Vorsorge für den Winter: Apotheken in Bayern können bis Ende April 2024 bestimmte Antibiotikasäfte aus dem Ausland einführen. Bayern hat dazu nun die entsprechenden Allgemeinverfügungen verlängert.
Die pädiatrischen Betten am Kreiskrankenhaus in Wolgast standen fast immer leer. Das Land stellt die Förderung deshalb ein und schwenkt auf ein ambulantes Angebot um.
Enorme Gesundheitsgefahren und massive ökonomische Belastung durch Herz-Kreislauf-Erkrankungen in Zeiten von Krisen und Klimawandel erfordern konkrete EU-Strategie, so die europäischen Herzstiftungen.
Intaktes Myelin ist entscheidend für eine normale Gehirnfunktion. Forscher aus Göttingen konnten zeigen, dass altersbedingte Veränderungen des Myelins pathologische Veränderungen bei Alzheimer fördern.
Ob die laparoskopische Resektion bei lokal fortgeschrittenen distalen Magenkarzinomen auch langfristig mit den Ergebnissen der offenen Operation mithalten kann, hat eine japanische Phase-III-Studie untersucht.
Eine Fingerpolyarthose (FPA) ist kein Rheuma und rechtfertigt keine Dauerbetreuung beim Rheumatologen. Im Zweifel ist eine initiale fachärztliche Abklärung aber völlig okay.
Patientinnen und Patienten mit einer Fingerpolyarthrose sind bei der Ergotherapie nicht schlechter aufgehoben als bei der Rheumatologie. Zumindest in Norwegen scheint das so zu sein, wie aus einer beim europäischen Rheumatologie-Kongress (EULAR) vorgestellt Studie hervorgeht.
Jetzt heißt es wieder: Flug frei für Stechmücken. Im Gepäck haben sie hin und wieder Krankheitserreger wie das West-Nil-, Chikungunya-, Dengue- oder Zika-Virus, betont das Robert Koch-Institut.
Die TU Ilmenau entwickelt eine telemedizinische Lösung, mit der Insult-Patienten die Rehabilitation bei sich zu Hause durchführen können. Dabei werden Echtzeit-Elektroenzephalographie und transkranielle Elektrostimulation erstmals weltweit im häuslichen Umfeld eingesetzt.
Der Dopaminagonist Ropinirol kann möglicherweise die Progression bei amyotropher Lateralsklerose (ALS) verzögern. In einer kleinen Phase-I/IIa-Studie ergaben sich erste Hinweise auf eine verzögerte Krankheitsprogression.
Sollte die Diagnose Dengue-Fieber auch bei Patienten in Betracht gezogen werden, die nicht auf Reisen waren? Immerhin findet sich die Asiatische Tigermücke als mögliche Überträgerin inzwischen in vielen Teilen Deutschlands.
Wie häufig wird bei Männern nach einer negativen Prostatabiopsie doch noch ein Karzinom diagnostiziert? Und wie gefährlich sind solche Tumoren? Dänische Mediziner haben nachgesehen.
Auch Kinder und Jugendliche mit Narkolepsie profitieren von dem Histamin-H3-Rezeptorblocker Pitolisant. Die Narkolepsie-Symptome gehen um rund ein Viertel zurück und die Tagesschläfrigkeit nimmt deutlich ab.
Cyclophosphamid beta 500 mg/ml, 1000 mg/2 ml, 2000 mg/4 ml Konzentrat zur Herstellung einer Injektions-/Infusionslösung (Cyclophosphamid) ist wegen des Alkoholgehalts bei Kindern und Jugendlichen kontraindiziert.
Kinder haben während der Corona-Pandemie einer aktuellen Studie zufolge wesentlich zur Verbreitung des Virus in Haushalten beigetragen. Das war besonders dann der Fall, wenn keine schulfreie Zeit war.
Der Gesundheitsreport 2023 der AOK Rheinland/Hamburg zeigt Zusammenhänge zwischen dem Krankheitsrisiko für Kinder und der Situation ihrer Familien auf.
Das Universitätsklinikum Münster und das Klinikum Osnabrück bauen ihre Zusammenarbeit aus. Patientinnen und Patienten aus Niedersachsen erhalten Zugang zum Tumorzentrum der Uniklinik.
Soll ein Patient innerhalb eines Jahres wegen unterschiedlicher Indikationen operiert werden, kann die EBM-GOP 01645 ab Juli mehrfach im Krankheitsfall abgerechnet werden, berichtet die KBV.
Zum 1. Juli werden neue Leistungen zur Kryokonservierung von Ovarialgewebe in den EBM aufgenommen, meldet die KBV. Für die Abrechnung gibt es vier neue Gebührenordnungspositionen.
Die Nationale Akademie Leopoldina wirbt dafür, die Krankenhausreform dazu zu nutzen, um die „wissenschaftlich fundierte Gesundheitsversorgung“ zu stärken.
Ein aktueller Bericht, der unter Federführung des Robert Koch-Instituts entstand, gibt einen Überblick zu den gesundheitlichen Folgen durch den Klimawandel und – und den Möglichkeiten, ihnen entgegenzutreten.
