Etwa 349.000 Österreicher haben laut Hochrechnung eine SARS-CoV-2-Infektion hinter sich – zu 60 Prozent könnte deren Infektion gar nicht behördlich erfasst worden sein. Außerdem kommen neurologische Folgen offenbar häufiger vor als gedacht.
Was bringt das Tragen von Mund-Nasen-Schutz im öffentlichen Raum? Einen weiteren Beleg zum Nutzen dieser Präventionsmaßnahme erbringen nun Mainzer Wissenschaftler in einer neuen Studie.
Das öffentliche Leben in Deutschland wird angesichts der sich ausbreitenden Corona-Pandemie nun tatsächlich schon ab dem kommenden Mittwoch (16. Dezember) drastisch heruntergefahren.
In Sachsen spitzt sich die Lage zu: Weil die Kliniken die steigende Zahl an COVID-19-Patienten kaum noch stemmen können, wird nicht nur innerhalb des Landes verlegt. Auch andere Bundesländer sollen helfen.
Jetzt ist auch in den USA ein Corona-Impfstoff zugelassen – und zwar der von BioNTech/Pfizer. Zuvor hatte das Weiße Haus der Arzneimittelbehörde FDA mächtig Druck gemacht. Als Impfstart ist Montag geplant.
Bundestagspräsident Schäuble geht davon aus, dass die Priorisierungs-Reihenfolge für die Corona-Impfung noch verändert wird. Die, die mit SARS-CoV-2-Infizierten arbeiten, sollte an erster Stelle stehen.
Das Honorar für die Aufbereitung von Medizinprodukten bleibt vorerst unverändert. Krankenkassen und Ärzte haben die Entscheidung über eine Aufstockung wegen höherer Hygienekosten noch nicht getroffen.
Laut Statistischem Bundesamt sind Anfang November etwa acht Prozent mehr Menschen gestorben als im Schnitt der Vorjahre. Auch in einigen Nachbarländern ist die Zunahme deutlich.
Ein harter Lockdown rückt näher: Statt Glühwein zu trinken, gilt es jetzt, das Gesundheitswesen zu schützen. Doch wie erhalten wir die ganz normale medizinische Versorgung? Der Onkologe Olaf Ortmann und DEGAM-Präsident Martin Scherer über harte Einschnitte – und dringend nötige Anxiolytika.
Angesichts der hohen „Grundrechtsrelevanz von Priorisierungen bei Schutzimpfungen“ müsse der Bundestag die Entscheidung treffen, wer zuerst geimpft werde, fordert die Ärztegewerkschaft Marburger Bund.
Gute Noten für die Versorgung von Frühgeborenen und kranken Neugeborenen. Die neonatologischen Abteilungen in Brandenburg erzielen überdurchschnittlich gute Outcomes, so der „Krankenhausspiegel Brandenburg“.
Bei der Grippeimpfung in der Offizin kann einiges schief gehen. Ihre Apothekenkunden müssten sich aber keine Sorgen machen, signalisiert die Alte Leipziger.
Kognitive Einschränkungen sind eher mit einer Alzheimerpathologie assoziiert, wenn die Patienten in einer Gegend leben, in der die Luft stark mit Feinstaub belastet ist. Das sind die Ergebnisse einer Studie.
Laut einer Umfrage des Marburger Bunds unter 200 Ärzten im Saarland fehlt es in der COVID-19-Versorgung an Personal und Schutzmaterial. Nur Überstunden gibt es demnach reichlich.
Die psychiatrische Versorgung, insbesondere schwer und chronisch erkrankter Menschen, leidet unter Zersplitterung. Ein Projekt soll eine Blaupause für eine Gemeindepsychiatrie aus einer Hand bieten.
Ziehen die Bundesländer schon vor Weihnachten die Notbremse, um die Corona-Pandemie einzudämmen? Der Vorsitzende der Ministerpräsidentenkonferenz geht von einem harten Lockdown ab viertem Advent aus.
Die Koalition will die Daten aus epidemiologischen und klinischen Krebsregistern für die Forschung besser zugänglich machen – mit einem Zwei-Stufen-Plan und einer Forschungsplattform.
