Im Streit um die Zusatzbezeichnung für Homöopathie in der Weiterbildungsordnung (WBO) in Baden-Württemberg hat Gesundheitsminister Manne Lucha eine rein formale Prüfung versprochen.
Gute Palliativversorgung statt Einführung von Sterbehilfe: Die französischen katholischen Bischöfe haben sich in die Debatte um eine Gesetzesinitiative in Frankreich eingeschaltet.
In Ilvesheim bei Mannheim ist jetzt das erste Tageshospiz in Baden-Württemberg eröffnet worden. Es ermöglicht eine intensive Betreuung Sterbenskranker. Diese können aber weiterhin zu Hause leben.
Die operative Durchtrennung der Samenleiter zur Sterilisation des Mannes beeinträchtigt nicht deren sexuelle Funktion. Das Gegenteil scheint der Fall zu sein, wie aus einer bayrischen Erhebung hervorgeht.
Ein unerfüllter Kinderwunsch von Paaren kann unter anderem mit einer asymptomatischen Bakteriospermie des Mannes zusammenhängen. Das hat ein Urologie-Team aus München herausgefunden.
Seit einer Gesetzesänderung 2019 ist umstritten, inwieweit Eigenbluttherapien einem Arztvorbehalt unterliegen. Nun hat das Verwaltungsgericht München Heilpraktikern neue Chancen eröffnet.
Markus Beier ist jetzt Bundesvorsitzender des Hausärzteverbands. Er tritt in große Fußstapfen. Politisch zeigt er einen langen Atem – er wählt dabei häufig aber eher die leisen Töne.
Das Risiko, einen Typ-1-Diabetes zu entwickeln, scheint für Kinder nach einer SARS-CoV-2-Infektion höher zu sein, als nach einer anderen Atemwegsinfektion. Zu diesem Ergebnis kommt eine US-Studie.
Der GIP/GLP-1-Rezeptor-Agonist Tirzepatid ist zur Therapie bei Typ-2-Diabetes in Europa zugelassen worden. Nach Studiendaten lassen sich damit Gewicht und HbA1c in beeindruckender Weise reduzieren.
Nach der ersten Lesung: Lauterbachs GKV-Finanzstabilisierungsgesetz wird von der Opposition abgelehnt und sorgt für Redebedarf in den Ampel-Fraktionen.
Die langfristige antiandrogene Behandlung bei Männern mit metastasiertem Prostatakrebs kann sich ungünstig auf die Kognition auswirken, hieß es beim Urologiekongress.
Die Lebensqualität von dauerkatheterisierten Patienten ist gar nicht so schlecht, wie vielfach angenommen. Das war eines von weiteren überraschenden Ergebnissen einer Studie.
Der Radioonkologe Nils Nicolay tritt die Nachfolge von Rolf-Dieter Kortmann an, der nach 18 Jahren in den Ruhestand gegangen ist. Zuletzt forschte er am Deutschen Krebsforschungszentrum in Heidelberg.
Der Mannheimer Maurice Stephan Michel wurde beim Kongress der Deutschen Gesellschaft für Urologie von den Mitgliedern im Amt bestätigt. Damit tritt er seine dritte Amtszeit an.
Nach wie vor steht eine Reform der Notfallversorgung aus. Neue Daten aus Leipzig könnten die Debatte befeuern – je nachdem, wie sie interpretiert werden.
Wird eine Sehschwäche bei Kindern nicht früh erkannt und konsequent therapiert, hat das lebenslang Konsequenzen. Worauf zu achten ist, ist beim DOG-Kongress zu erfahren.
Das Krankenhaus in Neubrandenburg kam im vergangenen Jahr nur noch auf sieben Fälle von Frühchen unter 1250 Gramm. Solche Entbindungen sollen nur noch in Greifswald, Schwerin und Rostock möglich sein.
Viele kennen Tilapia als Fischfilet aus der Kantine, doch künftig könnten die Buntbarsche als Quelle zum Hornhautersatz dienen – und Menschen mit trüber Kornea zu klarer Sicht verhelfen.
Der Hodentumor wird inzwischen Stadien-gerecht standardisiert behandelt. Entsprechend gibt es differenzierte Empfehlungen für die Nachsorge. Leider wird letzteres in der Realität bislang unzureichend umgesetzt.