Kliniken versorgten 2022 ein Drittel mehr Mädchen im Alter von 15 bis 17 Jahren mit einer Angststörung als im Vor-Pandemiejahr 2019. Das ist Ergebnis einer Sonderauswertung des DAK-Kinder- und Jugendreports.
Angesichts stagnierender Organspendezahlen in Deutschland bringt nun auch NRW-Gesundheitsminister Laumann eine neue Debatte über die Widerspruchslösung ins Spiel.
In einer parlamentarischen Anfrage erkundigt sich die Union nach dem Aktionsplan für ein barrierefreies Gesundheitswesen. Der steckt laut Regierungsantwort in einem äußerst frühen Stadium fest.
Wirtschaftstag der Metropolregion Ost Berlin-Brandenburg
Klima, Demografie und Technologie sind die wichtigsten Faktoren bei der Transformation der Gesundheitsbranche, so Michaela Evers-Wölk vom Berliner Institut für Zukunftsstudien und Technologiebewertung.
Ist eine Magnetresonanztomografie für ein ungeborenes Kind geboten, gerät naturgemäß auch die Anatomie der Mutter ins Bild. Wie häufig dabei inzidentelle Befunde zu sehen sind und wie schwer sie wiegen, hat ein Radiologenteam untersucht.
Unterstützung für Gesundheitsminister Lauterbach: In einem offenen Brief an den Bundestag setzen sich rund 60 Hamburger Abgeordnete für die Widerspruchslösung bei der Organspende ein.
Obwohl sich bei Herzinsuffizienz unter SGLT2-Hemmer-Therapie die Biomarker für einen Eisenmangel verschlechtern, hat ein renommierter Kardiologe erheblichen Zweifel am Nutzen einer i.v.-Eisentherapie.
„Ach, die hat wohl wieder ihre Tage“, hören Frauen mit Prämenstruellen Syndrom (PMS) nicht selten. Doch unter welchen Symptomen leiden die Betroffenen genau, und welche therapeutischen Optionen gibt es? Antworten auf diese und weitere Fragen hat unsere heutige Gesprächspartnerin, Dr. Dorothee Struck.
Sonderbericht
|
Mit freundlicher Unterstützung von:
Bionorica
Privatdozent Tobias Braun wechselt zum 1. Juni von Gießen nach Wetzlar. Der neue Neurologie-Chefarzt hat seine Forschungsschwerpunkte in den Bereichen Schluckstörungen und Experimentelle Schlaganfallforschung.
Vorsorgeuntersuchungen im Kopf haben, mit dem Kind in die Praxis gehen: Das übernehmen laut Umfrage eher die Mütter. Die Väter übernehmen lieber andere Aufgaben.
Ein System mit farbigen Mikrokristallen zeigt an, ob ein Medikament im korrekten Temperaturbereich gelagert wurde. Mit dieser Innovation könnten Lieferketten von Arzneien sicherer werden.
Wenn das Nagelbett eines gequetschten Kinderfingers operativ versorgt werden, muss die Nagelplatte danach womöglich nicht wieder eingesetzt werden – so eine Studie.
Anhaltende Morgensteifigkeit gilt als typisches Zeichen einer (rheumatoiden) Arthritis. Doch auch bei Arthrose ist sie ein durchaus verbreitetes Problem.
Bei Schwerverletzten mit Polytrauma kann es kontraproduktiv sein, den primären Fokus der Reanimationsmaßnahmen auf die Atemwegssicherung zu legen. Forschende aus Florida fordern ein individuelles Vorgehen.
Zahlungen ähnlich des Mutterschaftsgeldes und Verbesserungen beim Elterngeld fordert die Unionsfraktion im Bundestag für Selbstständige. Existenzgefährdende Benachteiligungen sollten beseitigt werden.
Mit Impfungen können Infektionen vermieden werden. Doch einmal geimpft reicht meist nicht aus. Sei es Pertussis oder Polio, der Impfstatus sollte nicht in Vergessenheit geraten. Denn eine nicht ausreichende Immunisierung kann Konsequenzen haben, weiß unser heutiger Experte zu berichten und findet klare Worte.
Sonderbericht
|
Mit freundlicher Unterstützung von:
Sanofi-Aventis Deutschland GmbH
Einer Registeranalyse zufolge ist das Transkarotis-Stenting (TCAR) ebenso sicher wie die Endarteriektomie, um ipsilaterale Schlaganfälle und periprozedurale vaskuläre Ereignisse zu verhindern.
Einer Studie zufolge ist die Wahrscheinlichkeit, dass erst Adipositas und dann eine oder mehr psychische Erkrankungen diagnostiziert werden, höher als umgekehrt.
Kinderorthopädische Abteilungen an Kliniken stehen unter Kostendruck. Verbesserungen erwartet die Deutsche Gesellschaft für Orthopädie und Unfallchirurgie im Zuge der Krankenhausreform.
