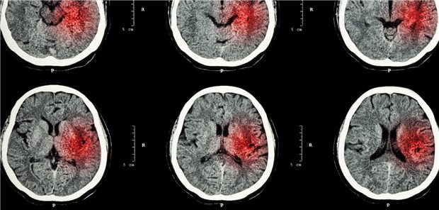
Das Risiko für Hirnblutungen nimmt unter Therapie mit Statinen nicht zu – sondern ab. Nach zehn Jahren ist es in etwa halbiert, wie eine dänische Studie ergab.
Chronische Arthroseschmerzen können durchaus auch langfristig mit einem Opioid behandelt werden. Doch bei der Therapie gilt: „start low, go slow“. Das empfiehlt ein Schmerzspezialist.