Wie lässt sich die hausärztliche Versorgung auf Amrum sicherstellen? Die drei Gemeinden Norddorf, Nebel und Wittdün wollen gemeinsam vorgehen und ein kommunales MVZ gründen.
Die nächste Bundesregierung muss sich um eine Reform der ambulanten Versorgung kümmern, findet NRW-Gesundheitsminister Karl-Josef Laumann. Dazu gehört für ihn eine bessere Patientensteuerung.
Wie wird (Gesundheits-)Politik enkeltauglich? Und was hat das Gesundheitswesen mit der Deutschen Bahn und einem quitschenden AOL-Modem zu tun? Folge 2 unserer neuen Podcast-Reihe „Kindergarten Gesundheitspolitik“ mit BVKJ-Präsident Dr. Michael Hubmann.
Oxidativer Stress ist ein Faktor bei Allergien und Entzündungen. Das gilt auch für die Atemwege und die Haut. Vitamin C kann daher ein Therapiebaustein sein, etwa bei Asthma und atopischer Dermatitis.
Nach dem Bundestagsbeschluss zur Entbudgetierung der Hausärzte hoffen die Gebietsärzte, dass ihnen in der nächsten Legislatur gleiches widerfahren wird. Die Kassen zweifeln den Nutzen des „teuren Wahlgeschenks“ an.
Kritik an Entbudgetierung aus Mecklenburg-Vorpommern
Welche Wirkung entfaltet die Entbudgetierung hausärztlicher Leistungen? Für Mecklenburg-Vorpommern erwartet vdek-Landeschefin Claudia Straub sogar Nachteile.
Chronischer Hypoparathyreoidismus ist eine seltene endokrine Erkrankung, die durch eine eingeschränkte oder fehlende Funktion der Nebenschilddrüsen gekennzeichnet ist. Der Mangel an Parathormon führt zu Hypocalciämie, Hypercalciurie und Hyperphosphatämie.
Sonderbericht
|
Mit freundlicher Unterstützung von:
Ascendis Pharma GmbH, Heidelberg
Der Bundestag hat grünes Licht für die Entbudgetierung hausärztlicher Leistungen gegeben. Neupatienten ständen die Türen zu den Praxen jetzt offen, sagt Gesundheitsminister Lauterbach.
Die Klinik für Kardiologie und internistische Intensivmedizin am Klinikum Darmstadt bekommt einen neuen Direktor, der Vorgänger vebschiedet sich nach 20 Jahren in den Ruhestand.
Die Impfraten gegen HPV liegen noch weit unter dem WHO-Ziel. Dabei schützt die Impfung vor HPV-induzierten Karzinomen, der 9-valente Impfstoff auch vor Condylomen.
Die COVID-19 Pandemie ist abgeklungen, führt aber nach wie vor zu einer stärkeren Belastung der Gesundheitssysteme als die saisonale Influenza, ergab eine dänische Untersuchung. Besonders betroffen sind zwei bestimmte Personengruppen.
Laut BARMER haben 87 Prozent der Zweijährigen im Jahr 2022 den vollständigen Masernimpfschutz erhalten – acht Prozentpunkte mehr als 2019. Gut, aber für Herdenimmunität reiche das nicht, so die Krankenkasse.
Ein Cochrane-Review bestätigt, dass Antidepressiva effektiver bei der Therapie einer generalisierten Angststörung sind als ein Placebo. Allerdings gibt es nur begrenzte Daten zur Langzeitwirkung.
Cannabidiol (CBD) könnte bei der Therapie alkoholkranker Personen helfen. In einer kleinen randomisierten Studie hatten die Teilnehmer nach CBD-Einnahme ein geringeres Verlangen nach Alkohol als die Kontrollgruppe.
Die chemotherapieinduzierte periphere Neuropathie ist als häufige Komplikation einer Krebstherapie bekannt. Eine Metaanalyse offenbart, bei welchen Tumoren, bei welchen Chemotherapeutika und in welchen Regionen die Prävalenzen am höchsten sind.
