Bildgebung verzeichnet rasante Fortschritte
"Bildgebung in der Inneren Medizin" ist eines der Hauptthemen beim kommenden Internistenkongress. "Die Fortschritte auf diesem Gebiet sind in den letzten Jahren dramatisch", sagt Kongress-Präsident Professor Jürgen Schölmerich.
Veröffentlicht:
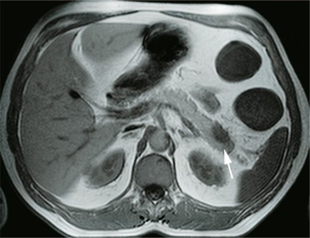
MRE: Raumforderung (Pfeil) im Pankreasschwanz eines Morbus-Crohn-Kranken. Spätere Diagnose: Pankreas-Ca.
© Foto: Herfarth et al., Innere Medizin, Uni Regensburg
WIESBADEN (eb). "Moderne Bildgebung ermöglicht dem Internisten eine immer sicherere Detektion und Charakterisierung von inneren Erkrankungen", sagt Professor Jürgen Schölmerich vom Universitätsklinikum Regensburg.
Nur ein Beispiel ist für den Vorsitzenden der Deutschen Gesellschaft für Innere Medizin (DGIM) dabei die Technik der Magnetresonanzenterographie (MRE), die MRT des Dünndarms.
Mit der MRE können pathologische Befunde nicht nur im, sondern auch außerhalb des Darms aufgedeckt werden. Das belegt etwa eine Studie mit über 1000 Patienten, die wegen chronisch entzündlicher Darmkrankheit, wegen Verdachts auf eine solche Erkrankung oder wegen unklarer abdomineller Symptome und Befunde mit MRE untersucht worden waren. In der Untersuchung wurde bei 600 Patienten insgesamt 1113 mal ein pathologischer Befund außerhalb des Darmes, etwa der von Abszessen oder eines Tumors, erhoben. "Diese Ergebnisse verdeutlichen den entscheidenden Beitrag von Schnittbildverfahren in der Untersuchung des Bauchraums", so Autor Schölmerich.
Die Magnetresonanztomographie beruht auf der elektromagnetischen Anregung von Atomkernen im Körper. Wird die Technik bei jungen Patienten angewandt, ist die hierbei eingesparte Strahlendosis nicht ohne Bedeutung. Zudem ist die MRE weniger unangenehm als die herkömmliche bildgebende Untersuchung.
Auch bei der Diagnostik von Lebererkrankungen erspart moderne Bildgebung den Patienten nicht selten sonst nötige Eingriffe, auch Biopsien. Hier ist die Elastographie, bei der der Arzt mithilfe eines speziellen Ultraschallkopfes Informationen zur Festigkeit des Gewebes bekommt, eine entscheidende Weiterentwicklung der Ultraschalldiagnostik. "Die Elastographie schließt eine Lücke in der nicht-invasiven Leberdiagnostik und erlaubt es uns, Lebererkrankungen noch präziser zu beurteilen als bisher", fasst Schölmerich eine entsprechende Studie zusammen.
Die Bildgebung in der Inneren Medizin ist eines der Hauptthemen beim 116. Internistenkongress 2010, der vom 10. bis zum 14. April kommenden Jahres in Wiesbaden stattfindet. Die dazu angebotenen Fortbildungsmöglichkeiten schließen auch praktisches Training ein, bei dem Experten die Teilnehmer an modernen Geräten in Sonographie und Echokardiographie anleiten.
Informationen zum 116. Internistenkongress, April 2010: www.dgim2010.de











