Mit einem „Marsch für das Leben“ in Berlin und erstmals auch in Köln haben am Samstag nach Angaben des Veranstalters insgesamt mehr als 6.000 Menschen gegen Abtreibung und aktive Sterbehilfe demonstriert.
Die Deutsche Gesellschaft für Geriatrie (DGG) hat im Rahmen ihres Kongresses in Frankfurt Professor Clemens Becker (68) für dessen Lebenswerk mit ihrem Lebenswerkpreis ausgezeichnet.
Besonders romantisch ist auf den Eisprung abgestimmter Sex nicht. Um schnell schwanger zu werden ist er einem aktuellen Cochrane Review zufolge aber vermutlich tatsächlich effektiv, wenn ein Urintest für die Vorhersage des Eisprungs verwendet wird.
Die Folgen der Klimakrise erleben viele Mediziner in Klinik und Praxis schon jetzt. Zusammen mit Fridays for Future forderten Ärztevertreter am Freitag den raschen Ausstieg aus der Nutzung fossiler Brennstoffe.
In Deutschland hat sich die Zahl der Hospitalisierungen wegen Clostridioides-difficile-Infektionen in den vergangenen zehn Jahren halbiert. Gute und weniger gute Gründe dafür sind beim Kongress Viszeralmedizin genannt worden.
Wenn die Politik Hausärzte und Apotheken wirklich stärken will, muss sie sich anders verhalten und den Worten Taten folgen lassen, findet das Aktionsbündnis Patientenversorgung in Nordrhein.
Seropositive Menschen mit rheumatoider Arthritis haben doppelt so hohes Parkinsonrisiko wie die Normalbevölkerung. Für seronegative Patienten und solche mit Biologika war das Risiko nicht erhöht.
Eindringliche Bitte an Eltern, Task-Force im Ministerium: Mit einem 5-Punkte-Plan will Gesundheitsminister Lauterbach Engpässen bei Kinderarzneien vorbeugen. Pädiater haben Zweifel, ob das reicht.
Auch Vertragsärzte können bei bestimmten Indikationen eine Hochpräzisionsbestrahlung erbringen. Die erforderlichen – und überfälligen – EBM-Positionen greifen ab Oktober.
Die veraltete S1-Behandlungsleitlinie Trigeminusneuralgie ist auf den neuesten Stand gebracht worden, berichtet die DMKG. Wegen der demografischen Entwicklung steigt die Zahl Betroffener.
Die Chemikalie Bisphenol A kommt in vielen Alltagsprodukten vor – etwa in Lebensmittelverpackungen. Laut einer Studie haben 83 Prozent der Deutschen im Körper Konzentrationen oberhalb des Grenzwertes.
Die Ärztekammern Nordrhein und Westfalen-Lippe sowie der Deutsche Rat für Wiederbelebung wollen möglichst viele Menschen mit Wiederbelegungsmaßnahmen vertraut machen.
Trotz anhaltend starker Nachfrage nach stationärer geriatrischer Reha kommen die Anbieter nicht auf ihre Kosten. Das berichtet die Deutsche Gesellschaft für Geriatrie.
Bei welcher Rheumaarznei sollte welches Analgetikum vermieden werden? Was sind relevante Wechselwirkungen? Welche Präparate sind in der Schwangerschaft geeignet? Tipps gab es beim Rheumatologie-Kongress.
Bereits eine Autoimmunerkrankung erhöht das Risiko für Infektionskrankheiten. Immunsuppressiva steigern das Risiko weiter. Umso wichtiger ist der Schutz durch Impfungen.
Die Corona-Variante BA.2.86 ist erstmals in Deutschland nachgewiesen worden. Das berichtet die Arbeitsgemeinschaft Influenza am Robert Koch-Institut in ihrem Wochenbericht von Mittwochnachmittag.
Die europäischen Leitlinien zur Herzinsuffizienz sind erneut aktualisiert worden. Das „fokussierte Update“ enthält neue Empfehlungen etwa zur chronischen Herzinsuffizienz und zu Begleiterkrankungen.
Bei Senioren mit behandeltem Bluthochdruck ist das Demenz-Risiko geringer als bei unbehandelter Hypertonie. Behandelte Hypertoniker haben laut einer Metaanalyse kein höheres Demenzrisiko als Gesunde.
