Nach dem Bundestag hat auch der Bundesrat das Gesetz zur Stärkung der Rechte von Menschen mit Behinderungen im Fall knapper Behandlungskapazitäten beschlossen.
Haushaltsgeplänkel droht die Corona-Impfverordnung finanziell auszutrocknen. Ärzte fürchten einen ruckartigen Übergang zur Regelversorgung. Sie warnen vor Chaos in der Versorgung.
Die FDP-Fraktion im hessischen Landtag hat für die drei universitären Medizinstandorte des Landes die Entwicklung pandemierelevanter Fächer nach zwei Jahren Corona abgefragt.
Ob Renin-Angiotensin-Inhibitoren bei fortgeschrittener Niereninsuffizienz abgesetzt oder weiter eingenommen werden, ist für die Nierenfunktion offenbar egal.
Nicht nur Pflegekräfte sondern auch Ärztinnen und Ärzte sollten einen Gehaltsbonus für ihren Einsatz während der Pandemie erhalten, fordert der Vizepräsident der Österreichischen Ärztekammer.
Der Präsident der Bundesärztekammer mahnt ein Ende der Corona-„Notstandsregelungen“ an und mahnt jeden Einzelnen, Verantwortung zu übernehmen. Post-COVID müsse im Blick behalten werden.
Eine Erstlinientherapie bei fortgeschrittenem HCC mit Cabozantinib plus Atezolizumab kann im Vergleich zum Therapiestandard Sorafenib das progressionsfreie, nicht aber das Gesamtüberleben verlängern.
Diabetische Ketoazidose in der Schwangerschaft ist ein schwerer Notfall mit hoher fetaler Mortalität. Ein Team der Mayo-Klinik in den USA hat mögliche Verdachtsmomente und Risikofaktoren ausgewertet.
In Hamburg gilt für Corona-Infizierte weiterhin eine fünftägige Quarantänepflicht. Positive Selbsttests müssen aber nicht mehr mittels PCR bestätigt werden.
RSV-Erkrankungen können bei Säuglingen und Kleinkindern lebensbedrohlich verlaufen. Und derzeit baut sich eine Welle auf, die einen Notfallmediziner schon jetzt von „Katastrophenzuständen“ sprechen lässt.
Wenn bald die Suizidassistenz kommt, müsse unbedingt verhindert werden, dass psychisch Kranke sterben, denen geholfen werden könnte, hieß es auf dem DGPPN-Kongress. Das dürfte nicht immer einfach sein.
Das Wissen rund um Post- und Long-Covid bündeln: Dieses Ziel verfolgt die Opposition in Schleswig-Holstein. Finanziert werden soll das Projekt aus dem Versorgungssicherungsfonds.
Mögliche Pläne des Gesundheitsministers, beim Impfen gegen Corona ab Januar wieder auf die Regelversorgung zu setzen, rufen die Vorstände der KBV auf den Plan.
Die Pandemie hat die seelische Gesundheit von über 50-Jährigen stark strapaziert. Auch viele ehemals psychisch Gesunde entwickelten unter der Belastung Depressionen, berichtet ein Team aus Kanada.
Die gesunkene Zahl an durchgeführten Standardimpfungen bereitet in Sachsen Sorge. Der Öffentliche Gesundheitsdienst müsse ausgebaut werden, um mehr zu beraten, fordert eine Abgeordnete.
Die Pandemie hat offen gelegt, dass Deutschland in der Herz-Kreislauf-Medizin – auch in Krisenzeiten – über intakte Versorgungsstrukturen verfügt, schreibt Professor Thomas Voigtländer in der Ärzte Zeitung.
COPD-Kranke mit schwerer chronischer Dyspnoe profitieren nicht von niedrigdosiertem Morphin, ergab eine kontrollierte Studie. Die Atemnot geht unter Morphin nicht stärker zurück als unter Placebo.
Über-60-Jährige und Risikogruppen sollten sich jetzt impfen lassen, appellieren Deutsche Gesellschaft für Geriatrie und Deutsche Gesellschaft für Pneumologie und Beatmungsmedizin.
Die geschätzte Zahl der HIV-Neuinfektionen in Deutschland stagniert. Laut dem Robert Koch-Institut ist sie so niedrig wie bei der Jahrtausendwende – dies sei aber kein Grund, sich zurückzulehnen.
