Patienten mit patellofemoralem Schmerzsyndrom profitieren von einer Botulinumtoxininjektion zusätzlich zur Physiotherapie, so das Ergebnis einer brittischen Studie.
Eine Hypersensibilität gegen Cephalosporine betrifft nicht die gesamte Substanzklasse. Daher kann mit geeigneten alternativen Cephalosporinen behandelt werden.
Forscher haben eine neue Methode entwickelt, wie sich die Aktivität von braunem Fett ohne großen Aufwand am Menschen nachweisen lässt (Nature Commun 2016; online 27. April).
Patienten, die an der hausarztzentrierten Versorgung der AOK Baden-Württemberg und der Bosch BKK teilnehmen, haben ein deutlich niedrigeres Darmkrebs-Risiko als Patienten der Regelversorgung.
Eine US-Studie bestätigt die Vorteile der Adipositas-Chirurgie: Abgesehen von positiven Effekten auf den Stoffwechsel werden die Patienten wieder beweglicher, ausdauernder und haben weniger Schmerzen.
Die Vielschichtigkeit von Diabetes verlangt Kooperationen von Ärzten mit Vertretern anderer Gesundheitsberufe, hat die DDG im Vorfeld ihres Kongresses betont.
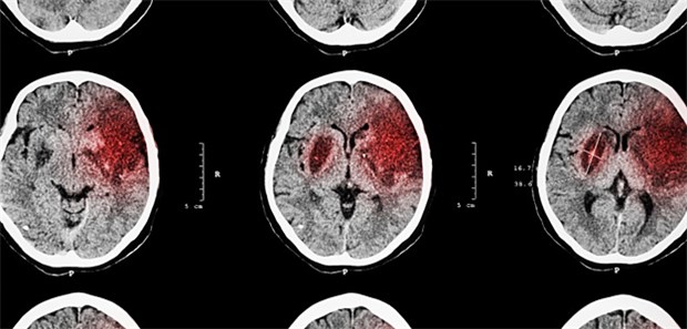
Ein Drittel der Epilepsien sind nicht behandelbar, weil mehrere Anfallsherde auf komplexe Weise zusammenspielen. Forschern der Uniklinik Bonn gelang es, Vorboten von Anfällen bereits Stunden im Voraus nachzuweisen.
Endokrinologen warnen vor einer Folge wiederholter Injektionen mit Glukokortikoiden. Denn die Nebenniereninsuffizienz tritt offenbar deutlich häufiger auf als bisher angenommen.
Stundenlanges Sitzen, Leistungsdruck, ungesundes Essen: Die Gesundheit von Grundschülern in Deutschland wird immer schlechter. Die DAK stellt heute eine aktuelle Studie zu dem Thema vor.
Vom 25. bis 29. April läuft die bundesweite Schilddrüsenwoche. Das Motto lautet: 'Ihre Schilddrüse in guten Händen - Deutschland macht den Schilddrüsen-Check'.
Oft sind Ärzte erste Anlaufstelle für Opfer häuslicher Gewalt. Evidenzbasierte Leitlinien, Fortbildung und Vernetzung unterstützen sie dabei, Hilfe zu leisten.
Frohe Botschaft zum Welt-Malaria-Tag: Die Zahl der Malaria-Opfer sinkt. Vermehrte Plasmodien-Resistenzen zeigen aber, dass neue Arzneien benötigt werden.
Vor genau einem Jahr wurde das Zika-Virus in Brasilien erstmals festgestellt - von hier hat es sich rasant ausgebreitet. Neuen Befunden zufolge ist es sogar noch gefährlicher als gedacht.
Manche der Bewohner des Demenzdorfs Tönebön am See in Hameln glauben, sie seien im Campingurlaub in Italien. Es gehört zum Konzept, ihnen diesen Glauben zu lassen.
Der Neurologe Dr. Tobias Ruck von der Uni Münster hat nachgewiesen, dass der Zellrezeptor NKG2D maßgeblich an der Entstehung von idiopathischen entzündlichen Myopathien (IIM) beteiligt ist.
Der Impfstatus vieler Migranten ist unklar. Nur circa die Hälfte der Flüchtlinge großer Erstaufnahmeunterkünfte waren gegen Tetanus und Diphtherie immun.
Ixekizumab (Taltz®) hat die Zulassung zur Psoriasis-Therapie erhalten, teilt das Unternehmen Lilly mit. Indiziert sei der Interleukin(IL)-17A-Inhibitor zur Therapie Erwachsener mit mittelschwerer bis schwerer Plaque-Psoriasis, die für eine systemische Therapie infrage kommen, so der Hersteller.
