Der mit insgesamt 17.000 Euro dotierte Dr.-Lothar-und-Martin-Beyer für besondere Forschungsprojekte in der Allgemeinmedizin geht dieses Jahr an Teams aus Greifswald, Kiel und Jena.
Immer mehr Patienten, immer komplexere Fälle, immer kritischer eingestellte Öffentlichkeit: Der Wind der Veränderung weht britischen Hausärztinnen und Hausärzten gerade heftig um die Nase.
Durch die Identifizierung und Vermehrung von Phagen, die auf Staphylococcus aureus und deren Vernichtung spezialisiert sind, gibt es einen neuen Therapieansatz bei Neurodermitis.
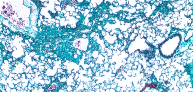
Forschende haben eine bisher unbekannte Ursache für die Entstehung der Lungenfibrose entdeckt. Ein darauf basierender neuer Therapieansatz sei vielversprechend.
Interprofessionelle Versorgung auf Augenhöhe im Primärversorgungszentrum, das ist ein Thema für die AG Soziale Gesundheit der DEGAM. Im „ÄrzteTag vor Ort“-Podcast vom DEGAM-Kongress nimmt Ove Spreckelsen aus Hamburg Stellung.
Lange Zeit galt die Hygiene-Hypothese – kurz: wenig Kontakt mit Dreck in der Kindheit, viel Allergien – als plausibel. Eine Studie an Mäusen stellt sie nun infrage. Doch was gibt das Studien-Design überhaupt her?
Die Zeit der Ein-Mann-Praxis ist vorbei. Das wurde beim DEGAM-Kongress mehrfach betont. Hoch im Kurs steht die Teampraxis. Was halten Kongressteilnehmerinnen und -teilnehmer davon? Ein „ÄrzteTag vor Ort“-Podcast.
Professor Dr. Ulrich Pecks besetzt ab Oktober die Professur „Maternale Gesundheit und Hebammenwissenschaft“ und wird die Geburtshilfe am Uniklinikum Würzburg leiten.
Die Regierungskommission für die Klinikreform empfiehlt eine stärkere sektorenübergreifende Kinder- und Jugendmedizin: Um Engpässe in der ambulanten pädiatrischen Versorgung insbesondere auf dem Land zu schließen, sollen Institutsambulanzen an Krankenhäusern aufgebaut werden.
Mit einer Social-Media-Aktion will der Verein Ärzte gegen Tierversuche am 4. Oktober auf das Schicksal von Labortieren aufmerksam machen. Tierbesitzer werden dazu aufgerufen, ihre Lieblinge zu fotografieren.
Ärzte als Eltern zu haben, kann Vorteile haben, bringt aber auch einige Schwierigkeiten mit sich. Wo Arztkinder die Fallstricke sehen, hat ein Forschungsteam der Uni Witten-Herdecke untersucht.
Bei einem Workshop des DEGAM-Kongresses 2023 zeigten Dr. Ilka Aden und Professor Martin Ohlmeier auf, was bei psychiatrischen Notfällen in der hausärztlichen Praxis zu beachten ist.
Die Vorgesetzten als Vorbild, dies wünschen sich viele junge Ärzte in Weiterbildung, sagt Dr. Fabian Dupont von der JADE. Im Interview mit der Ärzte Zeitung kritisiert er zudem, dass die Pläne zur Klinikreform die allgemeinmedizinische Weiterbildung unattraktiver machen könnten.
Die Stiftung Bayerischer Hausärzteverband unterstützt mit den Projekten „Bavarian Circle“ und „Bavarian Circle BACKSTAGE“ gezielt junge Mediziner auf dem Weg zur eigenen Praxis.
Kosten im Zusammenhang mit der Inkontinenz-Versorgung werden voraussichtlich bis zum Jahr 2030 auf 320 Milliarden Euro steigen – Zeit gegenzusteuern. Darauf drängt die Europäische Vereinigung für Urologie.
Abrechnung, Heil- und Hilfsmittel, Dermatologie – hier sehen Quereinsteiger und Quereinsteigerinnen in die Allgemeinmedizin für sich den größten Fortbildungsbedarf. Das zeigte sich beim DEGAM-Kongress.
Grenzwerte sind ein mächtiges Instrument. Doch was einerseits die Diagnose erleichtert, kann den Patienten und Patientinnen auch schaden. Das wurde bei einem Leitlinien-Update beim DEGAM-Kongress deutlich.
Aktuelle Fallzahlen und Erfahrungen aus der Praxis zeigen: Ein routinemäßiger Schutz vor RSV (Respiratorisches Synzytial-Virus) ist für alle Säuglinge wichtig, nicht nur für Risikogruppen.
