Weil die Politik den „Masterplan Medizinstudium 2020“ erneut auf die lange Bank zu schieben scheint, wendet sich der Hausärzteverband in einer konzertierten Aktion an die Ministerpräsidenten.
Eine britische Langzeitstudie liefert jetzt den Beweis dafür, warum Männer mit neu diagnostiziertem, lokal begrenztem Prostatakarzinom eher zurückhaltend behandelt werden sollten.
Wer mit Kindern reist, braucht vor allem eine gute Planung und Logistik. Tipps dazu, wie auch zu Impfungen, Reiseapotheke und Sonnenschutz, gab es beim 24. Forum des Centrums für Reisemedizin.
In Deutschland sind etwa 25.000 bis 50.000 Personen von Acne inversa (Hidradenitis suppurativa) betroffen. Secukinumab könnte hier zu einer neuen Therapieoption werden.
Corona ist mehr oder weniger Geschichte, die Reiselust ist zurück. Wie aber steht es insgesamt um die weltweite Seuchenlage? Was gibt es Neues bei den Reiseimpfungen? Diese Fragen hat das Forum für Reisemedizin beantwortet.
Frauen mit axialer Spondyloarthritis müssen heute offenbar weniger Schwangerschaftskomplikationen befürchten als noch vor einigen Jahren. Insbesondere das Risiko für Frühgeburt und frühkindliche Infektionen ist deutlich gesunken.
Lauterbachs „Turbo-Schub“ für die elektronische Patientenakte wird kontrovers diskutiert. Die Psychotherapeuten wollen eingebunden werden. Ein IT-Verband verweist auf mögliche Widersprüche.
Mit ein paar einfachen Maßnahmen lässt sich das Sturz-Risiko für Ältere, die zu Hause leben, senken. Ein Forscherteam hat analysiert, wie die meisten Stürze vermieden werden können.
In einem Review wurde die perkutane Cholezystostomie mit späterer Op mit der sofortigen laparoskopischen Cholezystektomie bei Patienten mit akuter Cholezystitis und erhöhtem perioperativen Risiko verglichen.
Die Professorin Eva Winkler wurde zur neuen Vorsitzenden der Ethik-Kommission bei der Bundesärztekammer gewählt. Die Onkologin leitet das Institut für Translationale Medizinethik an der Uni Heidelberg.
Etwa jede zweite Abruptio in den USA wird mit Medikamenten eingeleitet. Seit dem Abtreibungsurteil des Obersten Gerichts wird erbittert um den Zugang zu den Präparaten gekämpft. Die Apothekenketten sind überfordert.
Arbeitslose werdende Mütter, die wegen ihrer Schwangerschaft keiner körperlich anstrengenden Arbeit nachgehen wollen, haben keinen Anspruch auf ein höheres Elterngeld.
721 Anträge wegen vermuteter Behandlungsfehler gingen im vergangenen Jahr in Hessens Ärztekammer ein. Die meisten Vorwürfe betrafen die Orthopädie/Unfallchirurgie. Auch die Techniker legt Zahlen vor.
Bei Warnhinweisen auf psychische Erkrankungen wie Rückzug oder Wesensveränderungen ist nun bei der Ambulanz in Lübeck eine Abklärung und bei Bedarf schnelle Intervention möglich. Ein Angebot für junge Menschen.
Schlechte Wasser- und Sanitärversorgungen haben im östlichen und südlichen Afrika zu schweren Cholera-Ausbrüchen geführt. Welche afrikanischen Staaten betroffen sind, zeigt unsere Karte.
Laut einer Studie der BARMER arbeiten weniger Arbeitnehmer mobil als zu Hochzeiten der Pandemie. Besonders wichtig für die mentale Gesundheit ist die Abgrenzung des Arbeitsortes vom privaten Umfeld.
Kreuzfahrten stehen bei Urlaubern wieder höher im Kurs. Damit steigt auch die Zahl der Seekranken. Zur Vorbeugung der Seekrankheit können Akupressurbänder und spezielle Brillen helfen. Auch ist es ratsam, auf bestimmte Speisen zu verzichten.
Vor der nächsten RSV-Saison könnten bereits erste Impfstoffe gegen das Respiratory Syncytial Virus verfügbar sein, berichtet Pfizer. RSV-Schutz ist dabei für Kinder und für erwachsene Risikopersonen in Sicht.
