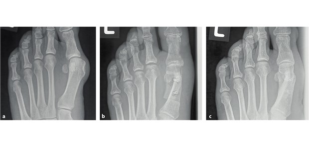
Abb. 1: Korrektur eines Hallux valgus: Die Röntgenbilder zeigen einen mit MgYREZr-Schrauben versorgten Hallux valgus am linken Fuß vor der Operation(a), mehrere Wochen(b) und ein Jahr nach der Operation(c)

© Syntellix AG

Bioresorbierbares Implantat in Orthopädie und Chirurgie

MgYREZr-Implantate als Titanersatz

Sonderbericht | Mit freundlicher Unterstützung von: Syntellix AG, Hannover
ST-Hebungsinfarkt: Evidenz zur Therapie von multimorbiden alten Betroffenen fehlt bisher.

© Science Source / mauritius im

Herzinfarkt bei Senioren

Studie spricht für invasive Therapie bei STEMI

Nur noch wenige junge Mädchen in Japan lassen sich gegen HPV impfen.

© arcyto / stock.adobe.com

Folgenreiche Fake News

HPV-Impfung in Japan verteufelt

Wissenschaftler haben die wichtigsten Erkenntnisse zum Schlaganfall während der International Stroke Conference zusammengetragen.

© undefined undefined / Getty Images

International Stroke Conference

Das ist neu in der Schlaganfall-Therapie

Kommentar – Innovatives Erstattungsmodell bei CART-T-Zelltherapie

Gezahlt wird für den Erfolg

Schmerzmediziner kritisieren „Leitlinienindustrie“

© deagreez / stock.adobe.com

DGS

Schmerzmediziner kritisieren „Leitlinienindustrie“

Herzfrequenz-Monitor auf der Smartwatch.

© ra2 studio - stock.adobe.com

Sinnvoll oder nicht?

Vorhofflimmern-Screening mit der Smartwatch

Kommentar – Tripper-Therapie

Vermeintliche Sicherheit

Etwa die Hälfte der jüngeren Darmkrebspatienten hat ein familiäres Risiko, von dem die meisten aber nichts wissen.

© kei907 / stock.adobe.com

Darmkrebs-Vorsorge

„Prävention ist das Zukunftsthema“

Analysten

Legaler Cannabismarkt wird boomen

Landessozialgericht Hessen

Tonerstaub macht nicht generell krank

EMPA-Kidney-Studie

Empagliflozin zur Therapie für Nierenkranke

Cannabis kann seit zwei Jahren in der Schmerztherapie eingesetzt werden.

© Iriana Shiyan / stock.adobe.com

Cannabis in der Schmerzmedizin

Wenig Evidenz, kein Missbrauch

Auf einer Agarplatte zeigt sich die Hemmwirkung der Pseudomonas-Bakterien besonders deutlich: Der Krankheitserreger Bacillus thuringiensis kann in ihrer Nähe nicht gedeihen. Dr. Sabrina Köhler

© Dr. Sabrina Köhler

Forschung

Darmbakterien wehren Krankheitserreger ab

Mammografie: Trotz des größeren Drucks bei der Selbstkompression der Brust, gaben die Patientinnen weniger Schmerzen an.

© choja / Getty Images / iStock

Mammografie

Gute Erfahrungen bei Brust-Selbstkompression

In der Schwangerschaft ist das Immunsystem herunterreguliert. Grippeviren gefährden dann Mutter und Kind.

© artem /stock.adobe.com

Frühgeburt und Co.

Schwangere mit Influenza gefährden ihr ungeborenes Kind

Je ungesünder mit Blick auf die kardiovaskuläre Situation MS-Patienten lebten, desto weniger graue Substanz hatten sie.

© psdesign1/Fotolia

MS-Patienten

Lebensstil beeinflusst Hirnatrophie

Zum Download

RKI bringt Faktenblatt zur HPV-Impfung heraus

Kardiologie

GBA bewertet telemedizinisches Herzinsuffizienz-Programm

Masernausbruch in Hildesheim

Ohne Impfung keine Schule

Mäusestudie

So lassen sich Stammzellen wieder wecken

Kommentar – Kommentar zum Schmerztag

Das Maß für gute Medizin

GBA-Beschluss

Impfung gegen Gürtelrose wird Kassenleistung

ErgoJack mit arretierbarem Hüftgelenk und Beinbügel unterstützt beim Heben schwerer Lasten.

© Armin Okulla

ErgoJack

Soft-Orthese animiert zu ergonomischen Bewegungen

Die Autismus-Rate war in der Studie bei MMR-geimpften sowie ungeimpften Kindern gleich hoch.

© Dmitry Naumov / stock.adobe.com

In riesiger Studie bestätigt

MMR-Impfung ist nicht mit Autismus assoziiert

Onkologie

Myelom-Patient erhält T-Zell-Rezeptor-basierte Immuntherapie

Kurz vor dem Ziel: Wie Spermien ans Ziel kommen, ist auch Forschungsobjekt.

