Direkt zum Inhaltsbereich

Rheuma

Positive Beurteilung für Cimzia®-Fertigpen

Vom Gen zur Therapie:

Schutz vor spinaler Muskelatrophie

Psychiatrische Versorgung

Zahl der Fixierungen sinkt in NRW

Das Gedenkmäuerchen des Kinderhospizes Sterntaler in Dudenhofen. Hier erinnern Eltern, Geschwister und andere Verwandte an verstorbene Kinder.

© dpa

Besuch bei todkranken Kindern

"Der Alltag ist lustig"

Wirksamer Pieks: Immer weniger alte Menschen in Deutschland lassen sich gegen Influenza impfen.

© JPC-PROD / fotolia.com

Grippe-Impfung

Auch ein begrenzter Schutz ist besser als gar keiner!

Geistige Betätigung

Schützt Bücherlesen vor Demenz?

Behandlungsfehler

Schadenersatz für nicht-indizierte Op

Biomarker

Suche nach Strategien gegen Osteoarthrose

Leben mit Demenz

Drei Projekte in Bayern ausgezeichnet

Riesen-Geschwulst

Chirurg entfernt 59 Kilo schweren Tumor

Alzheimer-Forschung

Ratgeber gibt Überblick zu Demenz

Klosterfrau

D-Mannose plus Cranberry

Rheumatoide Arthritis

Keine Remission bei RA – Was tun?

Im Netz

Informationen zu seltenen Tumoren

Cannabis: keine signifikanten Vorteile in der Schmerzlinderung.

© Opra / Fotolia.com

Cannabis nach Op

Keine Wirkung, aber Halluzinationen

Robert Koch-Institut

Über 14.000 Grippe-Fälle in einer Woche

Studie an acht universitären Zentren

Erfolg mit spezifischer Psychotherapie

Multiresistente Keime

Schnelltest für mobiles Resistenzgen

Niedersachsen

Rheumapatienten sollen schneller behandelt werden

Arzneimittel

Neue Therapieoption bei Plaque-Psoriasis

Pflegebedürftig

Zehn Prozent mehr Betroffene in Baden-Württemberg

Patient mit Herzinsuffizienz? Nicht nur dann ist körperliche Aktivität zu empfehlen.

© www.imagesource.com

Herzschwäche

Intensives Training nicht besser als moderates

Chiesi

Dosieraerosol mit Zählwerk

Therapie

Kein Schmerzgedächtnis – keine Chronifizierung

Allein in der vergangenen Meldewoche gab es rund 14.000 bestätigte Fälle von Influenza, darunter viele bei Kindern.

© Robert Przybysz/Fotolia

Über 40.000 Erkrankungsfälle

Viele Grippekranke – vor allem Kinder und Senioren

Die Angst vorm Bohren aufgrund von Karies ist für viele das Schlimmste am Zahnarztbesuch.

© K.-U. Häßler / Fotolia.com

Zahnmedizin

Karies liegt auch an den falschen Genen

Erdnuss-Allergie

Erste Erfolge mit Impfstoff

Schädlich und dennoch von Kindern heiß begehrt: Forscher haben untersucht, wodurch die Lust auf Ungesundes beeinflußt wird.

© Soeren Stache / dpa / lbn / picture-alliance

Europäische Studie

Warum Kinder zu Dickmachern greifen

Rückenschmerz und Wetter: Gibt es da einen Zusammenhang?

© Gina Sanders / Fotolia

Volkskrankheit Rückenschmerzen

Schlechtes Wetter, starkes Kreuzweh?

Nicht nur klinische Forscher sind aktiv. Damit Grippeausbrüche besser in den Griff zu bekommen sind, erstellen auch Mathemathiker Modellrechnungen.

© James Thew / iStock / Thinkstock

Wissenschaft

Mit Mathe Grippewellen auf der Spur

Kommentar

Fehlende Gesamtstrategie

Übertragbare Krankheiten

Asylbewerber – Pflicht-Check für Angehörige?

Justizvollzug in Sachsen

Grüne fordern bessere Suchttherapie

Nach Geburten die häufigste Ursache für Hospitalisierung: Chronische Herzinsuffizienz .

© Yuri Arcurs / fotolia.com

DMP Herzinsuffizienz

Streit gibt es um die Rolle der MFA

GBA-Beschluss

Pembrolizumab bei Lungen-Ca: Zusatznutzen

Vielen Patienten macht das Auf und Ab in der Krebsbehandlung zu schaffen.