Der Pilz Aspergillus fumigatus nutzt offenbar ein menschliches Protein, um der Abwehr zu entkommen. Dies könnte ein neuer Angriffspunkt gegen die Pilzinfektion sein.
Die Reaktionen auf die Digitalstrategie von Gesundheitsminister Lauterbach fallen gemischt aus. Die KBV warnt vor gefährlicher Eile, die Kassenseite fordert die Verpflichtung der Ärzte zur Mitarbeit.
Ein 72-jähriger Mann kommt mit Herzproblemen in die Klinik. Bei ihm fällt eine massive Ausbuchtung am Oberarm auf, die beim Heben eines Gegenstandes schlagartig entstanden ist. Die Kardiologen sind alarmiert – finden aber schnell die Ursache.
Knapp zwei Drittel der Bevölkerung hat für sich eine Entscheidung zur Organspende getroffen. Die Unentschiedenen haben laut einer aktuellen BZgA-Befragung eine Fülle von Gründen.
Allein das Abtasten vom Rektum aus reicht einer beim europäischen Urologen-Kongress vorgestellten deutschen Studie zufolge nicht aus, um bei Mitte 40-Jährigen Prostatakarzinome zu entdecken.
Personen mit Ischiasbeschwerden wird oft Physiotherapie verordnet. In einer Metaanalyse wurde die Behandlung mit anderen Interventionen verglichen – mit überschaubaren Erfolgen.
Erhöhte TSH-Spiegel sind selbst bei normalen Thyroxinwerten ein Risikofaktor für eine metabolisch assoziierte Fettlebererkrankung (MAFLD) – und bei MAFLD mit einem Anstieg der Mortalität verbunden.
Wenn bei Patienten mit erhöhtem PSA-Wert MRT-gestützt zielgenau biopsiert wird, hat das gegenüber einer zusätzlichen systematischen Prostata-Biopsie Vor- und Nachteile, zeigen randomisierte Daten.
Die Mitglieder der Weltgesundheitsorganisation haben das Ziel, den Natriumkonsum bis 2025 um 30 Prozent zu senken. Deutschland und viele andere Staaten hinken der Vorgabe hinterher, wie unsere Landkarte zeigt.
Die Deutsche Gesellschaft für Klinische Neurophysiologie und Funktionelle Bildgebung würdigt die Arbeit von vier herausragenden Nachwuchswissenschaftlern.
Bei Patientinnen und Patienten mit einer kutanen chronischen Graft-versus-Host-Reaktion lässt sich einer Studie zufolge das Mortalitätsrisiko mittels BSA-Bestimmung stratifizieren.
Ein Screening auf Insel-Autoantikörper bei Kindern im Alter von zehn Jahren scheint geeignet, das Risiko für Typ-1-Diabetes im Jugendalter zu erkennen: Die prädiktiven Werte sind hoch, wie eine Studie zeigt.
Um zu verhindern, dass ein Kind mit einer Nahrungsmittelallergie an einer anaphylaktischen Reaktion stirbt, sollten alle Beteiligten genau wissen, was im Ernstfall zu tun ist. Ein britisch-australisches Team hat Empfehlungen zusammengestellt.
In einer Kohorte von fast 200.000 Erwachsenen haben Forscher einmal mehr ein leicht erhöhtes Demenzrisiko bei Vorhofflimmern ausgemacht, besonders bei jüngeren Personen und Nierengesunden.
Frauen, die stabil auf eine Antidepressiva-Behandlung eingestellt sind, sollten diese während einer Schwangerschaft eher nicht absetzen. Zu diesem Schluss kommen die Autoren einer dänisch-norwegischen Kohortenstudie.
Dr. Vitor Gatinho ist ein engagierter Pädiater und berichtet als Kids.Doc auf Instagram aus seinem beruflichen Alltag. Wie stark die Corona-Pandemie Kindern zugesetzt hat, wie er mit Lieferengpässen umgeht und wieso er auf Social Media allgemein über Krankheiten aufklärt, erzählt der Kinderarzt im „ÄrzteTag“-Podcast.
Die Deutsche Gesellschaft für Innere Medizin ist mit den Reformvorschlägen der Regierungskommission zur Notfallversorgung zufrieden. Kritik äußert sie nur an einem Punkt.