Weil sie über die Anzahl getesteter Personen falsche Angaben gemacht haben sollen, starteten die Ermittlungsbehörden in Niedersachsen Razzien bei sechs Verdächtigen. Es geht um sechsstellige Beträge.
Nach einer Corona-Impfung an einer Schule erlitt eine Lehrerin körperliche Schäden. Ein Arbeitsunfall liegt nicht vor, so das Gericht. Denn die Aktion war nicht von der Schule organisiert.
In Baden-Württemberg ist die Zahl der alkoholbedingten Einweisungen bei 13- bis 19-Jährigen stark gesunken. Im Vorjahr wurden junge Frauen fast gleich häufig eingeliefert wie junge Männer.
Eine mit Sensoren und Stimulatoren ausgestattete Wundauflage soll die Heilung überwachen und beschleunigen, berichten Ingenieure aus den USA. Der Prototyp hat vielversprechende Eigenschaften.
Ein Vorstoß, die Maskenpflicht im öffentlichen Nahverkehr einheitlich zu beenden, kommt aus Bremen. Darüber beraten sollen die Länder-Verkehrsminister am 29. November.
Lieferengpässen bei Arzneimitteln und Wirkstoffen will Bundesgesundheitsminister Karl Lauterbach mit einer Änderung des Vergaberechts begegnen. Ein Gesetzentwurf soll in Kürze kommen.
Die Fehltage im Job haben mit 6,7 Prozent einen neuen Oktober-Höchststand erreicht, meldet der BKK Dachverband. Die Herbstwelle wird vor allem von Atemwegserkrankungen befördert.
Der vom G-BA vorgelegte Bericht zum Qualitätsmanagement bescheinigt Arztpraxen ein hohes Engagement bei der Anwendung der einzelnen QM-Instrumente. Ein Ausreißer bildet das Schmerzmanagement.
Augenarzt Johannes Schwartzkopff setzt in seiner Gemeinschaftspraxis in Lörrach auf flache Hierarchien und einen individuellen Arbeitsstil. Die Versorgung ist gesichert.
Für Kinder im Alter von 5 bis 11 Jahren steht der erste an die BA.4/BA.5-Virusvarianten angepasste COVID-19-Impfstoff zum Boostern bereit. Arztpraxen können die Vakzine von BioNTech/Pfizer nun bestellen.
Nicht leichtsinnig werden, die Coronavirus-Pandemie ist noch nicht vorbei, warnt Gesundheitsminister Lauterbach. Und kritisiert Bayern und Schleswig-Holstein, weil sie überlegen, die Maskenpflicht zu lockern.
Seit zehn Jahren ist das Endoprothesenregister Deutschland (EPRD) am Start. Inzwischen können Ärzte daraus therapeutischen Mehrwert generieren. Das soll so bleiben, fordern die Verantwortlichen.
Stellen Ärzte ein Attest ohne körperliche Untersuchung aus, können sie sich damit strafbar machen, urteilt ein Oberlandesgericht. Bei einem falschen ärztlichen Gesundheitszeugnis ist sogar eine Freiheitsstrafe möglich.
In den Pandemiejahren hat die Krebsvorsorge deutlich gelitten. Damit die Vorsorge wieder stärker in den Fokus der Menschen rückt, rufen die Krebsgesellschaft und die AOK den „Tag der Krebsvorsorge“ aus.
Kooperation
|
In Kooperation mit: AOK-Bundesverband
In Deutschland wird es den Menschen trotz Screeningangeboten nicht immer leicht gemacht, Vorsorgeuntersuchungen wahrzunehmen, meint der Präsident der Krebsgesellschaft, Prof. Thomas Seufferlein.
Kooperation
|
In Kooperation mit: AOK-Bundesverband
In Deutschland und anderen Ländern gewinnt die Corona-Subvariante Omikron BQ.1.1 an Bedeutung. Analysen zufolge ist sie gegen alle derzeit verwendeten therapeutischen Antikörper resistent.
Das Risiko, Gicht zu bekommen, wird auch von kardiovaskulären Risikofaktoren wie Adipositas, Fettstoffwechselstörungen, Hypertonie und Diabetes beeinflusst. Studienergebnisse aus Korea bestätigen dies.
