Internet-Forum

Versehentlich Kinderimpfstoff verwendet - was tun?

Gesellschaft

Midlife-Crisis startet schon mit Mitte 30

Praxisführung

Plädoyer für eine stärkere Labormedizin

Arzneimittelpolitik

Kassen führen an Fiskus 4,6 Milliarden Euro ab

Doping im DDR-Sport: die Aufarbeitung geht noch weiter.

© Godowitsch / imago

Berufspolitik

Ärzte im Doping-Sumpf der DDR

Neu auf dem MarktCT Arzneimittel

Praktische Tipps zu Magenproblemen

Zur Person

Ein neuer Chef für Bayer

Abrechnung / Honorar

Schweinegrippe: Vereinbarung endet zum 30. September

Neu auf dem MarktHilfen für Betroffene

Umfangreiches Info-Paket zu Lungenemphysem-COPD

Arzneimittelpolitik

Koalition definiert Arzneibewertung völlig neu

Mamma-Karzinom

Magazin der Krebshilfe mit neuer Ausgabe

Kommentar

Spezialisten haben's schwer

Kolorektales Karzinom/Darmkrebs

Bei Darmkrebs in der Familie: Vorsorge nutzen!

Abrechnung / Honorar

Hamburg vergütet Notdienst in der Nacht attraktiver

Magen-Darmkrankheiten

Ultraschall hilft, Leistenbruch-Op häufig zu vermeiden

Mehr Einsatz-Gefahren und auch mehr psychische Belastungen: Im Jahr 2010 wurden bereits 316 PTBS-Fälle gezählt - die Dunkelziffer liegt höher.

© imago

Berufspolitik

Zu wenige Psychologen für zu viele kranke Soldaten

TIPP DES TAGES

Sicherung auch für den Katastrophenfall

ZNS-Tumoren/Hirntumor

Erfolg bei Neuroblastom trotz geringerer Chemo

Krankenkassen

90 Millionen Euro mehr für Arzneien in Niedersachsen

Krankenkassen

SPD-Chef kündigt Reform der Reform an

Gesellschaft

Endoskopie-Tagung im Februar in Düsseldorf

Patienten erhoffen sich zu viel von der Angioplastie

© Sebastian Kaulitzki / fotolia.com

KHK / Herzinfarkt

Patienten erhoffen sich zu viel von der Angioplastie

Pflege

Rösler wirbt für offenen Umgang mit Fehlern in Medizin und Pflege

Eine Frau beim Wandern. Von regelmäßiger körperlicher Aktivität profitieren auch Frauen mit Brustkrebs.

© Jürgen Wöhrle / fotolia.com

Mamma-Karzinom

Sport bessert die Prognose bei Brustkrebs

Diabetes mellitus

Neuer Lebensstil nützt Diabetikern dauerhaft

Bei M. Dupuytren bilden sich Bindegewebsstränge, die einzelne Sehnen ummanteln.

© Science Photo Library / Agentur Focus

Skelett- & Weichteilkrankheiten

Strahlen gegen Streckhemmung der Finger

Berufspolitik

Bund fördert Forschung zu Gewalt gegen Kinder

Schlaganfall

Erstmals Kongress zum Schlaganfall bei Kindern

Der Standpunkt

Und der Zukunft zugewandt

Berufspolitik

Tipps für Frauen zum Berufseinstieg nach der Elternzeit

Kommentar

Nachwuchs-Quelle nicht austrocknen!

Infektionen

Ruhen der Zulassung von Octagam® empfohlen

Unternehmen

Alarmsystem für das Praxis-WC sichert Ärzte bei Notfällen ab

Kommentar

Kein Fortschritt ohne Fehlschläge

... Uranbergbau der SDAG Wismut zu DDR-Zeiten. Heute ist Schlema wieder das, was es einst war: ein Kurort.

© Wismut

Berufspolitik

Blühende Landschaften, vernarbende Wunden

Krankenkassen

Dr. Stefan Gronemeyer wird neuer MDS-Vize

Abrechnung / Honorar

Marathontraining als IGeL-Angebot

TIPP DES TAGES

So kommt das Geld brutto für netto an!

Gesellschaft

Genie und Wahnsinn - nur ein Mythos?

Praxisführung

Jeder Zehnte arbeitet mehr als 48 Stunden

Haut-Krankheiten

Beim Sonnenschutz klotzen, nicht kleckern!