Der Frauenanteil unter ambulant tätigen Ärzten und Psychotherapeuten übersteigt erstmals die 50 Prozent-Marke. Die neue Arztstatistik der KBV zeigt außerdem: Mehr als ein Drittel aller Hausärztinnen und Hausärzte ist älter als 60 Jahre.
Diabetes mellitus gilt als Risikofaktor für Erkrankungen der Hand. Registerdaten zufolge ist die diabetische Hand weit verbreitet – und umfasst mehr Diagnosen als lange angenommen.
Wenn die Kriterien eines schweren Asthmas erfüllt sind, gelten Biologika als Zusatztherapie der ersten Wahl. Was es dabei zu beachten gibt, erläuterte Professor Marek Lommatzsch beim Internisten-Update.
In einer Studie wurden Immunogenität und Reaktogenität von zwei hexavalenten Impfstoffen für Säuglinge bei gleichzeitiger Gabe von Meningokokken-B-Impfstoff bewertet.
Dem Verstoß gegen das Transplantationsgesetz kommt im Göttinger Transplantationsskandal „keine Vergütungsrelevanz zu“, so das Bundessozialgericht. Die Kaufmännische Krankenkasse muss die Op-Kosten für zwei ihrer Versicherten tragen.
Wird ein Kind misshandelt, sind Kinder im näheren Umfeld oft ebenso Opfer. Auch sie müssen untersucht werden. Sind sie sehr klein, braucht es dafür eine großzügige Bildgebung.
Bei vermuteter Kindesmisshandlung gibt es klare Empfehlungen, wie Verletzte zu untersuchen sind – nicht aber für asymptomatische Kinder in ihrem Umfeld. Ein Konsensus-Paper schafft hier nun Abhilfe.
Ein Wechsel der Brotsorte in der täglichen Kost ist offenbar eine wirksame Strategie gegen Übergewicht. Das hat vor allem mit dem Gehalt an insulinogenen Kohlenhydraten zu tun, so Diabetologen.
Mutterschaftsleistungen auch für selbstständige Ärztinnen fordert der Hartmannbund. Eine Richtlinie der Europäischen Union müsse endlich umgesetzt werden.
Operativ läuft Roche auch in Deutschland rund. Rückgang bei abebbender Pandemie war erwartet worden. Neue Preisabschläge will man sich aber nicht gefallen lassen – und dagegen vor Gericht ziehen.
Ab 1. April sollen die Leistungen der ambulanten Kinder-und Jugendmedizin ohne Budgetdeckel bezahlt werden. Ein neuer Entwurf aus dem Gesundheitsministerium zur Entbudgetierung der Pädiatrie stellt die KBV noch nicht zufrieden.
Die Brandenburger Linke fordert: Das Landärztestipendium sollte wieder auf 50 Plätze erhöht werden. Zuletzt wurden die Stipendienplätze aus Haushaltsgründen auf 18 reduziert.
Diskriminierung, Flucht, Klimakrise: Gesundheitspolitiker der Ampelkoalition mahnen zum Weltfrauentag, die Gesundheit von Frauen stärker auf die politische Agenda zu setzen.
Sollen alle Koronarläsionen gleich bei der Akut-PCI oder besser in zwei PCI-Sitzungen behandelt werden? Ergebnisse eines Direktvergleichs favorisieren die Revaskularisation „in einem Aufwasch“.
Mediziner aus Halle, Wittenberg und Leipzig haben bei einem Kind mit ADCY5-abhängiger Dyskinesie einen Asthma-Wirkstoff eingesetzt. Mit Erfolg: Die Zuckungen und unkontrollierten Bewegungen ließen nach.
In deutschen Krankenhäusern sind im vergangenen Jahr deutlich weniger Behandlungen durchgeführt worden als 2019, meldet das WIdO. Bei einigen Indikationen beträgt der Rückgang mehr als 30 Prozent.
Eine CT-basierte Kathetertriage bei stabiler Angina pectoris kann durch eine Berechnung der fraktionellen Flussreserve (FFRCT) noch zielgenauer werden – auch direkt vor Ort. Das zeigt die beim ACC-Kongress vorgestellte randomisierte Studie TARGET.
Reicht bei extremen Frühchen mit offenem Ductus arteriosus Botalli ein abwartendes Vorgehen oder soll versucht werden, mit Ibuprofen den Verschluss des Gefäßes zu induzieren?
