Direkt zum Inhaltsbereich

Siemens

Erst 2014 bessere Geschäfte erwartet

Zukunft der Medizin

Ist Priorisierung unmoralisch?

Anlagen-Kolumne

Politik bremst die Rallye

VCD

Bahnfahren fast immer günstiger als Fliegen

Gesundheitsfördernd

Hunde und Katzen als treue Begleiter

Pharmagroßhandel

Haniel verkauft Anteile von Celesio

EU

Borg zum Gesundheitskommissar ernannt

Suche nach Giftspuren

Arafats Grab geöffnet

Kommentar zur Ökonomisierung

SAPV - aber ohne "Anbieter"

BIG direkt

100-Euro-Prämie für Mitglieder

FUNDSACHE

Bei Rot stehen, bei Grün gehen!

Protest vergangene Woche in Paris: Die französischen Kollegen begehren auf.

© PanoramiC / imago

Aut idem in Frankreich

Ärzte sehen sich schikaniert

B. Braun

Erhöhte Umsatzprognose

PLATOW-Empfehlung

3D Systems bleibt attraktiv

Deklaration

Zurich Versicherung fördert betriebliche Gesundheit

Japan

Bayer investiert 500 Millionen Euro

Wie ist mit der neuen Technik bei einer telemedizinischen Anwendung umzugehen? Fragen wie diese stellen sich im Arbeitsalltag von Ärzten immer häufiger. Die Ausbildung berücksichtigt das noch nicht.

© Kurhan / fotolia.com

Fortbildung

Ärzte in Telemedizin schulen

Bayern

Erfolgreiche Sturzprävention

PKV

Rentner reagieren auf Prämiensteigerung

Deh

Schwerpunkt bei Hausärzten setzen

Uniklinik Heidelberg

Neue Ambulanz für Gewaltopfer

Die Vorhaut eines Kindes wird nach einer Beschneidung in ein Gefäß gelegt.

© Kay Nietfeld / dpa

Leitartikel zur Beschneidung

Eine sachliche Debatte ist kaum möglich

Die subjektive Schmerzstärke des Patienten kann mit der Schmerzskala gemessen werden.

© Mundipharma

Tipps für die Abrechnung

Schmerztherapie mit sieben Siegeln

Alles eine Frage des Geldes: Pflege.

© Geisser / imago

Pflegekosten

Frauen sind teurer

Bürgerversicherung

Ein Schreckgespenst für Ärzte

Sachsen

Honorar-Verhandlungen gescheitert

Bayer

Pharma-Zentrale bleibt in Berlin

Unter Kolleginnen

Schwangerschaft wirkt "ansteckend"

Deutscher Zukunftspreis

Oldenburger Hörforscher geehrt

Ärztin beim Aktenstudium: Qualitätssicherung ist ein wahrer Zeitfresser, aber es führt kein Weg an ihr vorbei.

© Ernert

In Praxen und Kliniken

Qualitätskontrolle reicht nicht aus

Das Experten-Gremium der Charité (v.l.): Günther Brenzel, Julia von Weiler, Sigrid Richter-Unger, Brigitte Zypries, Sylvester von Bismarck und Udo Nagel.

© Charité

Missbrauchsvorwürfe

Experten um Zypries durchleuchten Charité

Qualität

Zertifikate für Diabetiker-Kliniken

Naturheilmittel sollen rational eingesetzt werden, wo sie Nutzen stiften: Professor Gerd Glaeske, Zentrum für Sozialpolitik der Universität Bremen.

© Stephan Gabriel

Debattengipfel Naturmedizin

Die Fronten bröckeln

Rektumkarzinom

Warten kann sich manchmal lohnen

Kleinwuchs

Motivation für die Therapie

Mittelstand

Gesundheitsmanagement fasst Fuß

Sieben Auszeichnungen

Zwei BZgA-Präventionsfilme prämiert

FLI-Forscher Stitz: will Grippe-Vakzinen aus mRNA herstellen.

© Stefan Sauer / dpa

mRNA-Vakzine

Grippe-Impfstoff im Schnellverfahren?

Der ungläubige Thomas in der Kardiologie: Diesen Titel wählte Prof. Erland Erdmann für seine Abschiedsvorlesung.

© privat

Die Schlussworte eines großen Kardiologen

Kritisch denken!

Wichtig auch für Kliniken: Kinderschutzkonzepte.

© Yvonne Bogdanski / fotolia.com

Nach der Charité

Missbrauch in Kliniken nicht gehäuft

Bundesgesundheitsminister Daniel Bahr unterstützt die Aktion "Positiv zusammen leben" anlässlich des Welt-Aids-Tages.

© Britta Pedersen / dpa

Welt-Aids-Tag

Krapfen von Minister Bahr

AMD

VEGF-Medikament in Europa zugelassen

Noch einige Euro für das Konto? Bitte nicht zum Austricksen des Finanzamtes.

© Babimu / fotolia.com

Bundesfinanzhof

Keine Tricks bei Schuldzinsen

Suchtprävention

Süßer Appell für Glücksspiel-Verzicht

Kliniken

Niedersachsen fördert viele Baumaßnahmen

Sachsen

Unzureichender Epidemien-Schutz?

Kommentar zur neuen Apothekenbetriebsordnung

Peinlichkeit vor Patienten

Preis

Intelligentes Notrufsystem ausgezeichnet

Wissen tauschen.