Sonderbericht
|
Mit freundlicher Unterstützung von:
Sanofi-Aventis Deutschland GmbH, Frankfurt
Beim DEGAM-Kongress präsentierte Daten zum Wasserpfeifenkonsum in Deutschland machen deutlich: Der Konsum von Wasserpfeifen wird von vielen nicht als Rauchen empfunden.
Sowohl Hausärzte als auch Psychiater sehen sich als zentrale Ansprechpartner für ihre Patienten mit schweren psychischen Erkrankungen. Eine Absprache unter Kollegen gebe es selten, so ein Hausarzt beim DEGAM-Kongress.
Wie viel verdienen junge Ärztinnen und Ärzte? Das wollte die Junge Allgemeinmedizin wissen und startete eine Umfrage, an der größtenteils Ärzte in Weiterbildung teilnahmen.
CDU/CDU im Bundestag plädieren für eine Teilakademisierung bei der Reform der Physiotherapeuten-Ausbildung. Anderenfalls bleibe der Beruf jungen Menschen mit mittlerem Bildungsabschluss verwehrt.
Der DEGAM-Kongress als Diskussionsplattform zur Zukunft der hausärztlichen Medizin ist eröffnet. Bei der Eröffnungsfeier hoben die Redner vor allem die Bedeutung der Allgemeinmedizin für die Steuerung der Patienten hervor.
Personen, die eine Cannabiskonsumstörung haben, haben ein höheres relatives Risiko für kardiovaskuläre Ereignisse – im Vergleich zu Personen ohne diese Störung. Das hat ein Team aus Kanada herausgefunden.
Eine Aufmerksamkeitsdefizit-/Hyperaktivitätsstörung (ADHS) setzt sich oft im Erwachsenenalter fort. Psychische Komorbiditäten, insbesondere affektive Störungen, bekommen dann ein stärkeres Gewicht.
Politik und KV-Funktionäre haben den Beruf „Hausarzt“ sehenden Auges heruntergewirtschaftet – darin liegt die eigentliche Ursache für den Hausärzte-Mangel, schreibt Dr. Ulrich Wüllenkemper in der Ärzte Zeitung.
Der Versorgungsbericht der KV Baden-Württemberg zeichnet ein prekäres Bild der Situation bei Hausärzten. Doch ausgerechnet dort, wo Unterversorgung bereits eingetreten ist, scheint Besserung in Sicht.
Eine Impfung gegen Influenza- und Pneumokokken in der hausarztzentrierten und Regelversorgung ändert offenbar nichts an der Hospitalisierungsrate, Intensivstationsaufenthalten und Mortalität bei COVID-19. Das zeigt eine Datenauswertung, die beim DEGAM vorgestellt wurde.
Immer mehr Medizinstudierende entscheiden sich für die Allgemeinmedizin – trotzdem steuern wir auf einen Hausärztemangel zu. Was sich ändern muss, fasst Dr. Fabian Dupont von der Jungen Allgemeinmedizin im „ÄrzteTag vor Ort“-Podcast beim DEGAM-Kongress zusammen.
Wie geht eine Gesellschaft mit psychisch Kranken um? Menschen mit Depressionen werden weniger abgelehnt als Menschen mit Schizophrenie, berichtet Professor Georg Schomerus. Der Facharzt für Psychiatrie und Psychotherapie erläutert im Interview mit der Ärzte Zeitung auch, worauf Hausärzte bei psychisch kranken Patienten besonders achten sollten.
Monozyten bilden Cluster und übernehmen dann die Funktion der Kupffer-Zellen bei Leberfibrose. Das hat ein Team der Uni Calgary und der Charité mit humanen Gewebeproben und Tiermodell herausgefunden.
Was ist vom jetzt startenden DEGAM-Kongress zu erwarten? Kongresspräsident Professor Christoph Heintze spricht im „ÄrzteTag“-Podcast über die Schwerpunkte der Tagung und über Perspektiven der Allgemeinmedizin.
Die Deutsche Gesellschaft für Allgemein- und Viszeralchirurgie zeichnete Dr. Kim Honselmann beim diesjährigen Kongress in Hamburg für ihre Forschung aus.
Mangel an Kinderärzten und Fachpersonal ist der Hauptgrund für die Schließung in Saarlouis. Laut Bedarfsplanung gibt es allerdings sogar eine Überversorgung.
Bei einem Medizinseminar für Studierende fällt im Ultraschall ein Schilddrüsenknoten auf. Folgeuntersuchungen führen schließlich zur Diagnose. Was es auf dem Weg dorthin zu beachten gilt, erfahren Sie im ersten Fall der Serie zum Thema Schilddrüse.
