Deutschland legt innerhalb der EU am wenigsten die regulatorischen Daumenschrauben an, wenn es um Prävention in puncto Alkohol, Tabak, E-Dampf und Zucker geht, so eine aktuelle Untersuchung. Das könnte die Zuckerdebatte befeuern.
Mit einem Paukenschlag will Gesundheitsminister Jens Spahn die Impfmüden im Land aufrütteln. Nach den Masernausbrüchen der jüngeren Vergangenheit beendet der Minister zumindest für eine Indikation die Freiwilligkeit der Impfentscheidung. Und der Zwang gilt nicht nur für Kinder.
Die meisten der jährlich 1500 Todesfälle an Zervixkarzinom bei uns ließen sich durch HPV-Impfungen verhindern. Durch unsachliche Beiträge zu angeblichen Impfschäden gehen die Impfraten zurück. Das Paul-Ehrlich-Institut hält dagegen.
Sachsens Gesundheitsministerin Barbara Klepsch (CDU) hat einen neuen Maßnahmenplan für gefährliche Infektionskrankheiten erarbeiten lassen. Auf ihn könnten die Gesundheitsämter im Freistaat zugreifen.
Kranke Kinder haben ein Recht darauf, dass auf ihre Bedürfnisse eingegangen wird. Ökonomische Zwänge stehen dem im klinischen Alltag immer häufiger entgegen, heißt es beim 1. Deutschen Kindergesundheitsgipfel.
Zum Welthändehygienetag am 5. Mai rührt die WHO die Werbetrommel für mehr und richtige Händehygiene in der medizinischen und pflegerischen Versorgung. In Deutschland bewährt sich das Modell der Compliance-Beobachtung in Kliniken.
Auf Organen aus dem 3D-Drucker ruhen große Hoffnungen. Noch sind sie Zukunftsmusik. Aber Forscher machen Fortschritte: US-Kollegen haben eine künstliche Lunge gedruckt – die auch funktioniert.
Bei US-amerikanischen Jungen im Alter zwischen zehn und 17 Jahren war die Rate der Suizide im Monat nach der Ausstrahlung der Buchverfilmung „Tote Mädchen lügen nicht“, im Original „13 Reasons Why“, signifikant um 29 Prozent erhöht (
Weltweit steigen die Erkrankungszahlen an Malaria wieder. Die meisten Todesfälle gab es 2017 bei Kindern in Afrika. Dort will die WHO jetzt mit einem Impfstoff die Krankheit eindämmen.
Die Familie schafft Sicherheit - manchmal kosten sie aber auch das Leben. Eine Studie hat ergeben, dass Patienten nach Apoplexie schneller in eine Klinik eingeliefert werden, wenn Freunde, Nachbarn oder Kollegen statt Familienmitgliedern in der Nähe sind - Die Ursache: Kollegen dulden keine Diskussion.
Systemische Amyloidosen sind seltene Erkrankungen, die durch die Ablagerung pathologischer Proteine in den verschiedenen Organen charakterisiert sind. Entsprechend vielgestaltig und unspezifisch sind die Symptome, so dass die Diagnose meist erst relativ spät gestellt wird.
Novo Nordisk hat bei der europäischen Arzneimittelagentur EMA einen Zulassungsantrag für eine orale Form seines Antidiabetikums Semaglutid eingereicht. Semaglutid ist das erste GLP-1-Analogon, das auch als Tablette entwickelt wurde.
Husten ist ein Symptom sehr vieler Erkrankungen. Die deutschen Pneumologen stellten ihre aktuellen Empfehlungen zur Diagnostik und Therapie beim Internistenkongress vor.
Vor Beginn des muslimischen Fastenmonats Ramadan weisen der Kinderschutzbund (DKSB) und der Berufsverband der Kinder- und Jugendärzte (BVKJ) auf mögliche Folgen des Fastens für Kinder und Jugendliche hin.
Sollten Patienten nach Rekonstruktion einer Rotatorenmanschettenruptur den Arm in der Schlinge tragen oder nicht? Orthopäden haben die Optionen verglichen.
Patienten mit leichter kognitiver Einschränkung oder Demenz mit unbekannter Ätiologie einem Amyloid-PET zu unterziehen, ist kein diagnostischer Selbstzweck - oft beeinflusst das Ergebnis die Versorgung.
Der Zusatznutzen von Nucala® (Mepolizumab) bei schwerem refraktärem eosinophilem Asthma lässt sich einem Beschluss des GBA vom 22.03.2019 zufolge bei der adulten Teilpopulation nicht auf Grundlage eines Evidenztransfers auf Kinder und Jugendliche übertragen.
