Mit dem ALL4LIVER Grant werden weltweit Projekte gefördert, die an der Eliminierung von Virushepatitis arbeiten. Erstmalig stehen auch für Projekte aus Deutschland 200.000 US-Dollar zur Verfügung.
Eine Patientin wird wegen anhaltender Verschlechterung ihres Asthmas stationär aufgenommen. Die Lungenfunktion war schon immer eingeschränkt. Sind eine bronchopulmonale Dysplasie und Anomalitäten der Atemwege im Spiel? Eine Kasuistik.
Wie es HI-Viren gelingt, in eine Zelle einzudringen und sich Zugang zum Zellkern zu verschaffen, um virale Komponenten in die DNA einzubauen, war bisher unklar. Forscher sind hier jetzt einen Schritt weiter.
10.000 Schritte am Tag: Sind die tatsächlich nötig, um die Gesamt- sowie die kardiovaskuläre Mortalität zu senken? Eine Metaanalyse ist dem jetzt auf den Grund gegangen.
Der Referentenentwurf zur Novelle der ärztlichen Approbationsordnung erhält von vielen Verbänden im Kern gute Noten. Spätestens bei der Frage der Folgekosten der Studienreform endet der Konsens.
Kognitive Verhaltenstherapie und Expositionstherapie
Das psychologische Institut in Mainz sucht Studienteilnehmerinnen und -teilnehmer: Personen, die unter chronischen Rückenschmerzen leiden können sich für freie Behandlungsplätze anmelden.
Für die Hausärztin Laura Dalhaus liegt im deutschen Gesundheitssystem einiges im Argen. Im Interview mit der Ärzte Zeitung wirbt sie für die „gute Medizin“, die am Bedarf und nicht am Markt orientiert ist.
Die Konsistenz eines Tumors kann den Verlauf einer Krebserkrankung entscheidend beeinflussen. Das belegt eine Studie, in der mit der Tomoelastographie ein neuartiges bildgebendes Verfahren angewendet wurde.
Hessen fördert PVS-Hersteller, die eine Schnittstelle aus dem PVS zum Krebsregister entwickeln, damit Ärzte es in Zukunft leichter haben, die Daten der Patienten zu übermitteln. Denn sonst drohen jetzt auch in Hessen Sanktionen.
Das feuchte Wetter begünstigt das Pilzwachstum und lockt Sammler in den Wald. In Hannover wurden sechs schwere Vergiftungen registriert; in Süddeutschland sorgt man sich um Strahlenschutz.
Im Innovationsfonds-Projekt FrühstArt sollen Familien mit übergewichtigen und adipösen kleinen Kindern gesunde Alltagsroutinen lernen. Die Rekrutierung erfolgt über die pädiatrischen Praxen.
2,6 Millionen Euro stellt die Landesregierung in Brandenburg für das Landärztestipendium zur Verfügung. In diesem und im kommenden Jahr können 18 Stipendien vergeben werden.
Ist ein schweres Asthma bronchiale auch unter Biologikatherapie unzureichend kontrolliert, wird oft ein Wechsel des Wirkprinzips nötig. Bisweilen hilft auch die Simultanbehandlung mit zwei Antikörpern.
Bei Patienten mit subsyndromalen Ängsten zeigt ein spezielles Lavendelöl eine signifikante und klinisch bedeutende anxiolytische Wirksamkeit. Das bestätigt jetzt eine Metaanalyse.
Dr. Hubert Schindler ist neuer Vorsitzender der Deutschen PalliativStiftung. Schon während seiner Zeit beim Verband der Ersatzkassen förderte er die spezialisierte ambulante Palliativversorgung.
Ärztinnen und Ärzte haben keinen Anspruch auf eine Vergütung, wenn ihre Approbation ruht, urteilt das Arbeitsgericht Berlin. Im konkreten Fall muss ein Klinikarzt, der an über 1.000 Operationen beteiligt war, die Vergütung an den Krankenhausträger zurückzahlen.
Ein möglicher Impfstoff-Kandidat gegen das Epstein-Barr-Virus (EBV) wurde erfolgreich an Mäusen getestet: Die Vakzine führte zur Bildung von Antikörpern und spezifischen T-Zellen.
