Vorteile fürs Herz durch Fischöl-Kapseln? Welche Dosis ist dazu nötig?

© morganka / Fotolia

Hohe Triglyceride

US-Experten raten zu Omega-3-Fettsäuren

AkdÄ

Fälle von Herpes zoster nach Shingrix®-Impfung

G7 Gipfel

Mehr Geld für Kampf gegen Aids und Malaria

Radiologen in der Kritik: Fehlanreize durch Kontrastmittelpauschalen sollen zu patientengefährdenden Mengensteigerungen geführt haben. Der Berufsverband widerspricht.

© Bacho Foto / stock.adobe.com

Kontrastmittel-Preise

Radiologen sehen sich von Vorwürfen entlastet

Kommentar zum Honorar

Extrabudgetäres zählt auch

Es gibt viele Gründe für mangelnde Therapieadhärenz. Neben Vergessen ist dies etwa die Angst, das Medikament könnte schaden.

© Creative-Family/Getty Images / iStock

Sekundärprävention

Warum KHK-Patienten ihre Medikamente weglassen

Die harten Lebensumstände in Hamburg während des Ersten Weltkriegs brachten auch Ärzten schwierige Arbeitsbedingungen.

© akg-images / picture alliance

Fazit nach 100 Jahren

„Wenn es die KV nicht gäbe, müsste man sie erfinden“

Kommentar zur Pflegereform

Zeit vertan

Krebs

Oncotype DX® jetzt Kassenleistung

Der Orientierungswert steigt um 1,52 Prozent.

© Pixelot / Fotolia

Einigung

Gut eine halbe Milliarde Euro mehr Honorar

Magnetresonanz-Aufnahme des männlichen Beckens: Die Prostata ist orange eingefärbt.

© Living Art Enterprises

Prostatakrebs

Mit MRT lassen sich Biopsien vermeiden

Bayern

5000 Euro für freiberufliche Hebammen

Kommentar

Selbstverwaltung funktioniert also doch

Baumgärtner

„Spahn ist auf dem Holzweg“

Herzinfarkt

Es kommt nicht auf die Uhrzeit an

Bundestag

Regierung gegen Legalisierung der Eizellspende

Schlussverkauf? „Kaufen“ heißt es jetzt auch wieder für einige Werte, die Analysten lange Zeit nicht übermäßig fanden – etwa im Gesundheitswesen, in der Chemie oder auch im Einzelhandel.

© macgyverhh / Fotolia

Kapitalanlage

Interessante Werte für Schnäppchenjäger

Platow-Empfehlung

Bauer bleibt operativ auf Kurs

Anlagen-Kolumne

Verfrühte Angst vor Rezession?

Konnektor der CompuGroup, auch CoKoBox oder CoKoKonnektor genannt.

© CompuGroup Medical (CGM)

Telematikinfrastruktur

Gnadenfrist bei Konnektoren-Pauschalen

Nützliches Werkzeug für Telemedizin oder „Big Brother is watching you“? Webcam am PC-Monitor.

© Monika Skolimowska / dpa

Cyber-Gefahr

Die Tücken der Videosprechstunde

Das Bundesamt für Strahlenschutz rückt die Gefahren von Radon in den Fokus der Öffentlichkeit.Š

© vchalup / stock.adobe.com

Bundesamt für Strahlenschutz warnt

Die unterschätzte Gefahr Radon

US-Zulassung

Nasenspray mit Glukagon gegen schwere Hypos

Die Vorwürfe, nach denen Radiologen ungerechtfertigte Mengenausweitungen beim Kontrastmittelverbrauch verursacht hätten, seien nicht stichhaltig, berichtet der Berufsverband der Deutschen Radiologen.

© PhotoSG / Fotolia

Radiologenverband

Keine Mengenausweitung bei Kontrastmitteln

Berlin

Versorgung von Obdachlosen verbessern

Lebensmittelkennzeichnung

Bundesregierung fördert Nutri-Score-App

Dienstwohnung

Wohnrecht auch nach Entlassung

34 Prozent betrug die Risikoreduktion für kardiovaskuläre Ereignisse in der Gruppe mit Lebensstilberatung plus Polypille im Vergleich zu alleiniger Lebensstilberatung.