In Baden-Württemberg verschlechtert sich die ambulante Versorgung in hohem Tempo. Vor allem Hausärzte fehlen. Viele Patienten dürften in den nächsten Jahren ohne Hausarzt dastehen – oder müssen lange Wege gehen.
Einen Nutzen für stark abhängige Raucherinnen und Raucher attestiert das IQWiG in seinem Vorbericht Vareniclin und Nicotin. Nachweise für andere Wirkstoffe fehlen.
Frauen, die als Kind wegen Krebs hochdosiert Doxorubicin ohne Radiatio erhielten, haben ein fast sechsfach erhöhtes Risiko, später an Brustkrebs zu erkranken. Das hat eine aktuelle Analyse ergeben.
Hochsommerliche Temperaturen sind für schwangere Frauen besonders belastend und riskant. Bleibt es über mehrere Tage heiß, steigt offenbar das Risiko später Frühgeburten deutlich.
Die dritte aktualisierte Fassung der DGS-PraxisLeitlinie „Primäre Kopfschmerzerkrankungen“ ist online veröffentlicht. Und die Neuauflagen zu Cannabis und Fibromyalgie stehen zur Konsentierung bereit.
Erstmals sind in einer experimentellen Studie die Lungen von COPD-Patienten mit körpereigenen Zellen „repariert“ worden. Typische Symptome besserten sich meist, die körperliche Belastbarkeit nahm zu.
Die Klinik Oranienburg ist die siebte Klinik im Land Brandenburg, die sich einem Modellprojekt des Landesinstitut für Rechtsmedizin zur raschen Hilfe nach Sexualstraftaten angeschlossen hat.
Eine Studie zur Therapie bei Kolorektalkarzinom mit nicht-resezierbaren Lebermetastasen spricht für längere Progressionsfreiheit unter FOLFOXIRI plus Bevacizumab und Nachteile unter Panitumumab.
Bleibt kardiales Troponin bei einer hochsensitiven Messung unter der Nachweisgrenze, ist das offenbar auch bei kürzlich aufgetretenen infarktverdächtigen Symptomen ein sicheres Ausschlusskriterium.
Jährlich sterben mehr als 300.000 Europäer an verschmutzter Luft. Die EU setzt daher auf strengere Schadstoff-Grenzwerte. Am Mittwoch stimmt das Parlament über die Richtlinie zur Luftqualität ab.
Probleme mit einem Konnektor, kurzer Ausfall bei KIM: Der Deutsche Hausärztinnen- und Hausärzteverband hat die Nase voll von technischen Störungen rund um die Telematikinfrastruktur.
Wer als Kind Lungenschäden hat, ist prädestiniert dafür, als Erwachsener eine obstruktive Lungenerkrankung wie Asthma oder COPD zu entwickeln. Mitunter werden Schäden bereits im Mutterleib gesetzt, heißt es beim ERS-Kongress.
Nach einer Station in der Schweiz ist der Internist Holger Hass zur Paracelsus Klinik Scheidegg zurückgekehrt. Er übernimmt neben dem Chefarzt-Posten noch weitere Verantwortung.
Ein Team aus Rostock will Implantate entwickeln, die wie Knochen selbst auf mechanische Reize reagieren und so umgebende Knochen zum Wachsen anregen. Ein interessantes Material wurde dazu gefunden.
Zwischen April und Juni registrierte das Statistische Bundesamt 26.700 Abruptiones in Deutschland, 4,5 Prozent mehr als im Vorjahreszeitraum. Die Zahlen steigen bereits seit Anfang 2022.
Sollen Personen mit Vorhofflimmern nach einer intrakraniellen Blutung auf orale Antikoagulanzien verzichten? Keinesfalls, sagen chinesische Forscher. Andersfalls erhöht sich das Risiko für ischämische Ereignisse.
In durchwachten Nächten kann es heiß hergehen – auch im Immunsystem. Schlafstörungen begünstigen Entzündungen und damit auch rheumatische Erkrankungen. Und die funken ihrerseits dem Schlaf dazwischen.
Die extraintestinale Manifestation einer Infektion mit Enterobius vermicularis ist eine Rarität. Weltweit gibt es sechs Berichte eines Leberbefalls mit dem Erreger. Ein Fallbericht aus Leipzig.