1 A Pharma hat mit Bupre - 1 A Pharma® (4-Tage-Pflaster) und Bupre - 1 A Pharma® 7 Tage sein Schmerzportfolio ergänzt. Das selbst-klebende Polymer-Matrix-System gibt Buprenorphin kontinuierlich in kleinen Mengen in den Blutkreislauf ab.
Die Ergebnisse mehrerer Studien bestätigen die gute Wirksamkeit und Verträglichkeit sowie die hohe Akzeptanz des PDE-5-Hemmers der zweiten Generation Avanafil bei erektiler Dysfunktion im 'real life'.
Bei Männern gibt es zwischen Gefäßverkalkung und Geschlechtshormonen einen Zusammenhang. Dieser sei aber eher nicht kausal, sondern die Assoziation bestehe über kardiovaskuläre Risikofaktoren, so die Deutsche Gesellschaft für Endokrinologie (DGE).
Das IQWiG hat seinen Vorbericht zu Aromatasehemmern bei Brustkrebs der Frau veröffentlicht. Im Frühstadium der Erkrankung werden der Substanzklasse Vorteile gegenüber Tamoxifen attestiert.
In einer klinischen Beobachtungsstudie untersuchen Wissenschaftler des Universitätsklinikums Jena derzeit eine neue Methode zur Nachsorge nach der operativen Entfernung von Krebsvorstufen am Gebärmutterhals.
Forscher der Uni Münster haben die biochemische und genetische Zusammensetzung der zytotoxischen CD8-T-Zellen entschlüsselt, die vermutlich die Rasmussen-Enzephalitis (RE) auslösen (Nature Communications 201
Der Gemeinsame Bundesausschuss (GBA) hat in seinem aktuell veröffentlichten Beschluss die vom Institut für Qualität und Wirtschaftlichkeit (IQWiG) vorgeschlagene positive Bewertu
Die 'Ärzte Zeitung' veranstaltet im Juni eine Experten-Sprechstunde zum Thema Lipidsenkung. Alle Leser können vorab Fragen einreichen. Über die Diskussion und die Antworten wird anschließend berichtet.
Wegen einer Studie mit Todesfällen vor sieben Jahren ist die Gentherapie kürzlich wieder negativ in die Schlagzeilen geraten. Heutige Gentherapien gelten als sicherer. Statt mit Virus-Genfähren wird zudem auch die Therapie mit Gen-Scheren erwogen.
Das Schlaganfallrisiko bei Vorhofflimmern lässt sich besser abschätzen, wenn neben den klinischen Angaben auch Troponin- und NT-proBNP-Werte berücksichtigt werden.
Etwa ein bis zwei Prozent der Gelenkprothesen lockern sich frühzeitig nach der Implantation, häufig hervorgerufen von einer hartnäckigen bakteriellen Infektion. Aber nicht die Bakterien schädigen direkt den Knochen. Vielmehr fördern Immunzellen im Laufe der chronischen Entzündung dessen Abbau, wie Dr.
Die Diabetologie und die katholische Kirche haben viel gemeinsam. Speziell bei der Behandlung des Typ-2-Diabetes predigen Diabetologen ähnlich wie Priester das Maßhalten.
Der Vater des Amokläufers von Winnenden hat Ärzte und Therapeuten der Klinik verklagt, in der sein Sohn vor seiner Gewalttat behandelt worden war. Heute ist das Urteil gefallen.
Wer sich auf YouTube zum Thema Hüftarthrose informieren will, findet dort überwiegend Material von schlechter Qualität. Experten aus Wien haben das Angebot gesichtet: Demnach kann man Patienten nur einige wenige der einschlägigen Videos empfehlen.
Der erste Malaria-Impfstoff soll zusammen mit anderen Kontrollmaßnahmen die Prävention in Endemieländern verbessern. Ein erster Einsatz wäre 2018 möglich.
Bei jedem vierten Kind mit erfolgreich behandeltem Hämangiom kommt es nach Absetzen von Propranolol zu erneutem Wachstum des Hämangioms. Forscher haben nun Risikofaktoren für ein Rezidiv identifiziert.
Einem deutsch-britischen Forscherteam ist es gelungen, in Candida albicans ein Gift nachzuweisen, das entscheidend an dessen Aktivität als gefährlicher Krankheitserreger beteiligt ist (Nature 2016; 532: 64-68).