Dr. Martina Wenker will Nachfolgerin von BÄK-Chef Montgomery werden. Im Interview mit der 'Ärzte Zeitung' spricht sie über die Gründe für ihre Kandidatur, ihre Ziele und die drängendsten Aufgaben.
Zunächst hielten Ärzte den nässenden Knoten für eine Wundinfektion nach Nabelbruch-Op. Doch schließlich entpuppte es sich als Metastase eines Pankreas-Karzinoms.
Experten haben für „Test“ Diabetes-Arzneien von „geeignet“ bis „wenig geeignet“ eingestuft. Neue Studiendaten haben sie dabei offenbar ausgeblendet. Hätte die Zeitschrift sich doch nur auf ihre guten Patientenbeispiele beschränkt.
Ihre 50. Tagung nimmt die Deutsche Dermatologische Gesellschaft (DDG) zum Anlass, nochmals auf die frühzeitige Prävention von UV-bedingten Hautschäden bereits im Kindesalter hinzuweisen.
Ersticken gehört zu den häufigsten Ursachen für tödliche Unfälle von Säuglingen. Dabei wären sie häufig durch Maßnahmen für einen sicheren Schlaf zu vermeiden.
Wie lässt sich Telemedizin in den dermatologischen Praxisalltag integrieren? In Brandenburg sehen Ärzte viel Zukunftspotenzial - aber auch einige Hürden. Problem: Jeder versteht unter dem Schlagwort etwas anderes.
Von inhalativen Steroiden profitieren COPD-Patienten besonders in fortgeschrittenen Stadien mit regelmäßigen Exazerbationen und Blut-Eosinophilie, so die GOLD-Empfehlungen.
Hygiene ist der natürliche Feind nosokomialer Krankenhausinfektionen. Mit ihnen infizieren sich nach Berechnungen des Nationalen Referenzzentrums für die Surveillance nosokomialer Infektionen (NRZ) jedes Jahr rund 600.000 Patienten in deutschen Kliniken.
Um Botulismus zu diagnostizieren, sind bislang belastende Tierversuche mit Mäusen vorgeschrieben. Forschern ist es gelungen, eine alternative Methode für den Nachweis von Botulinum Neurotoxinen (BoNT) zu entwickeln, teilt das Robert Koch-Institut (RKI) mit.
Wie schwierig es sein kann, einen Befall mit exotischen Parasiten zu erkennen, zeigt der Fall eines 45-jährigen Patienten, der seit 13 Jahren in Ghana lebt.
Die Qualität künstlichen Hörens ließe sich offenbar verbessern, wenn die Hörbahn mit Licht statt elektrischem Strom stimuliert wird, berichtet die Unimedizin Göttingen.
Das Gen TP63 kann zur Entstehung von Lippen-Kiefer-Gaumenspalten beitragen, und zwar nicht nur zur syndromalen, sondern auch zur isolierten Form, teilt die Uni Bonn mit.
Stell‘ Dir vor, es ist Kindergesundheitsgipfel und kaum jemanden interessiert’s. Zugespitzt könnte so die Überschrift über den 1. Deutschen Kindergesundheitsgipfel lauten, der heute Nachmittag in Tutzing zu Ende geht.
Viele Ungeimpfte sind keine Impfgegner, sonder nur -muffel. Bildungsministerin Karliczek will ihnen und ihren Kindern den Zugang erleichtern: Sie will vermehrt direkt in Schulen und Betrieben impfen lassen.
Studienleiterin Michelle Epstein von der Medizinischen Universität Wien erklärt zu einer neuen Untersuchung: 'Unsere Studie zeigt erstmals, dass Th2-TRMs über 600 Tage in der Lunge verbleiben'.
Die photodynamische Therapie (PDT) ist bei aktinischer Keratose eine mittlerweile etablierte Methode. Betroffene profitieren von der Weiterentwicklung zur 'kontrollierten Tageslicht'-PDT.
In der Diagnostik nach Synkope hat der Kipptisch an Bedeutung verloren, der Stellenwert implantierbarer Loop-Rekorder zum Monitoring des Herzrhythmus hat sich erhöht. Probleme der Vergütung verhindern derzeit aber noch den leitliniengerechten Einsatz dieses Diagnostik-Tools.