Kritik begleitet die Kinder- und Jugendklinik in Rostock seit über einem Jahr – jetzt wehrt sich die Klinik: Die Fluktuation bei den ärztlichen Stellen sei üblich.
Eine Studie aus Kanada stärkt die Vermutung, dass autoimmune Prozesse zur Entstehung von Long-COVID beitragen. Die Autoren stellen die Frage, ob diese Patienten von den falschen Ärzten betreut werden.
War es die Corona-Pandemie mit ihren Einschränkungen und Lockdowns? Die KKH Kaufmännische Krankenkasse hat ermittelt, dass heute mehr Kinder und Jugendliche mit Sprachstörungen zu kämpfen haben als vor zehn Jahren.
Auch wenn gesundes Prostatagewebe von Männern mit Prostatakrebs unter dem Mikroskop normal imponiert, fördert dieses Gewebe doch das Wachstum von Krebszellen, berichten britische Onkologen.
Mit welchem Antidiabetikum als add-on zu Metformin lassen sich Blutzuckerziele bei Typ-2-Diabetes am ehesten erreichen? Eine von den US-National Institutes of Health geförderte Studie gibt Antworten.
Der Deutsche Ethikrat ermahnt die Politik, eine umfassende Suizidprävention aufzubauen. Auch betont er die große Rolle, die Ärzten und Psychotherapeuten dabei zukommt.
Eine Studie zeigt: Das Protein ß-Synuclein lässt sich im Blut von Alzheimer-Betroffenen nachweisen. Damit könnte es die Biomarker-Palette zur frühzeitigen Diagnose von Alzheimer ergänzen.
Krebspatienten sind mehrheitlich bereit, ihre klinischen Daten für Forschungszwecke zur Verfügung zu stellen. Das zeigt eine aktuelle Studie aus Heidelberg.
Neues ambulantes Therapieangebot ab Januar 2023: Mit dem Projekt PAIN 2.0 soll eine Chronifizierung bei Patienten mit wiederkehrenden Schmerzen verhindert werden, so die Deutsche Schmerzgesellschaft.
Eine neue – noch nicht zugelassene – Option zur Behandlung von fortgeschrittenen Prostatakarzinomen kombiniert Diagnostik und Therapie basierend auf einem soll die Krebszellen gezielt abtöten.
Im Nationalsozialismus wurden tausende Ärztinnen und Ärzte aus ihren Sprechzimmern vertrieben. Jüdische Kolleginnen und Kollegen durften nicht mehr praktizieren. Über die Erinnerung an eine Zeit, in der Kollegen zu Tätern und Opfern wurden.
Als erste große Krankenkasse Deutschlands arbeitet die BARMER nach eigenen Angaben nun klimaneutral. Sie will nicht nur Vorbild für weitere Kassen sein, sondern für das gesamte Gesundheitswesen.
Der Mainzer Professor Bernd Moosmann und sein Team sind für eine Neuanalyse der bisherigen Alzheimer-Forschung mit dem silbernen Oskar-Fischer-Preis ausgezeichnet worden.
Eine eigene elektronische Patientenakte und 400 Praxen in Baden-Württemberg sowie NRW sind die Zutaten für ein erhofftes Erfolgsrezept zur optimierten Versorgung von Diabetikern mit Parodontitis.
Hausärzte nehmen eine Schlüsselrolle im geplanten Hitzeaktionsplan von Brandenburg ein: Sie sollen Menschen, die zu Hause gepflegt werden, vor drohender Hitze warnen und auch die Medikation den Temperaturen entsprechend anpassen.
Die Hinweise mehren sich, dass chronische Neuroinflammation und Immundysregulation im Gehirn bedeutsam für die Pathogenese von Demenz sind. Allergien könnten dabei ebenfalls von Belang sein.
Der neue Hausärzte-Chef Dr. Markus Beier erwartet mehr Unterstützung von der Politik, um die Corona-Impfkampagne wiederzubeleben – und eine verlässliche Lieferung des Impfstoffs.
In Hessen, Rheinland-Pfalz und dem Saarland gab es in diesem Jahr bisher nur 67 postmortale Organspender, meldet die Deutsche Stiftung Organtransplantation (DSO).