Gerade für Patienten mit seltenen Erkrankungen kann eine Homecare-Versorgung zu Corona-Zeiten entlasten. Am Beispiel von hATTR zeigen wir, wie die Homecare-Versorgung ablaufen kann.
In naher Zukunft wird wohl die erste Corona-Impfung in der EU zugelassen. Aber was, wenn sich nicht genug impfen lassen? Laut Umfrage sinkt die Bereitschaft stetig. Und: Gerade Gesundheitsberufe sind zögerlich.
Die Phase-III-Studie zum BioNTech-Impfstoff „BNT162b2“ wurde jetzt in einem begutachteten Artikel veröffentlicht. Vorab vorgestellte Resultate werden bestätigt. Aber es gibt auch offene Fragen.
Dass sich gesetzlich Versicherte ab 35 künftig einmalig auf Hepatitis B und C testen lassen können ist gut. Denn das Ziel, Hepatitis B- und C in Deutschland bis 2030 zu eliminieren, ist in Gefahr.
Im kommenden Jahr wird voraussichtlich ein allgemeines Screening auf Hepatitis C eingeführt. Außerdem soll die Therapie nun direkt nach der Diagnose starten, wie es im gerade veröffentlichten Addendum zur HCV-Leitlinie heißt.
Bei anaphylaktischen Reaktionen in der Anamnese wird von der Corona-Impfung mit der Vakzine „BNT162b2“ von BioNTech/Pfizer abgeraten. Das betont die Behörde MHRA in UK nach zwei Fällen bei Geimpften.
Bei rund 6,7 Millionen Bundesbürgern wurde ein Diabetes mellitus diagnostiziert. Professor Stephan Jacob von der DDG erklärt, wie medizinische Behandlung und Lebensstilveränderung ineinanderwirken.
Kooperation
|
In Kooperation mit: AOK-Bundesverband
Ärzte, die sich in Corona-Impfzentren engagieren wollen, müssen sich wohl keine Sorgen um die Haftung machen: Erste Versicherer haben jetzt ihre Policen angepasst. Dort versicherte Ärzte müssen nicht einmal den Einsatz nachmelden.
Dr. Georg Lübben, Arzt und Vorstand der Unternehmensberatung AAC, erwartet von der neuen Heilmittelrichtlinie Erleichterungen im Praxisalltag. Im Interview empfiehlt er Praxen, sich vorzubereiten.
Eigentlich sollten die neuen Leitlinien zur kardiopulmonalen Reanimation bereits veröffentlicht sein. Coronabedingt ist das auf März verschoben worden. Beim DIVI-Kongress gab es aber schon erste Einblicke.
Nur wenige der kardiovaskulären Hochrisikopatienten in Deutschland erreichen den LDL-Cholesterin-Zielwert. Die Lipid-Liga startet deshalb ihre bundesweite Kampagne „Auf Ziel“.
Postoperativen Schmerzen müssen Kliniken und ambulant operierende Praxen ab sofort strukturiert zu Leibe rücken. Das sieht eine Ergänzung der QM-Richtlinie vor, die nun in Kraft getreten ist.
Bei den Atemwegsinfektionen in Deutschland dominieren weiterhin Rhinoviren, berichtet das Robert Koch-Institut. Zudem zeigt sich eine langsam zunehmende Zirkulation von SARS-CoV-2 in der Bevölkerung.
Die durchschnittliche Lebenserwartung Neugeborener ist in Baden-Württemberg so hoch wie in keinem anderen Bundesland, zeigt der neue Kindergesundheitsbericht der Landesregierung.
Die Deutsche Antibiotika-Resistenz-Strategie „DART 2020“ wird fortgeführt: Künftig sollen Stakeholder noch stärker in ihrer Ausgestaltung und Umsetzung eingebunden werden.
In Deutschland gibt es nach RKI-Schätzung mehr als 10.000 nicht diagnostizierte HIV-Infizierte. Dr. Katja Römer, Ärztin in einer Kölner HIV-Schwerpunktpraxis, berichtet im „ÄrzteTag“-Podcast über „blinde Flecken“ in der Diagnose.