Das amerikanische Rote Kreuz erlaubt nun auch Männern, die Sex mit Männern haben, das Blutspenden: Der Vorab-Fragebogen beinhaltet für alle Menschen die gleichen Fragen und soll LGBTQ-Menschen nicht mehr diskriminieren.
Die Diskussionen über eine Notfallgebühr für Bagatellfälle in der Pädiatrie reißen nicht ab. Nun fordert Dr. Frank Bergmann, Chef der KV Nordrhein, konkrete Alternativ-Vorschläge von denjenigen, die keine Gebühr wollen.
Die Inzidenz kardiovaskulärer Ereignisse ist auch bei Typ-2-Diabetikern stark rückläufig. Dafür sprechen Zahlen aus Schweden. Doch bei der Herzinsuffizienz stockt die Entwicklung. Warum?
Der PKV-Verband hat ein Informationsblatt herausgegeben, das Versicherte im Standardtarif in Arzt- und Zahnarztpraxen vorlegen können, wenn sie Probleme haben, behandelt zu werden.
Rund 458.000 Euro erhält der Weiterbildungsverbund Pädiatrie Schleswig-Holstein von der Landesregierung im Norden. Damit kann die Rotation zwischen Kliniken und Praxen ausgebaut werden.
Therapierefraktäre Epilepsien sind für die Betroffenen, Angehörigen und Behandelnden mit erheblichen psychosozialen und krankheitsassoziierten Belastungen verbunden. Der erste Altersgipfel wird im ...
Sonderbericht
|
Mit freundlicher Unterstützung von:
Jazz Pharmaceuticals Germany GmbH, München
Telemonitoring steht im zum Digital-Gesetz nicht an erster Stelle. Die DGTelemed sieht darin eine verpasste Chance für die Versorgung, wie Professor Gernot Marx und Rainer Beckers im „ÄrzteTag“-Podcast erläutern.
Als neue Vorsitzende der Schleswig-Holsteinischen Krebsgesellschaft will Dr. Katharina C. Kähler das Thema Armut und Krebs in den Mittelpunkt rücken. Mehr Zusammenarbeit mit den niedergelassenen Ärzten ist geplant.
Nach und nach werden immer mehr Krankheitsprozesse identifiziert, bei denen das Mikrobiom eine Rolle spielen könnte. Nun haben Forscher einen möglichen Zusammenhang mit Atherosklerose entdeckt.
Bei den meisten Personen kann der Blutdruck mit einer Standardmanschette gemessen werden. Nicht aber bei Personen mit besonders großem oder geringem Oberarmdurchmesser – hier droht eine Über- oder Unterdiagnose.
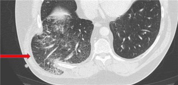
Ein stark übergewichtiger Patient mit schwerer COPD klagt nach einem heftigen Hustenanfall über massive, rechtsseitige Thoraxschmerzen und Hämoptoe. Die Computertomografie bringt des Rätsels Lösung. Ein Fallbericht.
Viele Patienten rennen unbegründet in die ohnehin heillos überfüllten Notaufnahmen – auch Eltern mit ihren Kindern, kritisiert Dr. Thomas Fischbach. Der Präsident der Kinder- und Jugendärzte bringt eine Sonder-Gebühr für Bagatellfälle ins Spiel. Das ruft Kritik hervor.
Die altersstandardisierte Rate von Krebs-Neuerkrankungen in Deutschland sinkt seit Jahren. Wie sehr, hängt aber immer stärker von der sozioökonomischen Situation ab. Eine Studie gibt Hinweise, warum.
Frankreich gilt als Vorreiter beim Hitzeschutz. Auslöser war der Hitzesommer 2003 mit vielen Opfern in der älteren Bevölkerung. Inzwischen werden die Hitzeschutzmaßnahmen sogar noch verschärft.
Deutschland wagt sich an einen Hitzeschutzplan. Vorbild ist Frankreich. Das Nachahmer-Produkt aus dem Bundesgesundheitsministerium bietet wenig Handfestes. Ein Überblick, was bisher vorgesehen ist.