Wer in einer Umgebung mit viel Grün, Parks und Wasser lebt, muss sich offenbar weniger Sorgen um neurodegenerative Erkrankungen wie Alzheimer und Parkinson machen.
Aus Bayern kommt Widerstand gegen die geplante Vollakademisierung der Berufsgruppe der Physiotherapeuten. Gesundheitsminister Holetschek lehnt diese bisher ab. Ein Berufsverband widerspricht.
Mit klassischen Risiko-Scores wird die kardiovaskuläre Gefährdung von Menschen mit Zöliakie wohl unterschätzt. Das gilt vor allem dann, wenn keine oder nur wenige etablierte Risikofaktoren vorliegen.
Operationen ohne wirksame Einwilligung? Ein Neurochirurg muss sich vor dem Amtsgericht Krefeld verantworten. Nachdem er jetzt weitere Behandlungsunterlagen vorgelegt hat, ist das Verfahren ausgesetzt.
Nach herrschender Ansicht ist der Gebrauch von Drogen der Sexualfunktion von Männern eher abträglich. Laut Ergebnissen einer Studie könnte der Konsum von Cannabis hier eine Ausnahme darstellen.
Risikopatienten für feuchte Makuladegeneration sollten sich nicht zu sehr auf die Visusprüfung mit dem Amsler-Gitter verlassen. In einer Studie hat die Trefferquote arg zu wünschen übriggelassen.
Beim Typ-2-Diabetes (T2D) nimmt die hausärztliche Versorgung eine Schlüsselposition ein. Allerdings stellen Zeit- und Ressourcenmangel hier in besonderem Maße limitierende Faktoren dar. Umso wichtiger ...
Sonderbericht
|
Mit freundlicher Unterstützung von:
Novo Nordisk Pharma GmbH, Mainz
Mit dem Alter eines Mannes nimmt auch dessen Fruchtbarkeit ab. Zudem treten bei Kindern von älteren Vätern bestimmte Erkrankungen wohl häufiger auf. Autoren einer Metaanlyse geben dennoch Entwarnung.
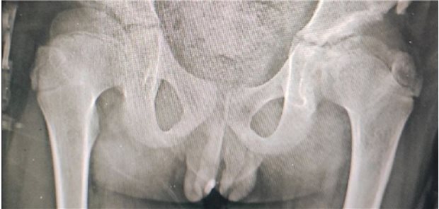
Einen Fall von akutem Harnverhalt bei einem zehnjährigen Jungen schildert ein syrisch-türkisch-sudanesisches Ärzteteam. Einen Hinweis auf das Problem gab die Vorgeschichte des kleinen Patienten.
Angesichts überwältigender Aufstellungen potenzieller Wechselwirkungen unter rheumatologischen Basistherapien wie MTX kann einem schnell flau werden. Längst nicht alle sind klinisch relevant, andere umso mehr.
Methotrexat ist der Rettungsanker für viele Menschen mit Rheumatoider Arthritis – und doch landet es immer wieder auf der Anklagebank. Der lange Gebrauch und die Anwendung bei Krebs kleben wie Pech am Goldstandard.
Psychiatrische Krankenhäuser leiden am Fachkräftemangel. Die Sanktionen der PPP-RL verschärfen die Situation und gefährden letztlich die Versorgungssicherheit, schreibt DGPPN-Präsident Andreas Meyer-Lindenberg im Gastbeitrag.
Asthma lässt sich mit einem schnell wirksamen Beta-2-Agonisten plus inhalativen Kortikosteroid als Bedarfstherapie besser in den Griff bekommen als nur mit einem rasch wirksamen Beta-2-Agonisten, so Gastautor Prof. Joachim Bargon.
Frank-Gerald Pajonk ist Psychiater und ehemaliger Benediktinermönch. Zusammen mit seinen Glaubensbrüdern lebt er im Kloster Schäftlarn – und leitet die auf dem Gelände ansässige psychiatrisch-psychotherapeutische Tagesklinik. Ein Porträt.
Auch Personen deutlich über 70 Jahren scheinen bei einem T1a-Nierenzellkarzinom noch von einer partiellen Nephrektomie zu profitieren. Die Mortalität ist nach dem Eingriff deutlich geringer.