RKI-Chef Wieler schätzt die Zahl der mit SARS-CoV-2 Infizierten auf unter zehn Prozent der Bevölkerung. Und erklärt, warum es trotzdem an Weihnachten keine Lockerungen geben sollte.
Das Arzt-Patienten-Verhältnis wird durch eine Priorisierungsdiskussion in der Praxis einer unzumutbaren Belastung ausgesetzt, warnt die KV Niedersachsen.
Hacker sind in die Rechner der Europäischen Arzneimittelagentur EMA eingedrungen. Dabei sollen Daten aus dem Dossier von Pfizer und BioNTech zu deren Corona-Impfstoff ins Visier genommen worden sein.
Die „Nationale Versorgungsleitlinie Typ-2-Diabetes“ wird seit 2018 kapitelweise aktualisiert. Jetzt sind Neufassungen für die Themen „Medikamentöse Therapie“ und „Entscheidungsfindung“ in Sicht.
Die Zahl der Corona-Toten steigt, das Personal in Kliniken und Pflege arbeitet am Anschlag: Bayern und Sachsen als Länder mit hohen Infektionszahlen sind nun mit verschärften Maßnahmen vorgeprescht.
Das Land Brandenburg hat bereits Ende Oktober den Staatsvertrag über das Gemeinsame Krebsregister der fünf ostdeutschen Bundesländer mit Wirkung zu Ende 2022 gekündig
Die Pandemie sorgt für ordentlich Bewegung im Haushaltsansatz des Gesundheitsministers. Streitpunkt sind zusätzliche RKI-Stellen. Und die FDP kritisiert eine stiefmütterliche Behandlung der Digitalisierung.
Vollzeitbeschäftigte Pflegekräfte in der Hansestadt Hamburg sollen noch in diesem Jahr einen Höchstbetrag von 1500 Euro erhalten, der frei ist von Steuer- und Sozialversicherungsabgaben.
Der VDBD warnt: Ohne genügend Fachpersonal sieht es auf diabetologischen Stationen düster aus. Besonders die diabetologische Akut- und Präventionsbehandlung brauche gute und motivierte Fachkräfte.
Von Klarsichtmasken zum Schutz vor Infektionen raten Forscher aus München dringend ab. Ihre Pilotstudie hat ergeben, dass andere Personen direkt dem ausgeatmeten Aerosol ausgesetzt sind.
Drei Fachgesellschaften warnen vor gefährlichen Datenlücken bei den geplanten COVID-19-Impfungen: Aufgrund der besonderen Verimpfungs- und Abrechnungswege könne die Pharmakovigilanz nicht untersucht werden.
Die Regierung will 27 Millionen Bürger, die ein Risiko für einen schweren Corona-Infektions-Verlauf haben, mit FFP-2-Masken zum Schutz vor Ansteckung ausstatten. Die Verteilung soll noch vor Weihnachten beginnen.
Wer soll zuerst gegen COVID-19 geimpft werden? Die vorläufigen Empfehlungen der STIKO stoßen bei vielen Ärzten und Medizinstudierenden auf Kritik. Ein geteiltes Echo lösen sie bei Pflege- und Patientenvertretern aus.
Die aktuelle Anti-Corona-Strategie schlägt nicht durch, die zweite Welle ist noch immer nicht gebrochen, wie die Zahl der Neuinfektionen Tag für Tag zeigt. Wird die Gangart nach Weihnachten verschärft?
Die steigende Zahl von COVID-19-Patienten bringt die Krankenhäuser in Brandenburg an die Belastungsgrenze. Nun sollen Rehakliniken zum Teil in die Bresche springen.
Die Aussprache über den Etat des Bundeskanzleramts ist traditionell Anlass zur Generaldebatte: Die Opposition kritisiert die Bundesregierung für die Corona-Politik scharf – Kanzlerin Angela Merkel reagiert sachlich.
Der Corona-Impfstoff der Unternehmen BioNTech und Pfizer soll künftig auch bei niedrigeren Temperaturen längere Zeit lagerfähig sein. Das berichtet Pfizer-Chef Bourla.