Wer in Nordrhein-Westfalen an COVID-19 erkrankt ist, muss sich nach fünf Tagen Isolierung nicht mehr freitesten – außer er oder sie arbeitet in einer medizinischen Einrichtung.
Zwischenzeitlich stapelten sich 50.000 offene Anträge auf Entschädigung gemäß Infektionsschutzgesetz. Nach einem Kraftakt liegt Brandenburg bei der Bearbeitung jetzt bundesweit auf Platz 2.
Bei der Multiplen Sklerose (MS) ist das Ausmaß der Hirnatrophie mit messbaren Effekten auf die Symptomlast und Behinderungsprogression klinisch relevant. Daher erörterten Expert*innen der Neurologie ...
Sonderbericht
|
Mit freundlicher Unterstützung von:
Sanofi-Aventis Deutschland GmbH, Frankfurt/Main
Asthma-Patienten haben wohl ein erhöhtes Risiko, Plaques in den Karotiden zu entwickeln. Der Schweregrad der Asthmaerkrankung scheint darauf einen Einfluss zu haben.
Komplexe Operationen an Ösophagus und Pankreas sind im kommenden Jahr weit weniger Krankenhäusern in Hessen erlaubt als bislang. Die AOK wünscht sich Mindestmengen-Regeln für noch weitere Eingriffe.
Nach einer zweiten Sectio ist das Risiko für eine spätere Beckenboden-Operation wohl geringer als nach vaginaler Entbindung bei einer zweiten Schwangerschaft. Darauf weisen jetzt wieder Ergebnisse einer neuen Studie hin.
Mehrbedarf, Corona-Kosten, Personalmangel und ein Urteil aus Karlsruhe: Bei der Pflegeversicherung sieht sich die Ampelkoalition erheblichen Herausforderungen gegenüber. Rufe nach Reformen werden lauter.
Die TK hat mit drei Fachkliniken einen Vertrag zur Erhöhung der Qualität in der Knie- und Hüftendoprothetik geschlossen. Instrumente sind ein Patientenmonitoring und die ergebnisorientierte Vergütung.
Die CompuGroup Medical weitet ihre Geschäftsaktivitäten aus: Unter anderem wird ein Unternehmen integriert, das mit seiner Software helfen kann, Patienten mit seltenen Erkrankungen zu identifizieren.
Die Leipziger Richter haben sich mit zwei Corona-Schutzmaßnahmen beschäftigt: Die ganztägige Ausgangssperre in Bayern war unverhältnismäßig, Restaurantschließungen in Sachsen aber in Ordnung.
Bei akuter Bronchitis und Erkältung verbessert ein Spezialextrakt aus der Wurzel der Kapland-Pelargonie Husten und krankheitsbedingte Lebensqualität – so die Ergebnisse einer Metaanalyse.
Oft vergehen Jahre, bis die Herzerkrankung INOCA erkannt wird. Die Myokardszintigraphie ermöglicht die Diagnose der mit gesteigertem Infarkt- und Schlaganfallrisiko einhergehenden Erkrankung.
Eine Cytomegalievirus-Infektion ist die bedeutendste Infektion nach hämatopoetischer Stammzelltransplantation oder solider Organtransplantation. Für Betroffene ist jetzt Maribavir eine Therapieoption.
Checkpointhemmer wirken gegen fortgeschrittene Plattenepithelkarzinome des Ösophagus. Was fehlt, ist ein Effektivitätsvergleich der einzelnen Regime. Nun liegt eine chinesische Studie zu dem Thema vor.
Werden Patienten mit Epilepsie operiert, kommt es in seltenen Fällen langfristig zu kognitiven Leistungseinbrüchen. Bonner Forscher haben herausgefunden, welche Patienten ein hohes Risiko dafür haben.
Herpes zoster, Myokarditis, Guillain-Barré-Syndrom – immer wieder werden diese Erkrankungen im Zusammenhang mit einer Impfung gegen SARS-CoV-2 genannt. Doch verschiedene Studien geben ein anderes Bild wieder.
Das Impfhonorar für SARS-CoV-2-Impfungen ist hoch, der Dokumentationsaufwand dennoch unangemessen. In einem Brief an Minister Lauterbach fordert der KBV-Vorstand Abhilfe.
Können illegal Eingereiste im Herkunftsland nicht ausreichend versorgt werden, dürfen sie nicht abgeschoben werden, urteilt der EuGH. Geklagt hatte ein krebskranker Russe.