© Denys Rudyi / stock.adobe.com

Immer mit dem Kopf an der Wand entlang

Forscher untersuchen, wie Spermien schwimmen

Prostata im Fokus: Forscher haben die Betreuung von Patienten mit Niedrigrisiko-Prostata-Ca unter die Lupe genommen.

© hakan çorbac / fotolia.com

Studie

Ist die eine oder andere Prostata-Biopsie verzichtbar?

Ingelore Leppin, Bewohnerin im Alten- und Pflegeheim Heinemanhof, fährt mit der speziell für Ältere entwickelte Spielekonsole "MemoreBox" auf einem Motorrad.

© Hauke-Christian Dittrich/dpa

Zocken im Pflegeheim

Haben Videospiele therapeutischen Effekt für Senioren?

Klimawandel

Mehr Vitien durch globale Erwärmung?

Ist das Belastungs-EKG noch ratsam? Wichtig ist, zunächst immer die Vortestwahrscheinlichkeit zu bestimmen, betont ein Experte.

© Klaus Eppele / stock.adobe.com

Bei Verdacht auf KHK

Belastungs-EKG hat fast ausgedient

Eine intravenöse Interventionstherapie kann exazerbierte Schmerzen lindern.

© KatarzynaBialasiewicz / Getty Images / iStock (Symbolbild)

Einfache Regeln

Tipps für Tumorschmerz-Therapie

Bei Wechseljahresbeschwerden besser auf transdermale Hormonpräparate zurückgreifen?

© RFBSIP / stock.adobe.com

Hormonersatz im Klimakterium

Besser Kleben oder Schlucken?

Hepatitis D kommt nur bei Menschen mit Hepatitis B vor.

© Springer Medizin Verlag GmbH

HIDIT-II-Studie

Heilungsraten bei Hepatitis D nach wie vor suboptimal

Medizinisches Cannabis – seit zwei Jahren kann es in Deutschland regulär verordnet werden.

© Jose S / Getty Images / iStock

Suchtstoffkontrollrat

Warnung vor laxer Kontrolle von medizinischem Cannabis

Herzschwäche

Forschung zum Barth Syndrom wird gefördert

Kommentar

Masern werden unterschätzt

PHILOS-Förderpreis

Unterstützer bei Hämophilie ausgezeichnet

Krebstherapie

Methadon weiter in der Diskussion

268 g Geburtsgewicht

Kleinstes männliches Baby der Welt kommt aus Tokyo

Beim neuen Darmkrebs-Screening ist geplant, dass Medizinische Fachangestellte (MFA) Patienten zu iFobt und Kolosokopieverfahren beraten.

© AOK-Mediendienst (Symbolbild)

Darmkrebs-Screening

MFA sollen beraten

Die Behandlung von betagten Patienten mit Bluthochdruck sollte individuell erfolgen, betonen die Studienautoren.

© Picture-Factory / stock.adobe.com

Berliner Initiative Studie

Wie gut tut Senioren die Blutdrucksenkung?

Neue Perspektiven für die Migräneprophylaxe

© Sebastian Kaulitzki / Fotolia

CGRP-Antikörper

Neue Perspektiven für die Migräneprophylaxe

Bei weniger als sechs Stunden Schlaf ist das kardiovaskuläre Risiko deutlich erhöht.

© Dan Race / Fotolia

Beobachtungsstudie

Bei schlechtem Schlaf leiden die Arterien

Flüssiger Stickstoff mit Stammzellen. Einem HIV-Patienten hat jetzt eine Stammzelltransplantation möglicherweiser eine Heilung ermöglicht.

© Pablo_K / Getty Images / iStock

Stammzelltherapie

HIV-Remission bei zweitem Patienten

Modellrechnung

Vorsorge-Darmspiegelung bereits ab 50!

Hilfe für Patienten mit therapieresistenter Depression: Ein neues Nasenspray mit Esketamin soll für eine schnelle Besserung sorgen.

© Srdjanns74 / Getty Images / iStock

Esketamin in den USA

Nasenspray gegen Depression zugelassen

Bei der Analgesie älterer Patienten ist vor allem auf Nieren- und Leberfunktion zu achten.

© Peter Maszlen / Fotolia

Schmerztherapie bei Senioren

Aktivität erhalten, Risiken mindern

Es ist wichtig, fetalen strukturellen Anomalien im Sonogramm auf den Grund zu gehen. Was bringt die Sequenzierung des Gesamtexoms?

© nyul / Fotolia

Pränataldiagnostik

Gesamtes Exom gerät in den pränatalen Fokus

Erbliche Netzhauterkrankungen

Biogen setzt mit Nightstar-Akquise auf Gentherapien

Der Patient mit seinen Erkrankungen und Haltungen soll bei der Schmerzbehandlung im Mittelpunkt stehen, betont die DGS.