Ob „die Pille“ Depressionen verursachen kann, wird schon lange diskutiert. In einer großen Studie zeigen sich signifikante Assoziationen, auch eine Geschwisteranalyse spricht für einen Zusammenhang.
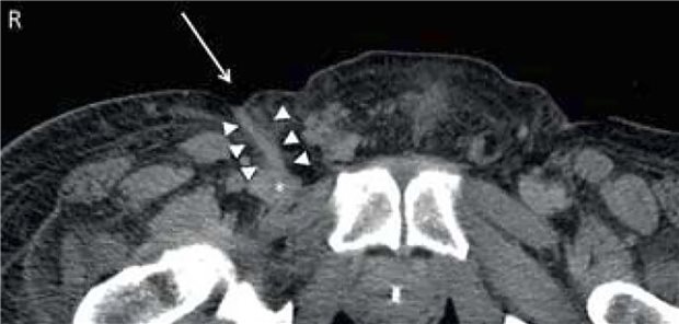
Zwei Narben in der Leistengegend – was haben sie mit Tunneln in Frankfurt zu tun? Ein Kollege vom Marburger Uniklinikum hat von diesem Befund berichtet. Die Ärzte Zeitung hat bei ihm nachgefragt, was es damit auf sich hat.
Vielen Personen mit fortgeschrittenem kleinzelligem Lungenkrebs (NSCLC) hilft eine Erstbehandlung mit Immuncheckpoint-Inhibitoren. Ob sie nach zwei Jahren besser beendet oder fortgesetzt werden sollte, wurde jetzt untersucht.
Hinter akuten Nackenschmerzen bei älteren Menschen könnte auch das Crowned-Dens-Syndrom (CDS) stecken. Es ist selten, was zu Fehldiagnosen führen kann. Ein Fallbericht zeigt, woran man es erkennt.
Das 17. HNO-Update-Seminar findet in Berlin und Mainz sowie als Livestream statt. Referiert werden Studien aus einem Jahr klinischer Forschung. Im Fokus: Konsequenzen für den klinischen Alltag.
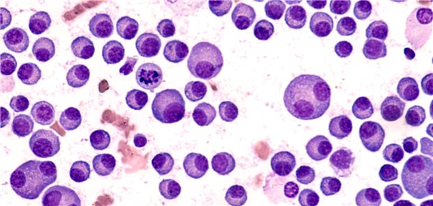
Wie sich ein verzögerter Beginn der Therapie bei akuter myeloischer Leukämie (AML) prognostisch auswirkt, hat ein US-Forschungsteam untersucht; für manche Patienten könnte sich das Warten lohnen.
Der frühzeitige Einsatz einer spezifischen CAR-T-Zelltherapie könnte sich beim therapierefraktärem multiplem Myelom lohnen. Das deuten die Ergebnisse einer randomisierten Phase-III-Studie an.
Mit der koronaren CT-Angiografie können akute Brustschmerzen genauso gut abgeklärt werden wie mit Standardchecks. Für manche Patienten verkürzt sich so auch die Dauer des Klinikaufenthalts.
Extreme Gewichtsreduktion kann den Stoffwechsel bei Typ-2-Diabetes oft normalisieren. Agonisten von Darmhormonen bieten eine wirksame Therapie, schreibt Professor Stephan Martin in der Ärzte Zeitung.
Ob die regelmäßige Einnahme von Kalziumpräparaten sich nachteilig auf das Herz-Kreislauf-Risiko auswirkt, könnte von Begleiterkrankungen abhängen. Bei Diabetes ist möglicherweise Vorsicht geboten.
Die Prävalenz des Sensitive Skin Syndrome (SSS) ist hoch und die Symptomlast oft erheblich. Um die Anzeichen und Symptome empfindlicher Haut nachhaltig zu vermindern, ist eine konsequente ...
Sonderbericht
|
Mit freundlicher Unterstützung von:
Galderma Laboratorium GmbH, Düsseldorf
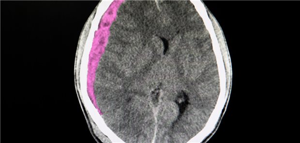
Patienten mit traumabedingter akuter subduraler Blutung bedürfen häufig der chirurgischen Entlastung. Welche Methode dabei zu bevorzugen ist, hat ein Team von Neurochirurgen analysiert.