Vergrößerungen von Lymphknoten bei Kindern mit rezidivierendem Bauchweh sind ein unspezifisches, meist selbstlimitierendes Ereignis, das keine Änderung des diagnostischen und therapeutischen Managements erforderlich macht. So die Erfahrung italienischer Ärzte in einer Studie.
Wissenschaftler der Uniklinik Freiburg haben eine selbstlernende Software entwickelt, die mikroskopische Aufnahmen der Endothelschicht im Auge auswerten kann und den richtigen Zeitpunkt für eine Behandlung wählen kann.
Bei der Behandlung von Patienten mit androgenetischem Haarausfall tun sich neue Optionen auf: Während Coffein in einer Studie punkten konnte, sehen Dermatologen den neuen Trend mit Plasma-Injektionen kritisch.
Experten der UN und anderer Organisationen fordern „in einem bahnbrechenden Bericht unmittelbare, koordinierte und ehrgeizige Maßnahmen gegen potenziell desaströse Antibiotika-R
Die Charité hat ihre Forschungen zur Psychischen Gesundheit in der neuen Forschungsplattform Charité Mental Health gebündelt. Sie umfasst Wissenschaftler aus vier Kliniken und zwei Instituten der Charité und eine Arbeitsgruppe des Max-Delbrück-Centrums für Molekulare Medizin.
Über 7000 Patienten haben die „Entscheidungshilfe Prostatakrebs“ seit 2016 dafür genutzt, sich online auf ihr Beratungsgespräch beim Urologen vorzubereiten, teilt die Deutsche Gesellschaft für Urologie (DGU) mit.
Haben unsere Parlamentarier und Minister Tomaten auf den Augen? Da legt heute, am 2. Mai, eine Bundesoberbehörde, namentlich das Robert-Koch-Institut, neue Zahlen zu den Impfquoten vor, aber offenbar guckt sie sich niemand an.
Ärztin Merlene Fredericks James bestätigte, dass ein weibliches Besatzungsmitglied eines Kreuzfahrtschiffes an Masern erkrankt ist und auf dem Schiff im Hafen der Insel St. Lucia (Karibik) isoliert behandelt wird.
Patienten mit HIV können ihre Sexualpartner nicht mehr infizieren, wenn bei ihnen dank antiretroviraler Therapie die HI-Viruslast nicht mehr nachweisbar ist. Das gilt auch für Männer, die Sex mit Männern haben, offenbart die PARTNER2-Studie.
Ebola-Helfer im Kongo stehen vor einem Dilemma: Sie müssen sich vor Angriffen von Milizen schützen und gleichzeitig das Vertrauen der Bevölkerung gewinnen. Zudem gibt es üble Gerüchte über den Ursprung der Krankheiten.
Die Versorgung der rund 10 bis 20 Prozent Diabetiker durch diabetologische Schwerpunktpraxen ist in Deutschland nicht einheitlich. Zwischen den einzelnen Bundesländern gibt es große Unterschiede.
Die Therapie von Patienten mit Asthma und COPD ist zu fokussiert auf Medikamente und Apparate. Das kritisierte Professor Claus Vogelmeier, Kongresspräsident und Vorsitzender der Deutschen Gesellschaft für Innere Medizin (DGIM).
Heimkinder in Niedersachsen waren bis zum Jahr 1978 Opfer von Impf- und Medikamentenversuchen. Die Aufklärung ist schwierig, die Zahl der Betroffenen noch immer unklar.
Ein HPV-Test via Urinprobe statt der bisher üblichen Probenentnahme via Zervixabstrich hat sich in einer britischen Studie als effektiv erwiesen, um Zervixkrebsvorstufen (CIN 2+) zu entdecken (BMJ Open 2019; online 29. April).
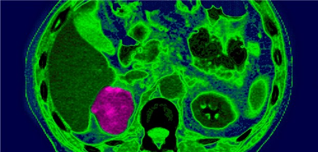
JAVELIN Renal 101 und KEYNOTE-426: So heißen zwei Studien, in denen Patienten mit noch unbehandeltem fortgeschrittenem Nierenzellkarzinom von neuen Arznei-Kombinationen profitiert haben.
Das Prinzip der Hedgehog-Inhibition ist eine vielversprechende orale Therapieoption bei entstellenden Basalzellkarzinomen, die operativ nicht angegangen werden können. Beim Chirurgenkongress wurden aktuelle Therapiekonzepte präsentiert.
Die Zahl der Kinder und Jugendlichen, die in Pflegefamilien untergebracht werden, ist von rund 60.000 im Jahr 2008 auf gut 81.000 im Jahr 2017 angestiegen. Das geht aus einer Antwort der Bundesregierung auf eine Anfrage der Fraktion Die Linke hervor.