Neue Arzneimittel und die bariatrische Chirurgie werden voraussichtlich die Zukunft der Adipositas-Therapie bei Diabetes bestimmen. Der Bedarf ist groß und nimmt weiter zu.
In Sachsen werden derzeit 13 Corona-Impfzentren aufgebaut. Die Landesregierung gibt – mit einer Ausnahme – aus Sicherheitsgründen die Standorte noch nicht bekannt.
Laut Befragung haben Jugendliche in Deutschland durch Corona Angst – und Zukunftsängste. Die Wünsche einiger Teens mögen manchen überraschen – etwa ein Schulfach „Medienkonsum“.
Ärzte können bei Patienten mit diversem Geschlecht den erweiterten Anspruch geltend machen. Das bringt bei manchen Patienten neue Kodierpflichten mit sich.
Die Corona-Krise beherrscht auch Belarus, aber Staatschef Lukaschenko, redet die Pandemie klein und lässt auch noch regierungskritische Mediziner verhaften oder entlassen.
COVID-19-Pandemie und nationale Diabetesstrategie: Vertreter führender Diabetesverbände in Deutschland ziehen gemischte Bilanz des zu Ende gehenden Jahres. Was 2020 passiert ist bei der Diabetesversorgung.
Aufklärung und Information sind die zentralen Elemente, um Bürgern die informierte Einwilligung in eine Corona-Impfung zu ermöglichen. Was eine erfolgreiche Impfkommunikation ausmacht, haben Fachleute nun skizziert.
Professor Peter Kühnen von der Charité forscht zu Möglichkeiten der Hunger- und Gewichtsreduktion bei erblicher Adipositas. Dafür erhält er den Paul-Martini-Preis.
Wie gut schützt der Corona-Impfstoff AZD1222? AstraZeneca hat kürzlich viel diskutierte Zwischenergebnisse bekannt gegeben, nun haben Wissenschaftler erstmals Daten aus mehreren Phase-III-Studien zu der Vakzine ausgewertet.
Am Donnerstag beraten Impfstoffexperten in den USA über BNT 162b2 von Pfizer und BioNTech. Nichts deutet darauf hin, dass der Corona-Kandidat durchfallen könnte.
Die Corona-Warn-App des Bundes funktioniert nur mit iOS- oder Android-Betriebssystem. Freie Programmierer haben jetzt eine Alternative für Huawei-Smartphones oder Fairphones entwickelt.
Studiendaten stellen Ärzte vor ein Dilemma: Einerseits ist Hyperglykämie bei COVID-19 mit höherer Mortalität assoziiert. Andererseits führt der Korrekturversuch mit Insulin wohl zu noch schlechterer Prognose.
Patienten mit atopischer Dermatitis leiden oft an zusätzlichen Autoimmunerkrankungen der Haut oder des Gastrointestinaltrakts. Warum das so ist, haben schwedische Forscher untersucht.
Ein hoher Blutzucker in der Schwangerschaft begünstigt Makrosomie beim Kind. Frühes Screening auf Blutzuckeranomalien und Gestationsdiabetes ist wichtig, um gegensteuern zu können.
Ärzte sollen ihren Patienten mit Vorerkrankungen Atteste ausstellen, damit sie rasch gegen COVID-19 geimpft werden können. Das Honorar: fünf Euro. Die Kritik daran kontert jetzt Minister Jens Spahn.
Die Laborärzte plädieren für Solidarität in der Weihnachtszeit – und zählen auf Mithilfe der Bevölkerung. Zugleich fordern sie, auch Labormitarbeiter bei Corona-Impfungen bevorzugt zu berücksichtigen.
Für Patienten mit Knieprothese gibt es Aktivitäten, die das Kunstgelenk wohl gut wegsteckt. Welcher Sport ideal ist und wo letztlich die Grenzen liegen, fasst ein Endoprothetik-Spezialist zusammen.
Viel spricht dafür, dass die Zügel bei der Corona-Bekämpfung nach Weihnachten wieder angezogen werden – auch über Ladenschließungen wird diskutiert. Gesundheitsminister Spahn hält schärfere Kontaktbeschränkungen für notwendig, sollte sich die Lage nicht bessern.