Manche Eltern haben Bedenken, ihre Kinder Röntgenstrahlen auszusetzen. Ein mutmaßlich gebrochener Unterarm könnte einer Studie zufolge auch per Ultraschall untersucht werden, jedenfalls heilten so diagnostizierte Verletzungen genauso gut.
Die beste Behandlung der Epicondylitis lateralis ist die Nichtbehandlung. In aller Regel verschwinden die Beschwerden von allein, darüber sollte man die Patienten und Patientinnen aufklären.
Patienten und Patientinnen mit metastasiertem nichtkleinzelligem Lungenkrebs (NSCLC), die auch Diabetes haben, scheinen einer Studie zufolge schlechter auf eine Immuntherapie mit Pembrolizumab anzusprechen.
Im November findet in Berlin das nächste Radio-Onko Update statt. Anmeldungen sind sowohl für die Präsenzveranstaltung als auch für den Livestream möglich.
Die Grippeimpfung leistet einen wichtigen Beitrag zur Minderung von Gesundheitsrisiken und Kosten, die mit saisonalen Grippeausbrüchen verbunden sind. Experten warnen vor einer erhöhten Grippebelastung und betonen die Notwendigkeit einer verbesserten Impfabdeckung.
Mehrere Studien legen nahe, dass influenzaähnliche Erkrankungen eine Hauptursache für akute thrombotische Ereignisse bei Patienten mit zuvor stabiler koronarer Herzkrankheit und zerebrovaskulärer Erkrankung sein könnten.
Daten verschiedener Studien deuten auf einen möglichen Zusammenhang zwischen der Influenzaimpfung und einem verringerten Demenzrisiko hin. Diesen Sachverhalt untersuchten die Autoren mithilfe dieser Studie anhand einer großen Patientenkohorte in den USA.
Vakzine stehen für Kinder ab sechs Monaten zur Verfügung – die Impfrate ist jedoch gering. Experten fordern eine frühzeitige Grippeschutzimpfung, um nicht nur die Kinder selbst vor schweren Verläufen schützen, sondern auch dazu beizutragen, die Verbreitung innerhalb von Familien zu verhindern.
Die saisonale Influenza führt zu einer erheblichen Anzahl von Arztbesuchen und Arbeitsausfällen. Dem gegenüber stehen niedrige Quoten bei Grippeschutzimpfungen. Welche Strategien sind für einen breiteren Impfschutz epidemiologisch effektiv und dabei auch aus wirtschaftlicher Sicht sinnvoll?
Experten unterstreichen den Nutzen von Influenza-, COVID-19 und Pertussis-Impfungen für Schwangere und setzen auf Aufklärung, um Impfhindernisse aus dem Weg zu räumen. Ihre Botschaft: Mit den Impfungen schützen wir auch die kleinsten Kinder.
Durch das Delegieren von Grippeschutzimpfungen an MFAs, können Ärzte ihre Effizienz steigern und zur Verbesserung der Durchimpfungsrate beitragen. Auch chronisch Kranke, Schwangere und deren Kontaktpersonen sollen laut STIKO geimpft werden.
Chronisch Kranke, Schwangere, Kontaktpersonen – die Impfempfehlung der STIKO bietet eigentlich die Grundlage für eine breite Impfabdeckung, doch in der Realität sieht es anders aus. Über mögliche Gründe dafür und den Umgang damit im Praxisalltag wird in diesem Video-Podcast diskutiert.
Trotz des höheren Risikos für schwere Krankheitsverläufe ist nur ca. jeder Zehnte der chronisch Erkrankten von 18-59 Jahren gegen Influenza geimpft. Das liegt weit unter dem WHO-Ziel von 75 % für Risikogruppen. Um Komplikationen zu vermeiden, empfiehlt die STIKO eine jährliche Grippeimpfung.
Der Allgemeinmedizin steht eine ganze Palette von Schnelltests zur Verfügung. Doch obwohl die meisten Ärzte solche Tests für nützlich halten, werden sie nur verhalten eingesetzt. Warum ist das so?
Eine aktuelle Metaanalyse zeigt, dass Menschen mit Diabetes niedrigere Vitamin-B1-Konzentrationen im Blut aufweisen als Menschen ohne Diabetes. Durch einen erhöhten Vitamin-B1-Bedarf kann das Risiko ...