Bei Menschen mit Diabetes gilt es, das diabetische Fußsyndrom zu vermeiden. Manche Ärztinnen und Ärzte sind unsicher, welche Befunde auffällig sind und welche Maßnahmen zweckmäßig. Wichtig ist: Der Fuß braucht Entlastung, daher ist auf die richtigen Schuhe zu achten.
Ein Antikörper, der auf drei verschiedene Schlangentoxine reagiert? Dr. Timothy Patrick Jenkins hat ihn mit seinem Team gefunden. Die Forschung erklärt er im „ÄrzteTag“-Podcast.
Die Deutsche Röntgengesellschaft würdigt die Charité-Wissenschaftlerin Dr. Lisa Christine Adams für ihre Forschung an neuen Verfahren zur bildgestützten Tumor-Charakterisierung.
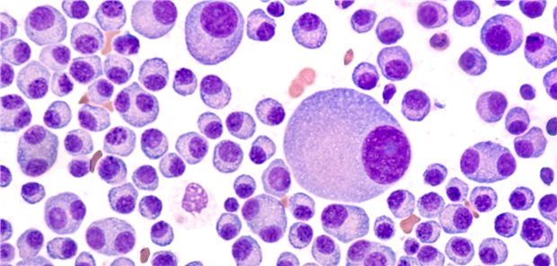
Wurden Myelomkranke bereits mit drei Wirkstoffklassen behandelt, ist eine CAR-T-Zelltherapie deutlich wirksamer als eine weitere Standardtherapie. Das zeigen Ergebnisse einer Phase-III-Studie.
Er war bekannt für kühne Hypothesen, die er entgegen allen Unkenrufen zu beweisen versuchte. Im Fall von HPV gelang ihm das. Harald zur Hausen war ein unermüdliche Kämpfer gegen den Krebs.
Die Enzyklika „Humanae vitae“ lag schon im Jahr 1968 quer zum Zeitgeist. Die Kirche lehnte Verhütungsmittel ab und sah sexuelle Vereinigung, Liebe und Fortpflanzung als eine Einheit. Nun gibt es in Rom Absetzbewegungen.
Mancherorts ranken sich um die Menstruation Mythen. Zu einem internationalen Aktionstag werden Rufe nach mehr Aufklärung, sanitären Anlagen und einem Brechen von Tabus laut.
Radiologe Dr. Julian Köpke betreibt „Fusion Imaging“ – dabei werden Röntgenbilder und Fotos zu Kunstwerken übereinandergelegt. Eine Technik, die sich auch zur Qualitätskontrolle eignet. Ein Einblick mit Fotos.
Die Regeln im Arzneimittelrecht haben wir aus guten Gründen aufgestellt. Dass wir sie wegen der Lieferengpässe aufweichen, sollte uns nachdenklich machen, meint Dr. Bernd Hontschik.
Sind E-Zigaretten und Tabakerhitzer weniger gesundheitsschädlich als Tabakzigaretten? Damit jedenfalls werben die Anbieter. Ergebnisse Industrie-unabhängiger Studien stützen die Aussage jedenfalls nicht.
Ripretinib (Qinlock®) von Deciphera ist ein Switch-Control-Kinaseinhibitor zur Behandlung von Erwachsenen mit fortgeschrittenen gastrointestinalen Stromatumoren (GIST), die mit drei oder mehr Kinasehemmern, einschließlich Imatinib, vorbehandelt sind. Ripretinib inhibiert auch mutierte Kinasen und erhöhte in der Zulassungsstudie das progressionsfreie Überleben.
Wie lassen sich Patientinnen und Patienten dazu bewegen, mit dem Rauchen aufzuhören? Tipps geben Kolleginnen und Kollegen von der Arbeitsgruppe Tabakentwöhnung der Deutschen Gesellschaft für Pneumologie und Beatmungsmedizin.
Noch immer sind bestimmte Kinderantibiotika in Deutschland nicht verfügbar. Einen Einblick in den Alltag mit Antibiotika-Engpass geben die Pädiater Dr. Thomas Fischbach und Professor Tobias Tenenbaum.
Im Einsatz energieintensiver Bildgebung existieren im internationalen Vergleich deutliche Unterschiede. Das legt den Verdacht auf Überdiagnostik nahe – mit negativen Folgen fürs Klima.
Die Therapie bei Tinnitus sollte individuell erfolgen. Ein medikamentöser Baustein kann ein Ginkgo-Extrakt sein. Eine App unterstützt die Therapie digital.
Bei Zirrhosepatienten mit Portalvenenthrombose wirkt eine Antikoagulationstherapie offenbar lebensverlängernd – unabhängig davon, ob eine Rekanalisierung erreicht wird oder nicht.
Selumetinib (Koselugo®) von Alexion ist die erste medikamentöse Therapie für Kinder und Jugendliche mit symptomatischen, inoperablen plexiformen Neurofibromen (PN) im Rahmen einer Neurofibromatose Typ 1 (NF1). Die meisten Patientinnen und Patienten profitierten mit Remission, funktionaler Besserung und/oder Schmerzreduktion.