Je länger die COVID-19-Impfung zurückliegt, desto geringer ist der Schutz, so eine US-Studie. Und eine ambulante Frühtherapie mit Remdesivir beugt Hospitalisierungen und schwereren Verläufen vor.
Wie gut ist bei Patienten mit einer Hausstaubmilben-Allergie die Adhärenz bei einer Immuntherapie? Das haben Mediziner aus Dresden in einer Studie untersucht.
Die Ampel-Koalition will Cannabis zu Genusszwecken unter bestimmten Voraussetzungen legalisieren. Bayerns Gesundheitsminister hält von den Plänen nichts und fordert ein Umdenken.
Selbstverpflichtungen haben offenbar nicht geholfen. Der neue Ernährungs- und Landwirtschaftsminister kündigt „verbindliche Reduktionsziele“ bei Zucker, Fett und Salz in Fertigprodukten an.
Allen Widrigkeiten zum Trotz hat die Corona-Impfkampagne deutlich zugelegt. Über 30 Millionen Impfdosen wurden verimpft, zumeist in den Praxen. Jetzt knöpft sich Kanzler Scholz ein neues Ziel vor.
Befunde aus vorläufigen Studien sprechen für eine reduzierte Pathogenität der Omikron-Variante von SARS-CoV-2. Definitive Aussagen sind aber noch nicht möglich und die hohe Kontagiosität bleibt ein großes Problem.
Bei welchen Indikationen können Cannabinoide sicher eingesetzt werden, wann ist der Einsatz eher fragwürdig? Schmerzmediziner Dr. Johannes Horlemann gibt in einem Gastbeitrag Antworten.
Kooperation
|
In Kooperation mit: Deutsche Gesellschaft für Schmerzmedizin
Eine Studie bestätigt: Das Myokarditis-Risiko ist nach einer SARS-CoV-2-Infektion deutlich höher als nach einer Impfung gegen COVID-19 – wobei die Ausprägung vom Alter und dem verwendeten Impfstoff abhängt.
Auf Grundlage der mRNA-Vakzin-Technik ist ein Impfstoff gegen HIV in der Entwicklung. Bei Versuchen mit Makaken konnte der Vakzinkandidat die Infektion verlangsamen.
Seit Jahren sorgt das Werbeverbot für Schwangerschaftsabbrüche für Diskussionen. Die Ampel will den umstrittenen Gesetzesparagrafen, der dieses Verbot regelt, jetzt so schnell wie möglich abschaffen.
Gegen nichtalkoholische Steatohepatitis (NASH) hilft Gewichtsreduktion. Offenbar können Betroffene deutlich von bariatrischer Chirurgie profitieren, legt eine aktuelle Studie nahe.
Die Europäische Arzneimittelagentur EMA hat die Zulassung für das Alzheimermedikament Aducanumab abgelehnt. Begründet wird dies mit einem ungünstigen Nutzen-Risiko-Profil. Neurologen sind von der Entscheidung wenig überrascht.
Schilddrüsenknoten bei Kindern operieren? Die Ultraschall-Elastographie schafft laut DEGUM rasch Klarheit und hilft, unnötige Feinnadelpunktionen und Operationen zu vermeiden.
Die Landesregierung Mecklenburg-Vorpommern schafft ein Millionenprogramm für ein pädiatrisches Weiterbildungskonzept. Dabei wird auch in andere Bundesländer geschielt, um junge Ärzte für die Region zu gewinnen.
Fettleber ist ja eine häufige Diabetes-Komplikation. Regelmäßiger Sport führt zu molekularen Anpassungen in den Mitochondrien der Leber und beugt so Fettleberkrankheiten vor.
Krankenhäuser haben immer weniger Kapazitäten für die Versorgung von Krebspatienten. Ungewollte Priorisierung führten zu einer stillen Triage, warnen Onkologen.
Mehr Evidenz für die Versorgung bei COVID-19 auch im ambulanten Bereich: Aus der hausärztlichen S1-Empfehlung ist jetzt eine S2e-Leitlinie geworden. Auch die neuen Antikörper-Therapien kommen vor.