Gebärmutter-Krebs

Krebsforscher zur Hausen in der Hall of Fame

Pflege

Nur jeder Fünfte würde Angehörigen pflegen

Gastbeitrag

Keine Steuerbefreiung für den Praxiserben?

Berufspolitik

Psychotherapie erhält gute Noten von Patienten

Infektionen

Infektionsschutz durch Stillen bestätigt

Herz-Gefäßkrankheiten

Kardiologen-Kongress: Programm ist online

Diabetes mellitus

Benfotiamin schützt Herzen vor Schäden durch Diabetes

Der Cholera-Erreger Vibrio cholerae unter dem Elektronenmikroskop.

© Janice Carr / CDC

Impfen

Cholera wird nur selten nach Deutschland importiert

Berufspolitik

Gefäßzentrum von drei Fachgremien zertifiziert

Berufspolitik

In drei von vier Kliniken fehlen Ärzte

Interview zum Galenus-Forschungspreis

Tamoxifen-Therapie: Erfolg hängt auch vom Genotyp ab

Neu auf dem MarktCefak

Neuer Infoletter zu Selen

Unternehmen

Bald weniger als drei Millionen Arbeitslose?

Praxisführung

Für den Fiskus ist die Gewinnabsicht entscheidend

Kommentar

Ins offene Messer laufen gelassen

Mamma-Karzinom

Mammografie nützt auch Frauen unter 50

Chronische Darmentzündungen

Step up oder Top down bei Morbus Crohn?

Geld und Vermögen

Finanzelle Sicherheit ja - darum kümmern nein

Krankenkassen

"15 Prozent der GKV-Ausgaben für Prävention -  das wäre vernünftig"

TIPP DES TAGES

Hyponatriämie bei Marathonlauf häufig

Bargeld in der Arztpraxis? Nach dem Willen von Minister Philipp Rösler soll die Kostenerstattung in der GKV stärker zum Tragen kommen.

© Emprechtinger / fotolia.com

Krankenkassen

Rösler will GKV-Versicherte öfter in Vorkasse beim Arzt treten lassen

Berufspolitik

Kinderchirurgen plädieren für mehr zentrale Versorgung

Hormonstörungen

Preis für Kindergynäkologie

Bilder einer Ausstellung: Der rechte Arm stützt den Kopf - Ed schläft.

© Judith Fox (3)

Gesellschaft

"Ein Weg, den Mann zu berühren, den ich liebe"

Infektionen

In Südfrankreich zwei Fälle von Dengue-Fieber

Hautkrebs / Melanom

Remission nach Impfung gegen Melanom

Gastbeitrag

Telefon-Aufklärung der Eltern birgt Tücken

Umschulung zur Altenpflege: Die Förderung für das dritte Ausbildungsjahr soll auslaufen. Die Pflegeverbände sind empört.

© blickwinkel / imago

Pflege

Verbände: Bundesregierung schwächt Umschulung zu Altenpflegern

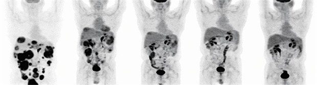
PET-Aufnahme bei einem GIST-Patienten.

© Siemens AG Medical Solutions

Magen-Karzinom

Neue Hoffnung bei Stromatumoren

TIPP DES TAGES

Insulin-Nadeln stets wechseln!

Praxisführung

QM-Tagung: Experten aus der Praxis geben Tipps

Unternehmen

Andreas Lange bleibt Vorsitzender des VHitG

HNO-Krankheiten

Info-Kampagne zu Ohrschäden durch überlaute Musik

Arzneimittelpolitik

Pharma-Industrie will mehr Transparenz

Allgemeinmedizin

Kompetenznetz - vernetzte Forschung

Berufspolitik

Schwangere in Hessen sollen besser versorgt werden

Ein Piks mit einem ganz erstaunlichen Zusatznutzen: Die Impfung gegen Influenza.

© photos.com

Influenza / Grippe

Grippe-Impfung kann sogar vor Herzinfarkt schützen

Praxisführung

Immer mehr Ärzte zieht es in Netzwerke

Recht

Patient nach Hyperglykämie gestorben: Ärztin verurteilt

Berufspolitik

KV Hamburg will Änderungen bei Kodierrichtlinien

Berufspolitik

Nervenärzte sehen Selbstverwaltung an der Grenze