© FotografiaBasica / Getty Images

Prävention

Mit Polypille weniger Herzinfarkte und Schlaganfälle

Internationale Warnung

Listeriose-Ausbruch in Südspanien

Termine beim Haus- und Facharzt sollen bald nicht nur analog, sondern auch digital vermittelt werden.

© PhotographyByMK / stock.adobe.com

Viele Termine, wenig Nachfrage

Die Krux mit dem Terminservice

Kommentar

Vertretung hat ihren Preis

Auch Bundesgesundheitsminister Jens Spahn legte bei der Einweihung der neuen Ypsomed-Produktion in Schwerin Hand an.

© Jens Büttner / dpa

Einweihung

Ypsomed lockt Politprominenz nach Schwerin

Intensivpflege

Spahn verteidigt Reformpläne

Hausarzt vor Ort – Daumen hoch!

© Alexander Raths/Fotolia

AOK-Versicherte befragt

Hausärzte wichtiger als schnelles Internet

Kommentar zu den STIKO-Empfehlungen

Bei Impfengpass priorisieren!

Erste Krebsmittel erreichen jetzt den Markt, die nurmehr anhand genetischer Tumor-Marker ausgewählt und eingesetzt werden.

© Gernot Krautberger / Stock.Adobe.com

Onkologie

USA bei tumoragnostischen Zulassungen vorn

Cyber-Sicherheit

Mainzer Impulse für hackersichere Kliniken

Defi-Skandal

Telefunken entzieht Lizenz

Mit Obst und Gemüse gegen Altersgebrechlichkeit? Menschen mit Frailty-Syndrom haben einer Studie zufolge zu wenig Vitamin D, E und Carotinoide im Blut.

© Ingo Wagner/dpa

FRAILOMIC-Initiative

Hat Vitaminmangel etwas mit Altersgebrechlichkeit zu tun?

Neue Arznei

Duale HIV-Therapie in einer Tablette

Manchmal lässt sich der Druck im Job mit einem Antistress-Ball „wegdrücken“ – doch über die Hälfte der Bevölkerung verspürt einen hohen Stresslevel.

© AndreyPopov / Getty Images / iStock

Umfrage

Zeitdruck und Kollegen stressen im Büro

Schwangerenberatung

Hessen regelt Mahnwachen per Erlass

Screening ist weiterhin keine Option

© lom123 / Fotolia

Pankreaskrebs

Screening ist weiterhin keine Option

Alzheimer-Entstehung

Tau-Proteinen auf den Fersen

Stimmungsschwankungen durch die Menopause lassen Männer oft ratlos zurück (Symbolbild).

© Photographee.eu / stock.adobe.com

Online-Umfrage

Wie Männer die Menopause ihrer Partnerinnen erleben

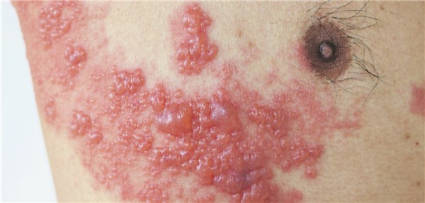
Herpes zoster: Die STIKO empfiehlt nun eine Impfung für alle ab 60 Jahren sowie für Menschen mit Grunderkrankungen ab 50.

© phadungsakphoto / stock.adobe.com

Neue STIKO-Empfehlungen

Zoster-Impfung für alle ab 60

Klinischer Notfall oder ambulante Versorgung im Krankenhaus: Die Notfallversorgung wird umstrukturiert.

© schulzfoto / stock.adobe.com

Integrierte Notfallzentren

Vertragsärzte und Kliniken im Clinch

Nach einem Unfall liegt ein zerstörtes Fahrrad auf der Landstraße. 158 Radfahrer haben im Zeitraum Januar bis Juni 2019 ihr Leben durch Verkehrsunfälle auf deutschen Straßen verloren.

© Arnulf Stoffel/dpa

Auf deutschen Straßen

Mehr Unfälle, weniger Tote und Verletzte

Zu heiß? Eine geistig behinderte Frau stritt deswegen vor dem Bundesgerichtshof (BGH) um Schmerzensgeld von ihrem Wohnheim.

© Julian Stratenschulte/dpa

Mit Badewasser verbrüht

Heime müssen Bewohner schützen

Mikroplastik-Teilchen kleben an einem Finger.