Sonderbericht
|
Mit freundlicher Unterstützung von:
Sanofi-Aventis Deutschland GmbH, Frankfurt a. M.
Chronische Entzündungskrankheiten und Tumorimmunologie – das sind die Forschungsschwerpunkte der beiden Preisträger der Deutschen Gesellschaft für Immunologie.
Statt Versorgung immer mehr zu zersplittern, geht es darum, Patienten an die Stellen zu bringen, wo sie optimal betreut werden. Dafür muss die Rolle der Hausärztinnen und Hausärzte gestärkt werden.
Frauen werden weltweit bei Krebsprävention, -diagnose und -therapie benachteiligt, findet die „Lancet Kommission Frauen, Macht und Krebs“ – und fordert konkrete Gegenmaßnahmen.
Trotz aller Fortschritte in der Behandlung bei Asthma und COPD bleibt ein bislang ungelöstes Alltagsproblem: die schlechte Therapieadhärenz. Ein Pulmologe macht drei Verbesserungsvorschläge.
Kaum gewählt, stellt sich die Doppelspitze des Deutschen Hausärztinnen- und Hausärzteverbands den Fragen im „ÄrzteTag“-Podcast. Professorin Nicola Buhlinger-Göpfarth und Dr. Markus Beier sprechen mit uns über Ziele des Verbands und Konflikte auf dem Weg.
Wie geht es Frauen psychisch, die seit über einem halben Jahr die Pille nehmen, in der monatlichen Pillenpause? Das hat ein Forschungsteam aus Österreich untersucht.
Laut der Studie „Zukunft Gesundheit 2023“ leiden 83 Prozent der Befragten körperlich unter den zunehmenden Extremwetterlagen, für 79 Prozent wirkt sich die Sorge um die Zukunft auf ihre Seele aus.
Im Streit um höhere Mindestmengen für Perinatalzentren setzt sich nun auch der Petitionsausschuss des Bundestags für eine flächendeckende Frühchen-Versorgung ein – und fordert Einvernehmen mit den Ländern.
Trotz anderslautender Empfehlung wird bei milder steininduzierter Pankreatitis die Gallenblase oft nicht während des initialen Krankenhausaufenthaltes entfernt. Dabei bringt die frühe Operation Vorteile.
Das Hepatitis-Screening ab 35 Jahren ist eine große Chance, viele bisher unentdeckte Infizierte zu finden, sagt der Gastroenterologe Dietrich Hüppe. Dem Allgemeinmediziner Günther Egidi ist der Nutzen eines solchen Screenings aber nicht ausreichend belegt.
Studien zu Long-COVID seien oft methodisch schwach und würden die Bevölkerung verunsichern: Das kritisiert eine Gruppe von Epidemiologen. Deutsche Mediziner stimmen zu – zum Teil.
Viele Eltern haben gehofft, die psychische Belastung ihrer Kinder würde sich nach der Hochphase der COVID-Pandemie wieder etwas entspannen. Aktuelle Zahlen der KKH bestätigen das nicht.
Was wird aus dem Projekt der Koalition zur Ambulantisierung operativer Leistungen? SpiFa-Vize Dr. Helmut Weinhart gibt im „ÄrzteTag“-Podcast Auskunft über den aktuellen Stand und die Ambitionen der operativen Fächer.
Professor Ralf Bartenschlager vom Heidelberger Universitätsklinikum bekommt einen Preis für translationale Infektionsforschung. Die Auszeichnung wird vom Deutschen Zentrum für Infektionsforschung vergeben.
Die Gießener Lungenforschung bekommt einen für sie wichtigen Neubau: Für 35 Millionen Euro entsteht in der Universitätsstadt das Institut für Lungengesundheit (Institute for Lung Health).
Sanktionen wegen zu geringen Personaleinsatzes in den Psychiatrien und Psychosomatischen Krankenhäusern sollen auf den Prüfstand, kündigt der Minister bei der Aktion Psychisch Kranke (APK) an.
Ein 15 Jahre altes Mädchen stellt sich mit Bauchschmerzen und einer Raumforderung am rechten Eierstock vor. Was zunächst wie eine Zyste aussieht, entpuppt sich später als seltener Tumor.
Reinhard Berner hat von der Stiftung Kindergesundheit den Meinhard von Pfaundler Preis für Pädiatrische Prävention erhalten. Gewürdigt wird damit sein Engagement für die Interessen von Kindern.
Im Jahr 2022 registrierte das Deutsche IVF-Register rund 128.000 Kinderwunschbehandlungen. Ein Blick in die Statistik zeigt: Ab einem Alter von 41 sinken die Geburtenraten massiv ab.