Belastbare epidemiologische Zahlen zur Epidermolysis bullosa gibt es für Deutschland nicht – wären aber zur Verbesserung der Versorgungssituation wichtig. Im Rahmen einer bevölkerungsbasierten Querschnittstudie haben Ärzte nun versucht, die Inzidenzen zu beziffern.
Ein niedriges HDL-C zeigt offenbar nur bei der weißen Bevölkerung ein erhöhtes Herzinfarkt-Risiko an, nicht aber bei Schwarzen. Und hohe Werte bedeuten einer US-Studie zufolge keinen Schutz.
In Hessen ab Mittwoch, ab Samstag in Rheinland-Pfalz gilt: Wer mit Corona infiziert ist, muss sich nicht mehr isolieren, aber in der Öffentlichkeit eine Maske tragen.
Um als Europäische Union gestärkt aus der Corona-Pandemie herauszugehen, setzt die EU-Kommission auf eine Gesundheitsunion. Der Haushalt für 2023 spiegelt die Prioritäten wider.
Der Berufsverband Deutscher Laborärzte kritisiert den Beschluss einiger Bundesländer, dass Corona-Infizierte sich nicht mehr absondern müssen. Von der Entscheidung gehe ein trügerisches Signal aus.
Schlägt die Therapie bei Patienten mit häufigen unerklärlichen Bauschmerzen nicht an, sollten Ärzte aufhorchen. In solchen Fällen raten Gastroenterologen, eine Handvoll seltene Ursachen in die Diagnostik einzubeziehen.
Mit einer Rosazea steigt offenbar das Risiko für aktinische Keratosen sowie für Plattenepithel- und Basalzellkarzinome. Einen Zusammenhang mit dem Melanomrisiko scheint es nicht zu geben.
Welche Symptome sprechen für eine virale Bindehautentzündung und in welchen Fällen können Ärzte mit einer hohen Wahrscheinlichkeit von einer bakteriellen Konjunktivitis ausgehen? Eine Metaanalyse gibt einen Überblick.
Die EU-Staaten sollen die Corona-Delle bei Krebsscreenings ausbeulen und sich stärker in der Krebsbekämpfung engagieren. Als Rückgrat dienen die reformierten Empfehlungen zur Krebsfrüherkennung.
Psychiater könnten eher Freiverantwortlichkeit begutachten, aber nicht Motivation. Dann gerieten sie nämlich in einen schweren ethischen Konflikt, sagt DGPPN-Präsident Professor Thomas Pollmächer zum Thema ärztliche Suizidassistenz.
Eher wenige chronisch kranke Menschen wollen wirklich sterben, sagt der Schmerzmediziner Norbert Schürmann zum Thema ärztliche Suizidassistenz. Das Wissen, unterstützt zu werden, wenn sie ihr Leben beenden möchten, stütze diese Menschen.
Ein deutschlandweites Sicherheitsnetz mit 24 Zentren aus Kliniken und Schwerpunktpraxen soll die Chancen der optimierten Anwendung oraler Antitumor-Wirkstoffe ausloten.
Nach langen Debatten und viel Kritik erwägt jetzt auch der Bund ein Ende der einrichtungsbezogenen Corona-Impfpflicht. Im Streit um das Aus der Isolationspflicht bleibt es bei einem klaren Nein.
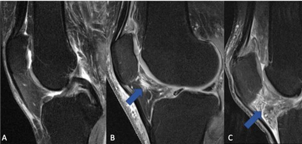
Radiologen in den USA haben Gonarthrose-Patienten mit und ohne NSAR-Therapie über vier Jahre begleitet. Sie fanden keinerlei Wirksamkeit der NSAR gegen die Entzündung und die Krankheitsprogression.
Bei einer Grundimmunisierungsrate von fast 90 Prozent könne der Impfbedarf von Arztpraxen gedeckt werden, sagt Landesgesundheitsminister Clemens Hoch (SPD): Deshalb werden die Corona-Impfzentren geschlossen.
Laut Umfrage der AOK Hessen spielt Corona für 50 Prozent der Menschen in ihrem persönlichen Alltag keine Rolle mehr. Fast ein Viertel der Befragten würde trotz Corona-Diagnose sogar arbeiten gehen.