Mit den Stimmen von SPD, Grünen und FDP hat der Gesundheitsausschuss das Gesundheitsversorgungsstärkungsgesetz (GVSG) in abgespeckter Form durchgewunken. Die finale Lesung des Gesetzentwurfs ist für Donnerstag terminiert – kurz vor Mitternacht.
Künftig wird es nur noch ein verbleibendes Humaninsulin-Präparat auf dem Markt geben. Die Deutsche Gesellschaft für Allgemeinmedizin und Familienmedizin beklagt einen Versorgungsengpass – und richtet einen Appell an die Politik.
Das Muttergenesungswerk wurde am 31. Januar vor 75 Jahren gegründet - und ist seitdem vielen kurbedürftigen Eltern ein Begriff. Nur bei Migranten ist das Angebot noch nicht so verbreitet.
Mit Pflastern aus Herzmuskelzellen könnte sich eine neue Therapieoption für Patienten mit Herzinsuffizienz ergeben. Sie werden bereits am Menschen getestet – mit ersten Erfolgen.
Ein zehnjähriger Junge ist in Berlin an Diphterie gestorben, das Kind war nicht geimpft. Laut Robert Koch-Institut sind Todesfälle sehr selten, im vergangenen Jahr starb ein Mensch daran.
Auf eine Entbudgetierung der Hausärztinnen und Hausärzte hat sich die Ex-Ampel kurz vor der Bundestagswahl geeinigt. Gut so, aber nicht sauber ausformuliert im Gesetzentwurf, betont KBV-Vize Dr. Stephan Hofmeister im Interview mit der Ärzte Zeitung.
Bei der Hotline Impfen werden Ihre Impf-Fragen aus der Praxis evidenzbasiert und fachkundig beantwortet. Diesmal möchte eine Kollegin wissen, ob eine RSV-Impfung schon ab 75 Jahren zu empfehlen ist.
Seit dem 15. Januar steht Clienzo® 10 mg/g + 30 mg/g Gel auf dem deutschen Markt zur Therapie der leichten bis mittelschweren Akne vulgaris bei Jugendlichen ab 12 Jahren und Erwachsenen zur Verfügung.
Ein Großteil der ambulant tätigen Ärztinnen und Ärzte sieht laut einer Studie viel Positives in der Versorgung von Privatversicherten – von der größeren Therapiefreiheit bis zur besseren Vergütung. Die Bewertungen fallen in einzelnen Fachgruppen aber unterschiedlich aus.
Jeder Arzt kennt wohl den „Weißkitteleffekt“, der die Werte beim Blutdruckmessen in der Arztpraxis in die Höhe treibt. Ob auch ein lautes Umfeld die Messergebnisse beeinflusst, wurde im Feldversuch erprobt.
Um die Lebensqualität älterer Personen zu erhalten und zu verbessern, gibt es nun Empfehlungen für medizinisches Personal zum genauen Stufe-2-Assessment. Im Fokus stehen dabei die verschiedenen Tests.
In der Kinderklinik des Helios Klinikums Schleswig gibt es künftig eine Chefärztin und einen Chefarzt. Ziel ist unter anderem eine Kompetenzerweiterung.
Bei Frauen mit Typ-1-Diabetes wird die Aufrechterhaltung einer postpartalen Glykämie durch Änderungen der Hormone und des Lebensstils erschwert. Abhilfe schafft die automatisierte Insulinabgabe.
Eine Kombination aus Feigenkaktusextrakt und Carbonaten ist wirksam bei Reflux. Die Kombi puffert den pH-Wert und schützt die Schleimhautzellen der Speiseröhre.
Bei Schwangeren kann die Prävention der Präeklampsie möglicherweise das Risiko für schwere mütterliche Morbidität auf ein Niveau senken, das mit dem von Patientinnen mit normalem Blutdruck vergleichbar ist.
Die Therapie von Patientinnen und Patienten mit schubförmiger Multipler Sklerose (RMS)a befindet sich im Wandel. Neben den akuten Entzündungen in der Peripherie rücken zunehmend auch chronische Entzündungen, deren Ursprung im zentralen Nervensystem (ZNS) liegen, in den Fokus.