Der Bewertungsausschuss wird in dieser Woche unter anderem über die Vergütung der Hygienekosten im EBM entscheiden. Die Urologen heben im Vorfeld nochmals energisch den Finger.
Bund und Länder diskutieren, wie sie damit umgehen sollen, dass die Zahl der Corona-Infektionen kaum sinkt. Die Nationale Akademie der Wissenschaften Leopoldina hat nun Empfehlungen vorgelegt – und die haben es in sich.
Die 90-jährige Margaret Keenan aus Coventry ist als erste Patientin gegen COVID-19 in Großbritannien geimpft worden. Das Londoner Gesundheitsministerium erwartet rund vier Millionen Impfdosen bis Monatsende.
Wie lässt sich die Coronavirus-Pandemie langfristig managen? Die Deutsche Gesellschaft für Allgemeinmedizin hat ein Strategiepapier erarbeitet – und stellt darin klare Forderungen an die Politik.
Unbehandelt führt die Hyperoxalurie Typ 1 (PH1) zu Nierenschäden und Komplikationen etwa an Augen und Herz. Wird mit Lumasiran behandelt, lassen sich normale oder annähernd normale Oxalatwerte erreichen.
HyQvia® bietet eine Immunglobulin-Substitution durch die s.c.-Gabe von Immunglobulinen kombiniert mit zuvor s.c. applizierter rekombinanter Hyaluronidase. Jetzt können mehr Patienten von der Arznei profitieren.
Bei M. Basedow gibt es mehrere Therapie-Optionen. Am Beginn steht die konservative Behandlung mit Thyreostatika. Nicht immer führt dies in eine Euthyreose. Was spricht dann für eine Radiojod-Therapie, was für eine Operation? Darüber diskutieren in diesem Podcast zwei ausgewiesene Schilddrüsen-Experten.
Sonderbericht
|
Mit freundlicher Unterstützung von:
Sanofi-Aventis Deutschland GmbH, Frankfurt am Main
Vor allem bei jüngeren Patienten muss ein Knoten dringend abgeklärt werden. Die Abklärung erfolgt zunächst durch Palpation. Es folgt die Sonographie, die bereits viel Klarheit schaffen kann. Über Diagnostik und mögliche Therapien diskutieren in diesem Podcast zwei ausgewiesene Schilddrüsen-Experten.
Sonderbericht
|
Mit freundlicher Unterstützung von:
Sanofi-Aventis Deutschland GmbH, Frankfurt am Main
Schilddrüsenknoten fallen häufig als Zufallsbefund auf, etwa bei MRT oder CT der Halswirbelsäule beim Orthopäden. Doch wie wird mit einem solchen Befund umgegangen? Wann ist eine weitere Diagnostik indiziert, wann erscheint sie unnötig? Hierüber diskutieren in diesem Podcast zwei ausgewiesene Schilddrüsen-Experten.
Sonderbericht
|
Mit freundlicher Unterstützung von:
Sanofi-Aventis Deutschland GmbH, Frankfurt am Main
Wer soll wann, wo und wie gegen das Coronavirus geimpft werden? Die KVen haben einen Organisationsberg vor sich. Wie hier die KV Baden-Württemberg plant, erläutert KV-Vize Dr. Johannes Fechner im Podcast.
Auf diesen Entwurf haben viele gewartet: die STIKO-Empfehlung zur Corona-Impfung. Nun macht ein Entwurf die Runde – mit einer eindeutigen Liste der Personen, die geimpft werden sollen. Selbst für sie wird der Impfstoff zunächst nicht ausreichen.
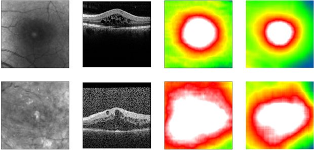
Eine neue Methode zur automatisierten Diagnose von diabetischer Retinopathie hilft, den Bedarf an teuren annotierten Daten für das Training des „Deep-Learning“-Algorithmus zu reduzieren.
Die KV Hamburg konzentriert und erweitert den pädiatrischen Notfalldienst in der Hansestadt. Ab sofort ist eine kinderärztliche Notfallpraxis nur noch am Altonaer Kinderkrankenhaus zu finden.