Ein neues Spitzenzentrum mehrerer Unikliniken soll die Versorgung von Krebspatienten in NRW verbessern. Neben gemeinsamen Behandlungsstandards soll auch die Forschung vorangetrieben werden.
Wenn dem Partner plötzlich beim Frühstück das Müsli durch den Mundwinkel rinnt und sich Lähmungserscheinungen zeigen, sollte man auf keinen Fall erst mal die Couch herrichten – nach dem Motto: Wird schon wieder.
Der perkutane Aortenklappenersatz ist dem chirurgischen Klappenersatz auch bei niedrigem Op-Risiko überlegen, meldet die DGK von ihrer Jahrestagung. Die Kardiologen stellen den Goldstandard AKE infrage - und plädieren dafür, die Richtlinien anzupassen.
Im Kampf gegen Adipositas bei Kindern hat die Weltgesundheitsorganisation WHO für das Stillen von Säuglingen geworben. In Teilen Europas sei eine vergleichsweise hohe Rate von Adipositas weiter bei Kindern ein Problem, teilte die WHO am Dienstag mit.
Bei über einem Viertel der Patienten unter Opioid-Langzeittherapie wegen chronischer Nichtkrebsschmerzen wurde in einer Studie der Uni Bonn eine Opioidsubstanzstörung diagnostiziert.
Der Präventionsforschung will die Deutsche Krebshilfe in den kommenden Jahren deutlich mehr Stellenwert einräumen. So soll in Heidelberg ein Krebs-Präventionszentrum aufgebaut werden.
Das Commitee for Medicinal Products for Human Use der EMA hat die Zulassung von Olaparib Filmtabletten für die Erhaltungstherapie nach einer Primärtherapie bei BRCA-mutiertem fortgeschrittenem Ovarialkarzinom empfohlen.
Mit dem RNA-Interferenz-Therapeutikum Givosiran gelang bei Patienten mit akuter hepatischer Porphyrie eine Reduktion der Schmerzattacken um 74 Prozent.
Bluthochdruck ist die häufigste Herz-Kreislauferkrankung während der Schwangerschaft - und betrifft rund jede Zehnte. Eine neue Leitlinie enthält mehrere Neuerungen.
Der Ausschuss für Humanarzneimittel (CHMP) der Europäischen Arzneimittelagentur (EMA) hat die Marktzulassung von Cemiplimab (Libtayo®) zustimmend bewertet, teilt das Unternehmen Sanofi Genzyme mit.
Zuvor unerkanntes Vorhofflimmern (VHF) lässt sich nach einem Schlaganfall durch intensives Holter-EKG-Monitoring im Vergleich zur Standardversorgung deutlich früher detektieren. Das zeigen die finalen Ergebnisse der deutschen FIND-AF-Studie.
Vor einer Infektion mit HIV kann man sich heute auch ohne Kondome gut schützen. Ist der Partner virussupprimiert, ist eine Übertragung effektiv ausgeschlossen, belegt eine aktuelle Studie. Und auch für die Nutzer der PrEP reduziert sich das Risiko einer Infektion deutlich.
Die Deutsche Gesellschaft für Gastroenterologie, Verdauungs- und Stoffwechselkrankheiten (DGVS) hat die Initiative „Gesundheit durch Gastroenterologie“ gestartet.
Es gibt Menschen, die riechen üble Gerüche, obwohl keine da sind. Diese Phantosmie kommt bei Patienten mit bestimmten Gefäß- und Stoffwechselerkrankungen häufiger vor als bei Gesunden, haben US-Forscher herausgefunden.
Forscher aus Heidelberg haben mittels Genanalyse ein besonderes genetisches Merkmal von Chordomen im fortgeschrittenen Stadium aufgedeckt (Nat Commun 2019; online 9. April).
Die Deutsche Gesellschaft für Orthopädie und Unfallchirurgie (DGOU) und die Deutsche Gesellschaft für Endoprothetik (AE) befürchten Qualitätseinbußen bei der Versorgung mit künstlichen Hüft- und Kniegelenken durch den wachsenden Einfluss ökonomischer Faktoren.
Die Deutsche Gesellschaft für Gewebetransplantation (DGFG) konnte im vergangenen Jahr 2669 Gewebespenden bei Verstorbenen realisieren. Knapp 90 Prozent der Gewebespender sind an Herz-Kreislauf-Versagen gestorben, teilt die DGFG mit.