Direkt zum Inhaltsbereich
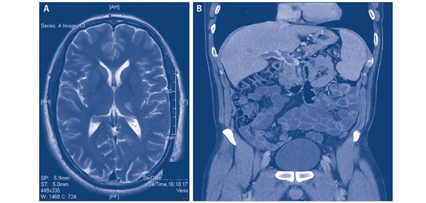
Abb. 3: Thrombophilie bei PNH: Wie hier dargestellt, können Thrombosen an unterschiedlichen Lokalisationen sowohl arteriell als auch venös auftreten: (A) lakunärer Thalamusinfarkt links; (B) Pfortaderthrombose. Beide Ereignisse waren bei dem dargestellten Patienten vor der Erstdiagnose PNH aufgetreten (mit freundlicher Genehmigung von A. Röth, Essen)

© A. Röth, Essen

Paroxysmale nächtliche Hämoglobinurie (PNH)

Leitliniengerechte Diagnostik und Therapie

Sonderbericht | Mit freundlicher Unterstützung von: Alexion Pharma Germany GmbH, München

Blutzuckermessung

Intuity sammelt Geld für Innovation

Herz im Modell mit Reizleitungssystem.

© lom123 / fotolia.com

Symptomlose Aortenstenose

Intervenieren oder abwarten?

Neue Kombitherapien

Bessere Blutzuckerwerte, weniger Gewicht

Onkologie

Myelom: Neue Therapieoption verfügbar

Seltene Enzephalitis

Bortezomib lindert Symptome

Psychisch Kranke

Therapie statt Knast!

Gebärmutter

Weitere Uterus-Transplantationen geplant

Frankreich

13 Grippe-Tote in Altenheim binnen 15 Tagen

Bipolare Störungen werden wohl durch Licht gesteuert – und haben so indirekt etwas mit der Jahreszeit zu tun.

© freshidea / Fotolia

Forschung

Mit künstlichem Jet-Lag gegen Bipolare Störungen

Die Wirkung von zu viel Alkohol auf das Herz ist anscheinend groß.

© Sergey Nivens/ Fotolia

Registerstudie

Saufen schadet dem Herzen so stark wie Bluthochdruck

Scannen statt stechen

© Abbott Diabetes Care

Blutzuckerkontrolle

Scannen statt stechen

Influenza

Schwere Grippewelle in Frankreich

Leberkrebs

HCC: Wann systemisch therapieren?

Psoriasis-Arthritis

Secukinumab zeigt lange Wirksamkeit

Karies

Ist der Bohrer bald passé?

Ski-Langlauf ist gesund: Auch Weekend Warriors, die nur am Wochenende Sport treiben, profitieren.

© fotofrankyat / iStock / Thinkstock

Weekend Warriors

Auch wer nur am Wochenende schwitzt, bleibt fit

Das Rüstzeug für Patienten mit COPD: Peakflowmeter, SymptomTagebuch und Inhalator.

© fovito / fotolia.com

Neue Leitlinie bei COPD

Patienten GOLD-richtig behandeln

Bei Psychosen und Sucht besteht ein erhöhtes Gewaltpotenzial. Hier könnte eine kausale Beziehung vorliegen.

© Edler von Rabenstein / fotolia.com

Psychische Störungen

Ein Risikofaktor für Gewalttaten?

Bakterielle Vaginose

Neuer Test in Europa eingeführt

Robert Koch-Institut

Grippeviren bei jedem dritten ARE-Patienten

Blutproben: Künftig Option für das therapeutische Drug Monitoring bei Krebs?

© Martynas Vidbelis / photos.com

Krebstherapie

Drug Monitoring verbessert Erfolg

DGK Cardio Update 2017

Wissen, was wirklich wichtig ist!

Kommentar

Gefährliche Ruhigstellung

Angst und Reizbarkeit als Vorboten

© panco971 / iStock / Thinkstock

Depressive Kinder

Angst und Reizbarkeit als Vorboten

Sport wirkt sich wohl positiv auf die Samenqualität und die Unversehrtheit der DNA aus.

© Sebastian Schreiter / Springer Verlag GmbH

Reproduktionsmedizin

Joggen macht Spermien mobil

Thromboembolie

Vorsicht bei Testosteron-Therapie!

Vorsicht: COPD-Patienten, die Antipsychotika nehmen, haben ein höheres Risiko, ein Lungenversagen zu erleiden.

© creative soul / Fotolia

Pneumologie

Steigern Antipsychotika Risiken für Lungenversagen bei COPD?

Strategische Zusammenarbeit

Merck kooperiert für starke Immunonkologie-Pipeline

Helfen weitere Untersuchungen bei erhöhtem PSA-Wert und negativer Biopsie.

© jarun011 / Fotolia

Verdacht auf Prostata-Ca

PSA erhöht, Biopsie negativ: Was tun?

Infektionen

Sind Kliniken schlampig bei der Hygiene?

Salmonellen

Eier-Produzent unter Anklage

Sachsen-Anhalt

LÄK steht Krebsregister vor

Nicht nur für Kinder: In England hilft Fußball Männer massiv abzunehmen.

© kwanchaichaiudom / Fotolia

Kicken gegen Kilos

Briten probieren ungewöhnliche Diät

Hier lohnt sich ein Drogentest

© ampyang / Fotolia

Befallswahn

Hier lohnt sich ein Drogentest

Hantavirus

Optimale Bedingungen für Überträger

Im Vergleich zur Allgemeinbevölkerung ist das Sterberisiko nach einem Myokardinfarkt in jungen Jahren etwa doppelt so hoch.

© ArTo / Fotolia.com

Herzinfarkt in jungen Jahren

Langzeitprognose immer besser

Gesunde Ernährung fällt vielen im Arbeitsalltag schwer.

© Drobot Dean / Fotolia.com

Ernährung

Arbeitsstress wird zum Gegner der Prävention

Herzkranke überschätzen oft ihre Lebensdauer

© klickerminth / Fotolia

Patientenbefragung

Herzkranke überschätzen oft ihre Lebensdauer

Schutzfaktor Trauschein?

© Light Impression / Fotolia

Schlaganfall

Schutzfaktor Trauschein?

Raucherinnen

Menopause beschleunigt Lufu-Verlust

Digitalis-Präparate werden aus der Fingerhutpflanze gewonnen.

© H. Brauer / Fotolia.com

Herzinsuffizienz

Längeres Leben mit Digitoxin?

IGeL bei Hörsturz

Negativ-Votum für Infusion

Lebensmittel-Skandal

Eier-Produzent wegen Salmonellen angeklagt

Unkomplizierte Zystitis

Pflanzliche Kombi schont Mikrobiom

Demenz

Uniklinik Bonn trainiert Angehörige

Infektionen

2016 weniger Masernfälle in Deutschland

Aktuelle Auswertung

Fast jedes vierte Schulkind im Nordosten ist Allergiker

Eine regelmäßige BZ-Kontrolle bei Diabetes ist wichtig. Vor zu niedrigen Werten wird bei Niereninsuffizienz abgeraten.

© pittawut / fotolia.com

Diabetische Nephropathie

Was die Nieren schützt

Arthritis bei Gicht

"Nur die Spitze des Eisbergs"

Meningitis

Reisemedizin

Splenomegalie

M. Gaucher: häufiger als gedacht