Über 292 Millionen Behandlungsfälle hat das Zentralinstitut für die Kassenärztliche Vereinigung im 1. Halbjahr 2024 registriert. Besonders zulegen konnte eine Gruppe.
Ohne Erfahrung aus der Krankenhauspraxis bleibe die Klinikreform ein theoretisches Konstrukt, kritisieren die Berufsverbände der Chirurgen, Internisten und Anästhesisten in einer gemeinsamen Erklärung.
Der Erfolg von Krebstherapien ist abhängig einerseits von der Verfügbarkeit innovativer Arzneimittel, andererseits von der Nutzung zertifizierter Krebszentren. Aber immer noch werden in Deutschland zu wenige Patienten in Zentren behandelt.
Rund 3.000 Patienten warten teils viele Monate auf einen Termin in einer der Corona-Ambulanzen des Marburger Uniklinikums. Diese Wartezeit soll sich dank eines neuen Forschungsprojekts verkürzen.
Für die meisten Jugendlichen ist ihr Smartphone ein ständiger Begleiter. Die kleinen Geräte können auch das Bewegungsverhalten aufzeichnen – damit lassen sich Anzeichen für Suizidalität wohl frühzeitig erkennen.
Mit einer Informationskampagne will der Freistaat Bayern vor allem auch in Unternehmen für einen offenen Umgang mit dem Klimakterium sensibilisieren. Das sei von wirtschaftlicher Bedeutung.
In der Geschichte der Insulin-Therapie ist immer mal wieder eine Ära zu Ende gegangen. Nun ist es wieder so weit: Bei Humaninsulin-Produkten ist zu rechnen, dass es zu Versorgungsengpässen kommen wird.
Einer Studie zufolge haben viele MS-Patienten in Deutschland einen unvollständigen Impfstatus. Ein Grund dafür, könnte die Unsicherheit der Hausärzte im Umgang mit MS-Patienten sein.
Das Kompetenzzentrum für psychiatrische Justizgutachten soll im ersten Halbjahr bei der Ärztekammer Schleswig-Holstein angesiedelt werden und der Justiz psychiatrische und psychologische Sachverständige vorschlagen.
Ernährungswissenschaftler Rudi Balling von der Medizinischen Fakultät des Universitätsklinikum Bonn ist in den Aufsichtsrat des Luxembourg Institute of Health (LIH) berufen worden.
Die koronare CT-Angiographie reduziert auch langfristig das Risiko für Tod durch KHK oder einen nicht-tödlichen Myokardinfarkt bei stabilen KHK-Patienten. In Deutschland wurde die NVL Chronische KHK bereits in 2024 angepasst.
Mehr Todesfälle durch Hitze, weniger durch Kälte. Davon geht ein Team aus, dass die Klimawandel bedingten Todesfälle in Europa für mehrere Szenarien berechnet hat. Kritiker weisen auf die Unsicherheiten der Studie hin.
Der Chirurg und Rehabilitationsmediziner Yann Fülling steigt am Klinikum Bergmannsheil in Bochum vom leitenden Oberarzt zum Chefarzt der Abteilung für BG Rehabilitation auf.
Hendrik Streeck gehörte zu den prominenten Gesichtern der Corona-Pandemie, die Ende Januar 2020 Deutschland erfasste. Im Interview blickt der Bonner Arzt und Virologe zurück – und sagt, welche Lehre er zieht.
Viel zu wenige Gichtkranke erhalten zu Beginn einer harnsäuresenkenden Therapie Colchicin. Dabei verhindert es nicht nur Gichtanfälle, sondern schützt auch Herz und Kreislauf, sagt eine Studie aus.
Wie wirksam sind Verbände, Auflagen, Cremes, Lotionen oder Öle beim Versuch, Druckgeschwüren vorzubeugen? Ein Cochrane-Review hat versucht, Licht ins Dunkel zu bringen.