Ergebnisse einer randomisierten Studie bestätigen einmal mehr, dass ein erhöhter Blutdruck durch die Renale Denervation signifikant stärker gesenkt wird als durch eine Scheinintervention.
In Uganda ist nach Angaben des Gesundheitsministeriums mindestens ein Mensch an Ebola gestorben. Nachgewiesen wurde das relativ seltene Sudan-Ebolavirus.
Unterfinanziert, fragmentiert, defizitär: Die Stiftung Kindergesundheit macht bei der Versorgung junger Menschen in Deutschland zahlreiche Mängel aus – und mahnt grundsätzliche Reformen im System an.
Kinder, die wegen einer Influenza stationär behandelt werden, profitieren von einer frühzeitigen Therapie mit Oseltamivir. Sie können früher wieder nach Hause als Kinder ohne eine solche Behandlung.
Deutschland verzeichnet seit Jahresbeginn eine sinkende Geburtenziffer und vollzieht damit eine Entwicklung nach, die in anderen Ländern schon zu Beginn der Pandemie beobachtet wurde.
Zwei Immunologen erhalten den PELD-Preis 2023 für die Entdeckung von Molekülen und Mechanismen, die das Immunsystem befähigen, Milliarden verschiedener Antigene schon beim ersten Kontakt zu erkennen.
Chronisch-entzündliche Darmerkrankungen (CED) gehen mit einem erhöhten Risiko für Psoriasis einher. Das hat eine Studie an der Uni Augsburg ergeben. An Ärzte wird appelliert, bei CED auf Schuppenflechte zu achten.
Am Beratungstelefon der Deutschen Alzheimer Gesellschaft zeigen sich die Probleme von Demenzkranken und deren Angehörigen in ihrer ganzen Vielfalt. Oftmals geht es um den Arztbesuch.
Das DEGAM-Projekt „Das leere Sprechzimmer“ sorgt für Reflexion. Ein Teilprojekt fokussiert auf die Frage, wie man sich selbst in der NS-Zeit verhalten hätte.
Kopf- und Halskrebs ist gar nicht so selten und wird meist erst in fortgeschrittenen Stadien diagnostiziert. Die gerade gestartete Make-Sense-Kampagne hat die Früherkennung im Fokus.
Demenz ist ein Thema für ältere Menschen, denken viele. Doch mehr als 100.000 der aktuell an Demenz erkrankten Bundesbürger sind noch keine 65 Jahre alt. Dabei zeigt sich: Demenz in jungen Jahren wirft spezielle Probleme auf.
Die Spahn-Studie zu Schwangerschaftsabbrüchen läuft – aber ganz anders als gedacht. Sie könnte endlich ein umfassendes Bild über die Versorgungslage ungewollt Schwangerer zeichnen.
Hier ein TV-Spot, dort ein hipper Clip auf YouTube oder Instagram: Auf Kinder prasselt täglich Werbung für Ungesundes ein. Pädiater und Verbraucherschützer rufen nach einer gesetzlichen Regulierung.
Einfache chirurgische Verfahren verbessern die Heilung diabetischer Fußulzera und senken das Amputationsrisiko. Entsprechende Studienergebnisse wurden beim EASD-Kongress vorgestellt.
An der Universitätsmedizin Mainz soll digitale Pionierarbeit für die moderne onkologische Versorgung geleistet werden. Das Projekt „KI-unterstützte Therapiebegleitung von Tumorpatienten am Beispiel der Urologie“ (KITTU) wird vom Bundesforschungsministerium gefördert.
Die Alterung der Gesellschaft ist nicht zu übersehen. Der Bundesverband Geriatrie versucht sich an einer strategischen Antwort der Versorgung. Die könnte Hausärzten die Arbeit erleichtern.
Das Telemedizinzentrum Hamm bietet einen neuen Begleitdienst für Patientinnen und Patienten mit Demenz. Die Online-Therapie soll dem schnellen Abbau kognitiver Fähigkeiten entgegenwirken.
Die Europäische Kommission hat Vabysmo® (Faricimab) zugelassen, und zwar zur Therapie bei neovaskulärer oder feuchter altersbedingter Makuladegeneration (nAMD) oder auch bei diabetischem Makulaödem.