Die Krankenhäuser sind nicht ausreichend auf demenziell erkrankte Patienten eingestellt. Das meint Dr. Manfred Gogol, Chefarzt der Geriatrie im Krankenhaus Lindenbrunn in Coppenbrügge bei Hameln. Entweder 'wir schaffen die Wende' - oder es bleibe bei den 'manchmal katastrophalen Bedingungen'.
Laut einer Studie der KKH beziehen Arbeitnehmer mit langwierigen Erkrankungen immer länger Krankengeld. Die Ursachen dafür sieht die Kasse vor allem in Versorgungsdefiziten.
Wenn es einem nach dem Verzehr von chinesischem Essen schwindelig wird, muss das nicht am Pflaumenwein liegen: Geschmacksverstärker rücken in den Fokus.
Etwa ein bis zwei Prozent der Gelenkprothesen lockern sich frühzeitig nach der Implantation, häufig hervorgerufen von einer hartnäckigen bakteriellen Infektion. Aber nicht die Bakterien schädigen direkt den Knochen. Vielmehr fördern Immunzellen im Laufe der chronischen Entzündung dessen Abbau, wie Dr.
Bei etwa jeder zweiten Zubereitung von Antibiotikasäften machen Eltern Fehler beim Portionieren und Mischen, wie Forscher herausgefunden haben. Das birgt Gefahren.
Fortschritte in der Therapie führen dazu, dass immer mehr Patienten mit seltenen Krankheiten das Erwachsenenalter erreichen. Die Erwachsenenmedizin ist darauf nicht vorbereitet.
Bei Prellungen, Zerrungen und Verstauchungen darf die Schmerzsalbe Traumaplant® auch bei begleitenden offenen Schürfwunden nach deren vorheriger gründlicher Reinigung aufgetragen werden. Daran erinnert das Unternehmen Klosterfrau.
Die Kombination Indacaterol/Glycopyrronium bessert bei COPD nicht nur die Lungenfunktion. Die entblähende Wirkung der Therapie reduziert die Dyspnoe und steigert die Belastbarkeit.
Das geplante Bremer Modell zum kontrollierten Verkauf von Cannabis löst in der CDU einen Sturm der Entrüstung aus. Sie sehen die Hansestadt auf dem Weg ins Kifferparadies.
Das Forschungskonsortium GALAXY entwickelt neue Diagnose- und Therapiemethoden, mit denen Lebererkrankungen früher erkannt und therapiert werden sollen als bisher, auch alkoholbedingte Leberkrankheiten.
Ergebnisse einer neuen Analyse umfangreicher Daten aus dem klinischem Alltag bestätigen das positive Nutzen-Risiko-Profil des direkten Faktor-Xa-Hemmers Rivaroxaban bei Patienten mit Vorhofflimmern.
Bei Patienten mit STEMI kann eine auf dem Weg zur Klinik durchgeführte ischämische Konditionierung möglicherweise dazu beitragen, das Zeitfenster bis zur Koronarintervention zu erweitern. Das postuliert ein Team aus Dänemark.
Öffentlichkeit herstellen für Frauen mit fortgeschrittenem Brustkrebs - ein anspruchsvolles Ziel: Die 'Dialogrunde Brustkrebs' diskutiert Lösungsoptionen.
Auch wenn ein Mammografiebefund sich als falsch positiv entpuppt, kann nur beschränkt Entwarnung gegeben werden. Das Krebsrisiko ist höher als ohne Befund - besonders bei Verkalkungen.
Die Ausbildung von Psychotherapeuten steht vor einer tiefgreifenden gesetzlichen Reform. Haupt-Knackpunkt sind Studium und Vergütung: Beides soll der Ausbildung von Ärzten angeglichen werden.
In den aktuellen STIKO-Empfehlungen hat es Änderungen bei der Pneumokokken-Impfung von Säuglingen und bei der Gelbfieberimpfung gegeben. Und: Die Meningokokken-B-Impfung wird jetzt für Risikogruppen empfohlen.
Wer mit Hodenschmerzen in die Notfallambulanz kommt, hat es eilig. Mit dem TWIST-Score lässt sich schnell und sicher abschätzen, ob eine Hodentorsion vorliegt, zeigt eine Studie.
Anders als viele andere Länder Europas schafft es Deutschland nicht, Masern und Röteln endgültig auszurotten. Zum Start der Europäischen Impfwoche gibt es jetzt Druck von der WHO.