Die CAR-T-Zelltherapie erzielt nach Fludarabin-basierter Lymphodepletion offenbar eine höhere Gesamtansprechrate als nach Bendamustin-basierter Lymphodepletion.
Kolorektale Karzinome stehen offenbar viel häufiger mit Übergewicht und Adipositas in Zusammenhang als bislang angenommen. Laut einer Studie des Deutschen Krebsforschungszentrums (DKFZ) könnte fast jeder vierte Fall darauf zurückgehen.
Chronische Entzündungen verkürzen das krankheitsfreie Überleben von Menschen mit Kolonkarzinom. Durch körperliche Aktivität können die Betroffenen gegensteuern, hat eine prospektive Studie ergeben.
Für viele Migräne-Patienten fehlt eine adäquate Akuttherapie. Ruth Ruscheweyh von der Kopfschmerzgesellschaft plädiert dafür, das Unbehagen gegenüber Triptanen abzulegen – und gibt Tipps für den Therapiestart.
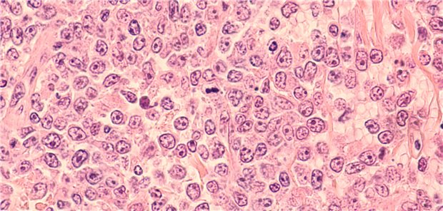
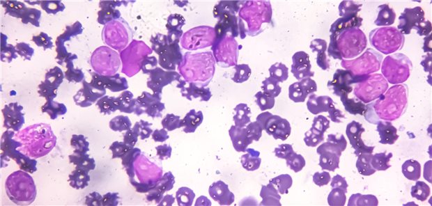
Bei der Therapie von Kindern mit akuter lymphatischer Leukämie und erhöhtem Rezidivrisiko gab es lange keinen Fortschritt mehr. Eine Chemotherapie ergänzt mit monoklonalen Antikörpern könnte eine neue Behandlungsoption sein, belegen nun Studiendaten aus den USA.
Eine Magen-Darm-Beteiligung bringt Menschen mit systemischer Sklerose nicht um. Doch Folgen daraus wie Fatigue oder Depression schränken die Lebensqualität erheblich ein. Forscher haben sich die Thematik genauer angeschaut.
Eine konstitutionelle Steifigkeit, die sich an Gelenken, Arterien und der Haut widerspiegelt, könnte ein kausales Bindeglied zwischen Rheumatoider Arthritis und Herz-Kreislauf-Erkrankungen sein. Darauf deuten Daten hin.
Wenn Schmerzen durch therapierefraktären Leberkrebs mit Analgetika und Steroiden nicht mehr ausreichend kontrolliert sind, kann die niedrigdosierte Bestrahlung der Leber in einer einzelnen Sitzung zur Schmerzlinderung beitragen.
Ergebnisse einer Metaanalyse sprechen dafür, dass eine ergänzende Lichttherapie auch Depressionen lindern kann, die nicht primär auf saisonale Ursachen zurückzuführen sind. Erkenntnistheoretisch herausfordernd bleibt das Thema dennoch.
Patienten mit akuten symptomatischen Krampfanfällen werden häufig mit Antiepileptika behandelt. Warum das so ist und welchen Nutzen es nach sich zieht, haben US-Neurologen untersucht.
Mehr als jeder vierte ambulant versorgte Patient mit Wunden ist von Juckreiz geplagt. Doch offenbar achten Ärzte darauf zu wenig. Das ist das Ergebnis einer Übersichtsarbeit, für die einschlägige Studien gesichtet wurden.
Nicht blind biopsieren, sondern eine MRT vorschalten: Diese Strategie könnte Forschern zufolge helfen, Überdiagnosen bei der Prostatakrebs-Früherkennung zu vermeiden. Therapiebedürftige Karzinome würden dennoch sicher erkannt.
Wie stark die Rezidivrate bei Frauen mit Brustkrebs im Frühstadium im Lauf der Jahre zurückgegangen ist, zeigt eine Metaanalyse mit über 151 randomisierten kontrollierten Studien.