© ISO K° - photography / fotolia.com

Der geheime Schatz

Wissensbilanz macht Praxis transparent

Schlaf ist wichtig, nicht nur für die Schönheit, sondern auch für die Insulinregulation.

© Roman Hense/fotolia.com

Einfluss auf die Zellen

Der Mensch schläft nicht fürs Hirn allein

Stilisierte Krebszelle: Der Onkologie stehen einige Herausforderungen bevor.

© Springer Verlag

Die Zukunft der Onkologie

Engpässe und Hemmnisse

ÄKWL

Telefonsprechstunde zur Organspende

Leitartikel zum Welt-Aidstag

Aufbruch im Kampf gegen die Pandemie

Alles wird gut? Bei der Kommunikation zwischen Arzt und Patient kann vieles schieflaufen.

© wavebreakmedia ltd / shutterstock.com

Patientenkommunikation

"So, wir machen Sie jetzt fertig"

Beim "Taubschen Bewegungstraining" wird der gesunde Arm des Patienten in einer Manschette fixiert, während Arm und Hand, die in ihrer Beweglichkeit eingeschränkt sind, intensiv feinmotorische Aufgaben trainieren.

© Jan-Peter Kasper/FSU

Nach Schlaganfall

Beweglicher dank Betäubung

Krebskranke

Naturmedizin stützt Therapie

Studie

Rauchen macht auch das Gehirn kaputt

WHO

Neuer Atlas zu Klima und Gesundheit

Geld und Vermögen

Kein Widerrufsrecht bei Telefon-Order

Beherzter Griff in die Box: Die Zahl der Transplantzentren rückt in die Diskussion.

© Mathias Ernert

Transplantation

Debatte um Zahl der Zentren

Pflege zu Hause - das will die Regierung im Nordosten.

© Marcel Mettelstiefel / dpa

Nordosten

Landespflegegesetz umstritten

Infektionsschutz

Kassen zahlen Keimsanierung

Trockenere Achseln

Methantelin macht's möglich

Kommentar zum Medizinklimaindex

Widersprüchliche Signale

Verunreinigtes OP-Besteck

Staatsanwalt ermittelt in Stuttgart

GOÄ

Zuschläge mit Stolperfallen

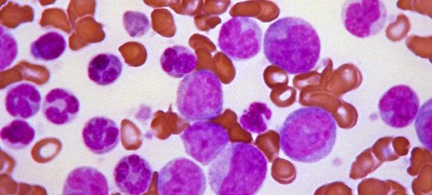
Blastenkrise einer Chronisch Myeloischen Leukämie (CML).

© BSIP/Your Photo Today

CML-Therapie

Molekular-Monitoring wird wichtiger

Schmerzgedächtnis

Früh gegen den chronischen Schmerz

Die Anfertigung neuer Rezepturarzneien erfordert künftig mehr Zeit.

© Klaus Rose

Arzt und Apotheker

Mehr Gesprächsbedarf bei Rezepturarzneien

Anästhesisten betonen

Reanimation ist einfach!

Ran an den Speck - das Motto in Mecklenburg-Vorpommern.

© Alexander Raths / fotolia.com

Adipositas-Konzept

Nichts geht ohne niedergelassene Ärzte

Arznei-Sicherheit

Langzeit-Studie zu Osteoporose-Arzneien

119. Internistenkongress

Abstracts jetzt einreichen!

Die Hälfte zum doppelten Preis.

© imagebroker / imago

Erstattungsbetrag

Die Fronten sind verhärtet

Büdingen

Neue Seminare zu GOÄ- und UV-GOÄ

Pflege von Schwerkranken muss belohnt werden, so Verbände.

© Getty Images

Warnung vor dem Sog

"Palliativ-Patienten sind keine Kunden"

Operationen

Union will Chefarzt-Boni veröffentlichen

Ab Januar in Kraft

Kabinett verordnet "Pflege-Bahr"

Die Nase läuft - typisch bei einer Rhinosinusitis. Auch dieses Symptom ließ in einer Studie mit dem 5-Pflanzen-Extrakt rascher nach als mit Placebo.

© Getty Images / Pixland

Fünf Pflanzen

Kombi lindert Rhinosinusitis

Mehr Kassen sollen die Kosten für Naturheilmittel übernehmen: Christiane Regensburger, BAG Selbsthilfe.

© Stephan Gabriel

Ein Vorurteil

"Pflanze harmlos, Rest böse"

Kommentar zum Stammzell-Urteil

Glück des Fortschritts

Kartellrecht für Kassen

Bundesrat ruft nach Vermittlung

Österreich

Große Defizite in der Palliativversorgung

Vorhofflimmern

Sterberate bei Digoxin erhöht

Forschung in rot.

© imagebroker / imago

Stammzellen vor Gericht

Minierfolg für Bonner Forscher

Am Ende zählt, was auf den Cent genau rauskommt: Die Honorarverhandlungen in den Regionen nehmen Fahrt auf.

© Umdorf / imago

Honorarverhandlungen

Vielerorts verhärtete Fronten

Soziale Netzwerke

Spezielle Medienkurse für Kinder in NRW

Patientenrechtegesetz

Regelung zu Chefarzt-Boni verschoben

Studie

Klinik-Personaler hadern mit Demografie

Neues Virus

Erster Corona-Fall in Deutschland

Kommentar zum Honorarstreit

Schluss mit der Neiddebatte!

Kommentar

Was ist los an der Charité?

Zwillinge

Winzige Frühchen in Greifswald gerettet

Wechsel

Neuer Chefarzt in Bad Schwalbach