Rheumatologen fordern die enge Einbeziehung von Geriatern in die geronto-rheumatologische Versorgung. Geriater wollen in allen Disziplinen vertreten sein, hieß es beim 31. Geriatrietag in Heidelberg.
Während der Delta- und Omikron-Welle hatte die USA im Vergleich zu 17 ähnlichen Ländern die höchste Exzess-Mortalität. Wo liegt Deutschland im Vergleich?
Ein Wirkstoff aus dem Dornhai scheint die Verstopfung bei Parkinsonkranken spürbar zu lösen. In einer Studie konnte Squalamin die Stuhlgangfrequenz mehr als vervierfachen.
Mit Erlaubnis eines Gerichts dürfen Ärzte in Großbritannien das Baby einer 16-Jährigen per Kaiserschnitt zur Welt bringen – ohne Einwilligung der jungen Mutter. Die Mutter leide unter anderem an einer Angststörung.
Mit Dr. Michael Hubmann, Angela Schütze-Buchholz und Dr. Stefan Trapp stehen ab Dezember 2023 drei Neue für das BVKJ-Präsidium bereit. Vorgesehen ist eine einjährige Einarbeitung.
Dass die SARS-CoV-2-Pandemie teuer sein wird, war den meisten Akteuren klar. Jetzt gibt es konkrete Zahlen aus Bayern, wie viel die Bekämpfung von COVID-19 den Freistaat gekostet hat.
Wo verorten sich Ärztinnen und Ärzte in ihrer Rolle, die ihnen womöglichder Gesetzgeber beim assistierten Suizid geben wird? Wir haben die Vertretervon drei großen medizinischen Fachgesellschaften gefragt.
Mit Eszopiclon, dem S-Enantiomer von Zopiclon, können Schlafstörungen effektiv adressiert werden. Es gibt keine Hinweise auf Toleranzphänomene auch in der Langzeitbehandlung von bis zu sechs Monaten bei Patientinnen und Patienten mit chronischer Insomnie.
Das Positionspapier der „Lancet Commission on COPD“ soll keine Leitlinie, sondern eine nachdrückliche Anregung sein, betont Professorin Daiana Stolz vom Uniklinikum Freiburg im Interview.
Die COPD vom Erdball zu eliminieren, ist das Ziel international renommierter Lungenspezialisten. In einem Positionspapier machen sie dafür Vorschläge – und stellen auch klar, dass COPD nicht nur eine Raucherkrankheit ist.
In Karlsruhe wird die Nutzung von Künstlicher Intelligenz in der Versorgung forciert – mit echten Gesundheitsdaten. Das soll auch die Translation weiter beflügeln.
Die richtige Balance zwischen Schonen und körperlicher Forderung ist für Patienten mit Krebs, Herzerkrankungen und orthopädischen Problemen schwer zu finden. Helfen soll nun eine E-Health-Lösung, die auch den ständigen Kontakt zur Praxis ermöglicht.
Trotz verbesserter medikamentöser Therapie haben Patienten mit pulmonal arterieller Hypertonie noch immer eine schlechte Prognose. Eine randomisierte Studie spricht nun für eine Wirkung der Ablation.
Mit dem Antikörper Pepinemab lässt sich womöglich die Neurodegeneration bei Morbus Huntington verzögern. Darauf deuten Ergebnisse einer Phase-II-Studie hin.
Bei muskulär-bedingten Rückenschmerzen sind NSAR Muskelrelaxantien unterlegen. Neue Daten einer Meta-Analyse und aus der „Real World“ sprechen für den Einsatz von Pridinol.
Bei neu auf DOAK eingestellten Patienten mit Vorhofflimmern und Herzklappenerkrankungen geht Apixaban wohl seltener mit ischämischen Schlaganfällen, systemischen Embolien und schweren Blutungen einher.
In den vergangenen Jahren wurden viele wissenschaftliche Studien veröffentlicht, deren Ergebnisse erhebliche Zweifel an den gesundheitlichen Vorteilen künstlicher Süßstoffe jeglicher Art nähren, schreibt unser Gastautor Professor Stephan Martin.
Bei Typ-2-Diabetes mit Basalinsulin-Therapie hilft kontinuierliches Glukosemessen (CGM) mit FreeStyle Libre® offenbar, die Rate Diabetes-bedingter Hospitalisierungen zu senken.