Mehrere Professionen, ein gemeinsames Ziel: Netzverbünde sollen eine bessere Versorgung psychisch kranker Menschen sicherstellen. Einziger Haken: Die Abrechnungsmodalitäten sind noch nicht geklärt.
Bundesfamilienministerin Spiegel kündigt eine zeitnahe Gesetzgebungsinitiative zum Paragrafen 219a StGB an: Sie will das Werbeverbot für Abtreibungen streichen. Und auch §218 soll auf den Prüfstand.
Die Anatomie des Menschen hält noch Überraschungen parat: Forschende der Universität Basel haben einen bisher übersehenen Teil des Masseters entdeckt und erstmals detailliert beschrieben.
Viele Patienten setzen mit oder nach einer Krebserkrankung auf Nahrungsergänzungsmittel, so eine Umfrage im UK: Einige gehen auch fälschlicherweise davon aus, dass solche Mittel das Risiko für Rezidive senken.
Regelmäßige Yogaübungen zusätzlich zur Standardtherapie können bei Patienten mit rezidivierenden Synkopen die Zahl der Ereignisse reduzieren. Das geht aus einer kleinen randomisierten Studie hervor.
Ein großer Teil der COVID-19-Genesenen klagt auch nach sechs Monaten noch über Symptome. Bisher gibt es kaum Evidenz zu Diagnostik und Therapie einer solchen Long-COVID. Die „Gutenberg Long-COVID Studie“ will das ändern.
Fast auf den Tag genau vor einem Jahr beschloss der GBA, das Telemonitoring bei Herzinsuffizienz in den GKV-Katalog aufzunehmen. Jetzt ist auch die EBM-Abrechnung geregelt.
Den Blutdruck von Hypertonie-Patienten zu Senken gilt als Prävention für kognitiven Abbau. Bisher ging man davon aus, das treffe auch auf Senioren zu. Eine Metaanalyse kommt zu einem anderen Ergebnis.
Der Ausschuss für Humanarzneimittel (CHMP) hat Finerenon zur Zulassung für erwachsene Patienten mit chronischer Nierenerkrankung und Typ-2-Diabetes empfohlen.
Geriatrische Patienten mit Krebs brauchen besondere Aufmerksamkeit – egal bei welcher Tumorentität. Welche Assessments und Interventionen sinnvoll sind, war Thema beim AIO Herbstkongress.
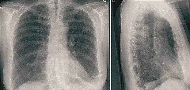
Pleuraergüsse sind häufig und können viele Gründe haben. Eine ungewöhnliche Ursache zeigen zwei Kasuistiken. Ein Einblick, wie die Ärzte vorgegangen sind, als sie Rippenschmerzen vor ein Rätsel gestellt haben.
Augenärztliches Screening auf diabetische Retinopathie findet derzeit nicht flächendeckend statt. Die Untersuchungsintervalle sollen nun flexibilisiert werden.
Patienten mit fortgeschrittenen gastrointestinalen Stromatumoren können von einer Therapie mit Ripretinib profitieren. Sie verringert das Risiko von Krankheitsprogression oder Tod.
Um bei Morbus Crohn eine Remission zu induzieren, sind nicht immer Medikamente erforderlich: In einer Studie wurde sie bei leicht bis mittelschwer Erkrankten mit einer Auslass-Diät erreicht.
Nach einer Operation wegen eines medullären Schilddrüsenkarzinoms entwickelt jeder vierte Patient einen Hypoparathyreoidismus, jeder sechste eine Rekurrensparese. Das offenbaren europäische Registerdaten.
Kommunikation mit Risikopatienten, genetische Risiken, das Gendiagnostikgesetz – das sind Themen einer neuen, kostenfreien Online-Fortbildung zu familiärem Mamma- oder Ovarialkarzinom.
Der HNO-Arzt Dr. Uso Walter hat sich dem Tinnitus verschrieben. Seit drei Jahren klärt er auf Youtube über Pfeifen, Zischen und Rauschen im Ohr auf. Jetzt sind eine App und ein Buch dazugekommen.