© Bernd Wüstneck/dpa

WHO in Sorge

Leise rieselt das Mikroplastik

Australien

Urteil wegen streng veganer Baby-Ernährung

Kommentar zu Antibiotika-Resistenzen

Die Botschaft ist angekommen

Meist geht es ohne Skalpell: Bei der äußeren Leichenschau wird geprüft, ob es Anzeichen eines unnatürlichen Todes gibt.

© Arteria Photography

Qualifizierte Leichenschau

Zumindest Bremen ist kein Land der unentdeckten Morde

EKG: Eine Hypertonie erhöhte in einer finnischen Studie das Risiko für einen AV-Block um 22 Prozent je 10 mmHg.

© BSIP / AMELIE-BENOIST / mauritius images

Herzrhythmusstörung

Blutdruck und Nüchternglukose sind mit AV-Block assoziiert

Frankreich

Künstliche Befruchtung für lesbische Paare

Bereitschaftsdienst

KBV kündigt Kampagne für 116117 an

Medizintechnik

Nierendiagnose mit Urin?

Telemedizin

Schlaganfallnetzwerk Nord-Ost gestartet

Verbandsstatement

E-Dampfer Opfer windiger Verkäufer?

Im Placenta-Labor wird die hormonelle Zusammensetzung von Plazenten untersucht.

© Anna Schroll/UKJ

Placentophagie

Der Trend, den Mutterkuchen zu essen

Woher neue Fachkräfte holen? NRW konstatiert eine Diskrepanz zwischen offenen Stellen und Bewerbern. Erste Initiativen laufen an.

© Peter Atkins / Stock.Adobe.com.

Fachkräftemangel

NRW dreht an Stellschrauben für mehr Gesundheitsjobs

Cystische Fibrose

Orkambi® bei Kleinkindern mit CF mit Zusatznutzen

Ärzte-Information

RKI bringt Faktenblatt zur Zoster-Impfung heraus

Apoplexie-Prävention

Vorteil mit Apixaban plus P2Y12-Inhibitor

Rheinland-Pfalz

10.000 Klagen vom Tisch

Berlin

Weiterer Schritt zur Pflegeberufereform

Kommunale Kliniken

Warnung vor Wettbewerb um Pflegekräfte

Letzte Impfung zu lange her? In über 35000 Fällen wurde in Nordrhein-Westfalen im vergangenen Jahr ein Influenza-Fall gemeldet.

© Jan Woitas / dpa

Infektionsbericht

Mehr Grippe und seltener Masern in NRW

Klaus Gjasula (SC Paderborn) spielt in der Bundesliga mit Helm.

© Huebner / dpa

Bundesliga-Spieler schlägt vor

Helmpflicht für Fußballprofis

Sind Säuglinge erkrankt, wird inzwischen in der Therapie viel seltener auf Antibiotika zurückgegriffen. Das ZI ermittelte einen Verordnungsrückgang um fast 50 Prozent seit 2010

© David Pereiras / stock.adobe.com

Zi-Analyse

Ärzte halten sich mit Antibiotika zurück

Ausländische Fachkräfte

7200 ausländische Ärztediplome anerkannt

Kabinettsbeschluss

„Soli“ wird weitgehend abgeschafft

Immer für eine Überraschung gut: Boris Johnson kündigte jüngst einen wahren Geldregen für die seit Jahren unterfinanzierten Kliniken und Praxen des NHS an.

© Jon Super/AP/dpa

Arndt Striegler bloggt

Johnsons Geldspritze – Britische Ärzte bleiben skeptisch

Helfer des Internationalen Roten Kreuzes beim Einsatz im Kampf gegen Ebola im Ost-Kongo. In der Region sind viele Milizen aktiv.

© Al-Hadji Kudra Maliro / AP Photo / picture allianc

Panorama

Wie gefährlich ist Afrika für Helfer?

Klassisches Antibiogramm zeigt wirksame Substanzen an.

© zmeel / Getty Images / iStock

Resistenzprobleme

Was die Arztpraxis in Sachen Antibiotika von der Klinik lernen kann

Was kommt hinten raus aus dem Triebwerk? Unter anderem Ultrafeinstaub.

© Andreas Arnold / dpa / picture alliance

Frankfurter Flughafen

Dem Ultrafeinstaub auf der Spur