Extreme Temperaturen im Nordatlantik: Da hebt selbst der abgebrühteste Brite eine Augenbraue. Eine nationale Hitzestrategie ist noch nicht in Sicht. Dabei könnten viele Arztpraxen und Kliniken eine Renovierung vertragen.
Albert Solleder gehört zu den Menschen, bei denen man sich fragt: Wie schaffen die das? Vollzeit als Chirurg arbeiten, Bürgermeister in Straubing sein – und sich noch unermüdlich um den Hitzeschutz in seiner Stadt zu sorgen.
Die Reaktion der deutschen Bundespolitik auf Hitzewellen kommt spät. Die Diskussion über den geplanten Hitzeschutzplan wird nicht einfach, denn wirksamer Schutz dürfte teuer werden.
Die HIV/Aids-Epidemie zu beenden muss keine Illusion bleiben. Dafür sollten 95 Prozent der Menschen mit HIV von ihrer Infektion wissen. Wie das funktioniert kann? Mehr auf HIV testen!
Reformen, die nicht die Bedürfnisse der Menschen beachten, schaden mehr, als sie helfen. Die Mindestmengen in der Neonatologie sind ein solches Beispiel.
Brandenburg ist von den ab 2024 geltenden höheren Mindestmengen bei der Versorgung von Frühchen besonders betroffen. Die Kliniken fürchten um die Attraktivität der Weiterbildung oder hoffen auf Ausnahmegenehmigungen.
Die Lage in Radiologenpraxen ist schlechter, als das „Bestverdiener“-Image vermuten lässt: Darauf verweist das Radiologienetz Deutschland in einem Positionspapier.
In warmem Wasser fühlen sich auch viele Pathogene wohl. Der Klimawandel dürfte daher einigen Erregern in die Karten spielen. Dazu zählen Legionellen, Vibrionen und Cyanobakterien.
Bei einem Expertentreffen anlässlich der neu aufgelegten S2e-Leitlinie „Benignes Prostatasyndrom“ wurden die Herausforderungen in der Diagnostik und Therapie des Benignen Prostatasyndroms ...
Sonderbericht
|
Mit freundlicher Unterstützung von:
Dr. Willmar Schwabe GmbH & Co. KG, Karlsruhe
Einige Kinder sind bei der Einschulung fast ein Jahr jünger als ihre Mitschüler. Eine vorzeitige, aber auch eine verspätete Einschulung kann Jahrzehnte später ernste Folgen haben, offenbart eine Studie.
Personen, die als Kinder oder Jugendliche mehreren CT-Scans erhalten hatten, waren in einer großen Studie aus Taiwan besonders gefährdet, einige Jahre später an Krebs zu erkranken.
Vergeht zwischen der Diagnose eines Mammakarzinoms und einer notwendigen Op zu viel Zeit, kann das Nachteile für das Überleben bringen. Welche Zeitspanne kritisch ist, wurde in einer Studie ermittelt.
Anhaltende Schmerzen im unteren Rücken können die Lebensqualität stark einschränken und zu Arbeitsunfähigkeit führen. In einer Studie aus Australien wurden zwei neue Therapieoptionen mit dem Standard verglichen.
Nach perkutaner koronarer Intervention (PCI) und abgeschlossener dualer Antiplättchentherapie weist Clopidogrel ein günstigeres Nutzen-Risiko-Verhältnis auf als Acetylsalicylsäure (ASS). Dies gilt vermutlich auch für Menschen mit Diabetes.
Tinnitus wird mit einer Vielzahl von Faktoren in Verbindung gebracht. Für die meisten liegen aber nicht ausreichenden Daten vor, um auf einen kausalen Zusammenhang zu schließen.
Die Verbindung Magnesium-L-Threonat scheint Gewöhnungseffekten bei längerer Opioideinnahme entgegenzuwirken und somit die analgetische Wirkung zu verbessern.
Unter hohen Temperaturen in den Sommermonaten leiden Menschen mit Asthma besonders. Laut einer englischen Studie kommt es in dieser Zeit häufiger zu Klinikaufenthalten aufgrund von Exazerbationen.