© pitr134 / fotolia.com

Diagnose Brustkrebs

Eine Achterbahnfahrt für Patienten

Dornwarzen sind hartnäckig und kehren nach erfolgreicher Entfernung häufig wieder.

© Dr. Matthias Eberhardt / Arteria Photography

Laser oder Vereisung

Was entfernt Warzen dauerhaft?

Neue Broschüren

Tipps bei Pflegebedarf

HNO-Innovationsverbund

Konvergenz von Implantat und Hörgerät?

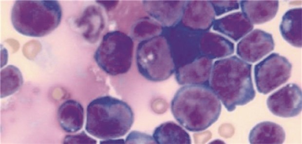
Ausstrich des Knochenmarks eines Patienten mit akuter T-Zell-Leukämie.

© Hind Medyouf, DKFZ

Onkologie

CAR-T-Zellen wirken auch bei aggressiven Leukämien

Brustschmerzen nach einem Infarkt sind oft nicht kardial bedingt.

© hriana / Fotolia

Brustschmerz

Infarkt behandelt, Beschwerden bleiben

Kommentar – Repräsentativbefragung

Wetterfühlig – alles Unfug?

Takeda

CED: Patientensupportprogramm entlastet den Arzt

Adhärenz

Patientenwünsche als Richtschnur

Kommentar

Therapie ohne Indikation

Progressive Supranukleäre Blickparese

Therapieansatz für Tauopathie entdeckt

Herzinsuffizienz:

NDPK C: Neuer Ansatz für Herzkranke

Adipositas

Was bringen Paläo, Low-Carb, Vegan und Co?

Viele Asthma-Patienten werden offenbar aufgrund von Diagnosen behandelt, die einer Überprüfung nicht standhalten

© bubutu / Fotolia

Warnung für Übertherapie

Viele Asthmapatienten sind wohl gar keine

Jugendliche und junge Erwachsene im Alter zwischen 12 und 25 Jahren sind durchschnittlich 22 Stunden pro Woche online.

© goldencow_images / Fotolia

Safer Internet Day

Wenn das Internet für Kids zur Sucht wird

Impfpass: Noch ist die Gelbfieberimpfung in Brasilien nur bei Einreise aus Endemieländern nachzuweisen.

© Pix4U / fotolia.com

Gelbfieber in Brasilien

Mediziner raten zur Impfung

Die Mammografie ist Teil des QuaMadi-Programms, das viele Ärzte im Norden sehr schätzen.

© Sven Bähren / fotolia.com

Schleswig-Holstein

Ärzte kämpfen um Brustkrebs-Früherkennungsprogramm

Zielwert je nach Risiko

Leitlinien: Konsequente LDL-Senkung!

Forschung

Herz mit "schlechtem Riecher"

Beagle zählen zu den Hundesrassen mit einem besonders guten Geruchssinn. Dieser lässt sich offenabr nicht nur zum Erspüren von Drogen, sondern auch Krebserkrankungen nutzen.

© Monika Wisniewska / Fotolia

Präziser als Pap-Test

Hund erschnüffelt Krebs an Damenbinden

Lungen-Ca

Pembrolizumab auch für die Erstlinientherapie bei NSCLC

UCB

Neue Single Pill im Portfolio

Urolithiasis

Sind Alphablocker doch gerechtfertigt?

Kardiovaskuläres Risiko

Lebensstil zählt mehr als Gene

Atopische Erkrankungen

Dupilumab: Neuer Trumpf bei Atopie?

Förderpreis

Engagement bei ADHS ausgezeichnet

Infektionen

Tenofoviralafenamid gegen Hepatitis B zugelassen

Nachsorge bei einem Patienten mit Hodenkrebs.

© Mathias Ernert, Urologische Klinik, Universitätsklinikum Mannheim

Neue Substanz

Verhütungsmittel lässt Hodenkrebs schrumpfen

Abb Vie

HCV-Therapie auch bei Dialyse

Bluthochdruck

Checkliste der Warnzeichen für Bluthochdruck-Notfall

Hirnstimulation

Mit Gleichstrom gegen ADHS: Projekt startet

Schweiz

Nationale Impfstrategie verabschiedet

HIV

Gilead forciert Forschung zu Heilungsoptionen

Riss mit Folgen: Patienten müssen nach konservativer Therapie der Achillessehne mit Kraftverlust rechnen.

© Jan-Otto / iStock

Achillessehnenriss

Kraftverlust nach konservativer Therapie

AOK Bayern

Strukturierte Versorgung für Diabetiker wirkt

Krampfanfälle bei Tuberöser Sklerose

Neue Therapieoption

Diabetes

"Gesünder unter 7" startet im März