In Rheinland-Pfalz gibt es eigentlich genug Kinderärzte, nur nicht immer dort, wo sie dringend benötigt werden. Daher plant die Landesregierung, eine Quote für Pädiater auf dem Land einzuführen.
Die Umsetzung der Landarztquote in Baden-Württemberg klappt gut, resümiert die Landesregierung. Dennoch können einzelne Studienplätze nicht vergeben werden.
Eltern von Kindern, die nicht gegen Masern geimpft sind, müssen mit einem Zwangsgeld rechnen. Der Aufbau einer Herdenimmunität sei wichtig, lautet die Begründung des Verwaltungsgerichts.
Kliniken und Praxen sollen Patienten mit Gefäßerkrankungen vor steigenden Temperaturen schützen, so die Gesellschaft der Gefäßmediziner. Auch die Bundesregierung nimmt vulnerable Gruppen in den Blick.
Trotz der Kritik von Onkologen bietet der Versicherer HanseMerkur weiter ein Produkt an, das einen Bluttest zur Krebsfrüherkennung beinhaltet. Tchibo ist aus dem Vertrieb ausgestiegen.
Einem 58-Jährigen mit lebensbedrohender Herzkrankheit wurde in den USA ein Schweineherz transplantiert. Dies ist die zweite Operation dieser Art jemals.
Im Herbst und Winter muss mit mehr Erkältungskrankheiten gerechnet werden. Die Kinderarzneimittel sollen nicht noch einmal knapp werden. Dazu beraten sich die Länder am Montag.
Die Delegierten haben in Berlin ein umfangreiches Antragspaket zur Digitalisierung beschlossen. So fordern sie, in Entscheidungen mit einbezogen zu werden. Und bitte kein unbegrenzter Telemedizin-Anteil an den Leistungen!
In einer deutschen Studie fanden sich keine überzeugenden Belege dafür, wonach das Auftreten von Hodenkrebs einem jahreszeitlichen Muster folgen könnte. Frühere Untersuchungen hatten das nahegelegt.
Eine Metaanalyse bestätigt: Es gibt aktuell keinen belastbaren wissenschaftlichen Beleg dafür, dass Säuglinge mit Dreimonatskoliken von alternativmedizinischen Maßnahmen profitieren.
Ganz klar: Hörgeräte und Brillen gehören nicht in die Schublade, sondern ins Ohr und auf die Nase. Gerade bei Menschen mit Demenzrisiko. Denn eingeschränkte Sinneswahrnehmungen und kognitiver Abbau gehen Hand in Hand.
Bei Vorhofflimmern eine Ruhe-Herzfrequenz unter 110 bpm mit frequenzregulierenden Medikamenten anzustreben, ist wohl suboptimal. Einer dänischen Studie zufolge sollte die Zielvorgabe niedriger sein.
Biologika sind potente Mittel in der Therapie von Patienten mit mäßiger bis schwerer Psoriasis. Doch bei manchen schlagen sie einfach nicht an. Wer davon betroffen ist, haben Dermatologen untersucht.
Mit welchen kurz- und langfristigen Nebenwirkungen müssen Melanompatienten und -patientinnen, die mit Immun-Checkpoint-Inhibitoren behandelt werden, rechnen?
Wenn Gallensteine eine Chlolezystektomie erforderlich machen, sollte vermehrt auf Nierenzellkarzinome geachtet werden. Das gilt insbesondere bei einer Op in jüngeren Jahren.
Kinder mit Diskriminierungserfahrungen haben ein erhöhtes Risiko für eine spätere Gewichtszunahme, legt eine Studie nahe. Das scheint auch unabhängig vom sozioökonomischen Status zuzutreffen.
Bei chronischen Schmerzen stehen immer wieder psychedelische Drogen als alternative oder ergänzende Behandlungsmethoden im Fokus. Aus einer Studie geht hervor, dass sie von Nutzen sein könnten.
Das Spektrum der therapeutischen Optionen des inoperablen, nichtkleinzelligen Lungenkarzinoms (NSCLC) im Stadium III hat sich in den letzten Jahren erheblich erweitert. Sofern eine PD-L1-Expression ...
Sonderbericht
|
Mit freundlicher Unterstützung von:
AstraZeneca GmbH, Hamburg
Auf die häufigsten Fragen zu fünf verschiedenen Krebsentitäten geben die Algorithmen der sogenannten Künstlichen Intelligenz zwar meist korrekte Antworten. An anderer Stelle hapert es aber.
Adipöse Patienten scheinen nach der Anlage eines Magenbypass eher auf eine Remission ihres Diabetes hoffen zu können als nach einer Schlauchmagen-Konstruktion. Das legen Ergebnisse einer Studie nahe.