© jaddingt / fotolia.com

DGS fordert beim Schmerz- und Palliativtag

Schmerzbehandlung nicht stur nach Leitlinien ausrichten

7. und 8. März

Telefonaktion zu Darmkrebs

Psychische Erkrankungen

Esketamin punktet bei therapieresistenter Depression

Nicht verwechseln!

Belastungsschmerz oder Durchbruchschmerz?

„Tag der gesunden Ernährung“

Patienten-Infos zu Krebs und Übergewicht

Der seit 2010 verbindliche EU-Grenzwert für Stickstoffdioxid (NO2) von 40 µg / cm3 Luft ist in die Kritik geraten.

© PhotographyByMK / stock.adobe.com

Leopoldina

Votum zu Luftschadstoffen soll noch im Frühjahr kommen

IT-gestütztes Krankheitmanagement: Bei Diabetologen längst Alltag.

© Roche Diabetes Care

Umfrage

Digitale Schulungen kommen bei Diabetologen gut weg

Im Kampf gegen Kreuzweh bringt eine multimodale Behandlung eine Besserung.

© selimaksan / iStock / Thinkstock

Multimodale Therapie

Rückenschmerzen nachhaltig gelindert

Die Mehrheit der vom BIA-ALCL betroffenen Frauen hatte Implantate mit rauer Oberfläche eingepflanzt bekommen.

© mailsonpignata / stock.adobe.

US-Behörde rüttelt wach

Brustimplantate als Ursache von Lymphomen?

Fünf wöchentliche Akupunktursitzungen scheinen bereits die Menopausenbeschwerden deutlich zu lindern, ergab eine Praxisstudie.

© Severin Schweiger / panthermedia.net

Praxisstudie

Akupunktur lindert Menopausebeschwerden

Bei Polymedikation

So gelingt der Einstieg in die Opioid-Therapie

Schnell ist etwas verschluckt - etwa Knopfbatterien. Was schützt Kinder vor schweren Verätzungen?

© amixstudio / stock.adobe.com

Mit Honig gegen Verätzung

Wenn eine Knopfzelle verschluckt wird

Herzensangelegenheit: Frauen sollten bei akuten Beschwerden am Herzen zügiger den Notarzt anrufen, raten Kardiologen.

© Ben-Schonewille / Getty Images

Kardiologen

Bei Herzinfarkt-Symptomen sind Frauen oft zu zögerlich

Azithromycin-Resistenzen bereiten große Sorgen, weil sie die duale Therapie bei Patienten mit Tripper – immerhin die zweithäufigste sexuell übertragene Infektion – schwächen.

© KATERYNA KON / Science Photo Library / mauritius images

Seuchenbehörde

Tripper – ECDC besorgt wegen Resistenzen

Postherpetische Neuralgien

Herpes-zoster-Impfstoff schützt auch vor PHN

Schmerzantwort „hoch drei“

Schmerz löst im Gehirn diese Reaktionen aus

Wenn das Spiel zur Sucht wird: Jeder vierte Risiko-Gamer spielt am Wochenende fünf Stunden und mehr am Tag, ergab eine aktuelle Studie.

© Anastassiya /stock.adobe.com

Computerspiele

Experten warnen vor Suchtgefahr für Kinder

Medizinisches Cannabis: Seit zwei Jahren wächst die Nachfrage deutlich.

© SageElyse / Getty Images / iStock

Zwischen Boom und Skepsis

Cannabis auf Rezept – Wie hoch ist die Nachfrage?

Nosokomiale Infektionen

Fördert zu viel Klinikhygiene Resistenzen?

Kind mit Masern: Drei Viertel der Zuwächse gehen auf nur zehn Länder zurück.

© Jim Goodson / M.P.H.

UNICEF

Masern bedrohen immer mehr Kinder

Sieben Wochen alter Fötus in einer Fruchtblase. Bei etwa fünf Prozent der Frauen mit unerfülltem Kinderwunsch kommt es immer wieder in einer solch frühen Schwangerschaftsphase zu einem Abort.

© Peter Endig / dpa

Schwangerschaft

Sorgt eine Immunreaktion für Spontanaborte?

Bei Schnupfen oder Grippe kommen Taschentücher verstärkt zum Einsatz.

© David Stuart / stock.adobe.com

Robert Koch-Institut

Grippewelle schwillt nicht weiter an

Täglich messen und versenden? Den Nutzen für Patienten mit chronischer Herzschwäche soll der GBA jetzt prüfen.

© sapsan777 / stock.adobe.com

E-Health

Spitzenverband von Herzprojekt angetan

Asthma-DMP

Rechtzeitige Dokumentation angemahnt

Schlafmedizin

Pneumologen sehen Schlaflabore in Gefahr