In einem Parforce-Ritt zum Ende des Hausärztetages haben die Delegierten einige Duftmarken in Sachen Digitalisierung gesetzt. Dabei ging es unter anderem um Autonomie, aber auch um Praxistauglichkeit.
Wer Menschen mit chronischen Wunden behandelt, darf sich nicht von der Vielfalt verfügbarer Wundauflagen verwirren lassen. Beim DEGAM-Kongress wurde klar: Es reicht, die Grundprinzipien zu verstehen.
Kinderchirurgen sind oft die ersten, die Kindesmissbrauch aufdecken. Sie warnen: Die spezielle Versorgung betroffener Kinder sei ohne Aufnahme in die Regelfinanzierung gefährdet.
In Alt Rehse kamen während der Nazizeit Kollegen und Kolleginnen zusammen. Auch heute treffen sich dort Ärztinnen und Ärzte und Studierende. Sie wollen die Erinnerung aufrecht halten.
Sie wollen erinnern an die Verbrechen in der Nazizeit: Hausärztin Sandra Blumenthal und Kollege Thomas Maibaum wünschen sich eine Reflexion mit der Gegenwart – damit die Sprechzimmer offenbleiben.
Das endlose Untersuchungskarussell, auf dem Patienten mit Fibromyalgiesyndrom oft Jahre ihre Runden drehen, verdient, dass man ihm den Stecker zieht. Im Interview erläutert Schmerzmediziner Dr. Überall, wie sich die Diagnose in zehn Minuten stellen lässt.
Kooperation
|
In Kooperation mit: Deutsche Gesellschaft für Schmerzmedizin e. V.
Mit systematischer Modulation der Erwartungshaltung lassen sich die Wirksamkeit von Behandlungen steigern und deren Verträglichkeit und die Therapieadhärenz verbessern, ist Professorin Ulrike Bingel überzeugt.
Es ist die Macht der Erwartung, die hinter dem Placebo-Effekt steckt. Professorin Ulrike Bingel spricht sich dafür aus, solche Wirkungen endlich zu nutzen – zusätzlich zur spezifischen Therapie.
In einer Studie mit fast fünf Millionen US-Veteranen war das Suizidrisiko von Personen mit einer Krebsdiagnose verdoppelt bis versechsfacht – im Vergleich zu Personen ohne Krebsdiagnose.
Als „Saboteure der Sozialversicherung“ wurden jüdische Ärzte im Dritten Reich verunglimpft: Nur sehr bedingt durften sie praktizieren und wurden drangsaliert. Über eine Zeit, in der Kollegen zu Tätern und Opfern wurden – und wie das „leere Sprechzimmer“ erinnert.
Professorin Margit Fisch setzt auf maßgeschneiderte Therapien – auch für ihre Patientinnen und Patienten, die einen rekonstruktiven urologischen Eingriff brauchen.
Nur wegen ihrer Lage haben die Nebenschilddrüsen ihren Namen bekommen. An erhöhten Kalziumspiegeln sind diese kleinen Organe oft unschuldig. Wann welche Diagnostik und Bildgebung erfolgt, wird in diesem Podcast thematisiert.
Sonderbericht
|
Mit freundlicher Unterstützung von:
Sanofi-Aventis Deutschland GmbH, Frankfurt am Main
Ältere Patient*innen (≥75 Jahre) mit nicht-valvulärem Vorhofflimmern (VHFa) haben ein erhöhtes Risiko sowohl für thromboembolische Ereignisse als auch für Blutungen. Eine Analyse aus den vier ...
Sonderbericht
|
Mit freundlicher Unterstützung von:
Pfizer Pharma GmbH, Berlin
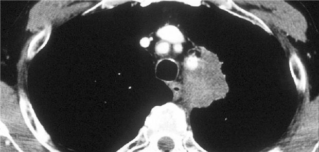
Kontrolluntersuchungen nach Entfernung nicht-kleinzelliger Bronchialkarzinome (NSCLC) verbessern das Überleben – Kommt es auch auf die Art der Nachsorge an?
Rückenschmerzen sind meist muskulär bedingt. Dann können Muskelrelaxantien den Muskeltonus normalisieren. Die Bildgebung ist nur bei „red flags“ sinnvoll.